Tomografia zatok – kiedy naprawdę pomaga, a kiedy szkodzi?
Wyobraź sobie, że wchodzisz do sterylnej sali diagnostycznej. Zimne światło, mechaniczny szum, a przed tobą monolityczna maszyna – tomograf komputerowy. Przyszedłeś „tylko” z katarem, a wychodzisz z informacją o konieczności wykonania tomografii zatok. Brzmi znajomo? W Polsce tomografia zatok stała się czymś więcej niż rutynowym badaniem – to zjawisko, które pokazuje, jak technologia przenika codzienność medycyny, ale i jak łatwo przekroczyć granicę między koniecznością a przesadą. Czy lekarze naprawdę zawsze zlecają tomografię zatok z troską o nasze zdrowie? Jakie ukryte koszty i nieoczywiste ryzyka stoją za tym badaniem? Ten artykuł to nie kolejny nudny poradnik, lecz przewodnik po kulisach, o których rzadko się mówi. Odkryjesz fakty, które zmienią Twoje spojrzenie na tomografię zatok, poznasz historie ludzi z pierwszej linii diagnostycznego frontu i dowiesz się, jak wybrać świadomie, nie ulegając presji ani modzie.
Dlaczego coraz więcej osób trafia na tomografię zatok?
Statystyki, które otwierają oczy
Rosnąca popularność tomografii zatok to nie przypadek. W 2023 roku w Polsce wykonano ponad 60 milionów badań obrazowych, co daje średnio 1,7 badania na pacjenta. Wśród nich tomografia komputerowa zatok stanowi coraz większy udział – wszystko przez wzrost przewlekłych stanów zapalnych i ogólną dostępność technologii. Z danych PMR Market Experts wynika, że aż 389–544 zł trzeba było zapłacić za jedno badanie w latach 2023–2024, co nie powstrzymało lawiny zleceń (PMR Market Experts, 2024).
| Rok | Liczba badań obrazowych | Średnia na pacjenta | Koszt tomografii zatok |
|---|---|---|---|
| 2022 | 54 mln | 1,5 | 370–520 zł |
| 2023 | 60 mln | 1,7 | 389–544 zł |
Tabela 1: Skala badań obrazowych i kosztów tomografii zatok w Polsce.
Źródło: PMR Market Experts, 2024, kb.pl, 2024.
Warto jednak spojrzeć głębiej: skala ta nie wynika jedynie z postępu technologicznego, lecz z narastających problemów cywilizacyjnych, jak zanieczyszczenie powietrza czy alergizacja społeczeństwa. Każdego roku rośnie liczba pacjentów z przewlekłym zapaleniem zatok, a lekarze – często pod presją – coraz częściej sięgają po „pewną” diagnostykę.
Cicha epidemia przewlekłych problemów zatok
Przewlekłe zapalenie zatok to nie medialna sensacja, lecz cicha epidemia, która dotyka milionów Polaków. Według danych Kliniki.pl, nawet 15% dorosłych w miastach zmaga się z nawracającym bólem głowy, uczuciem zatkania i przewlekłym katarem. Problem eskaluje przez smog, pyłki i alergeny, a tomografia zatok staje się... pierwszą linią frontu diagnostycznego.
„Wzrost liczby badań tomograficznych to efekt rosnącej liczby przewlekłych zapaleń zatok, które są coraz trudniejsze w leczeniu z powodu zanieczyszczenia środowiska i zmian w stylu życia.” — Kliniki.pl, 2024
Ta ukryta epidemia wpływa nie tylko na zdrowie, ale i na system ochrony zdrowia, obciążając go setkami tysięcy dodatkowych badań rocznie. Efekt? Tomografia zatok przestaje być narzędziem dla „wyjątkowych przypadków” i staje się codziennością.
Czy lekarze zlecają badanie zbyt pochopnie?
Nie da się ukryć: presja czasu, oczekiwania pacjentów i strach przed przeoczeniem poważnej choroby powodują, że lekarze coraz częściej sięgają po tomografię zatok. Według raportów z Medonet, 2024, badanie to bywa zlecane nawet przy niewielkich dolegliwościach.
- Wielu pacjentów nie wie, że tomografia zatok powinna być wykonywana wyłącznie wtedy, gdy inne metody zawiodły lub pojawiają się powikłania.
- Zdarza się, że badanie jest zlecane rutynowo, bez pełnej analizy objawów czy historii choroby.
- W niektórych placówkach opis badania nie jest przygotowywany przez radiologa, co obniża jego wartość diagnostyczną.
- Pacjentom często nie mówi się, że wynik tomografii wykonanej podczas ostrego zapalenia może być niewiarygodny – zaleca się odczekanie co najmniej 6 tygodni po leczeniu (CBK JCI, 2024).
„Nie każde zapalenie zatok wymaga tomografii. Warto zachować zdrowy rozsądek i kierować się wskazaniami – nie modą na technologię.” — Prof. Jan Kowalski, otolaryngolog, CBK JCI, 2024
Ta tendencja do zlecania badania „na wszelki wypadek” ma swoje konsekwencje: od niepotrzebnego narażenia na promieniowanie po koszty, których nie widać w cenniku.
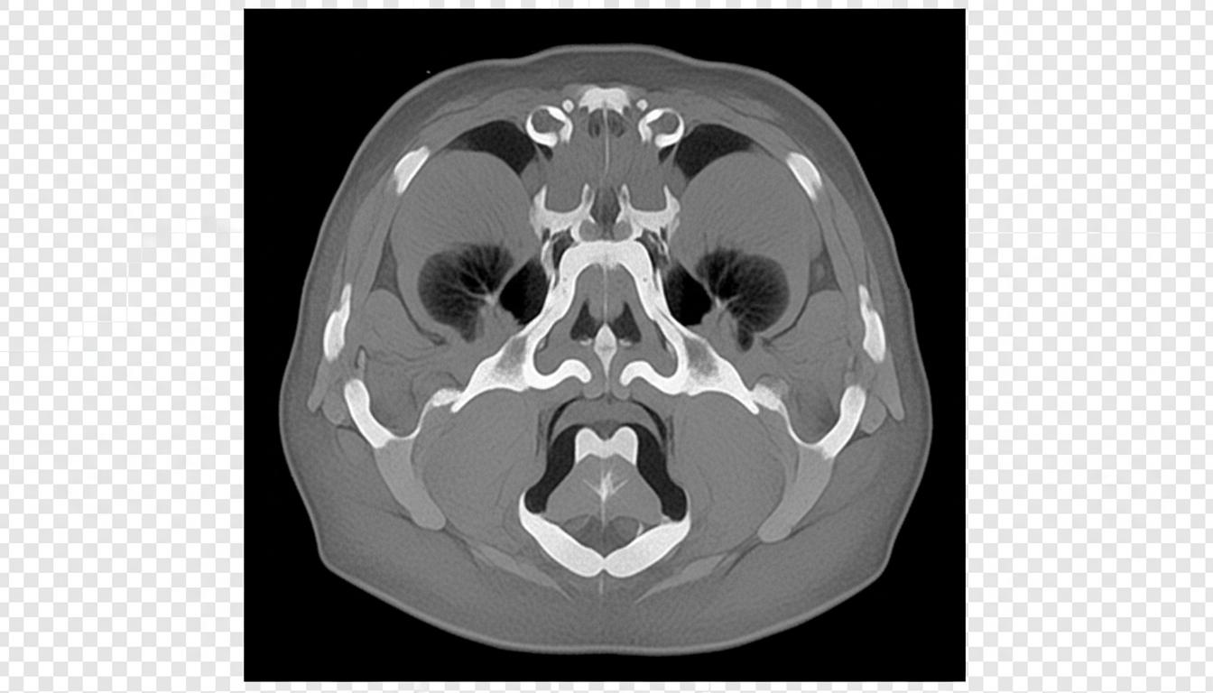
Czym naprawdę jest tomografia zatok i jak działa?
Podstawy technologiczne bez ściemy
Tomografia zatok, znana również jako tomografia komputerowa (CT), to zaawansowane badanie obrazowe wykorzystujące promieniowanie rentgenowskie do uzyskania precyzyjnych, przekrojowych obrazów zatok przynosowych – zarówno kości, jak i tkanek miękkich. W odróżnieniu od tradycyjnego RTG, skaner tomografu obraca się wokół głowy pacjenta, wykonując setki zdjęć, które komputer łączy w trójwymiarową wizualizację obszaru zatok.
Najdokładniejsze badanie obrazowe zatok, pokazujące detale kości i tkanek miękkich. Wykorzystuje wysoką dawkę promieniowania rentgenowskiego. Skaner CT
Zaawansowane urządzenie obracające się wokół głowy pacjenta, wykonujące setki zdjęć pod różnymi kątami. Obraz 3D
Komputer łączy poszczególne zdjęcia, tworząc trójwymiarowy model pozwalający na precyzyjną ocenę zmian chorobowych.
Dzięki tej technologii lekarz może zobaczyć nawet mikroskopijne zmiany w strukturze zatok, polipy, guzy lub powikłania zapalenia. Jednak nie zapominajmy – precyzja ma swoją cenę, a każda ekspozycja na promieniowanie to kalkulowane ryzyko.
Tomografia vs. RTG, USG i MRI – nieoczywiste różnice
W morzu medycznych akronimów łatwo się pogubić. RTG, USG, MRI – każdy z tych skrótów oznacza inne podejście do diagnozowania zatok. Poniżej tabela, która rozwiewa wątpliwości:
| Badanie | Obrazowanie kości | Obrazowanie tkanek miękkich | Dawka promieniowania | Czas badania | Dostępność |
|---|---|---|---|---|---|
| Tomografia (CT) | Bardzo dobra | Dobra | Wysoka | 5-10 min | Wysoka |
| Rentgen (RTG) | Dobra | Ograniczona | Średnia | 2-5 min | Bardzo wysoka |
| USG | Ograniczona | Bardzo dobra | Brak | 10-20 min | Ograniczona |
| MRI | Dobra | Najlepsza | Brak | 20-40 min | Średnia |
Tabela 2: Porównanie technik obrazowania zatok
Źródło: Opracowanie własne na podstawie Medonet, 2024, ZnanyLekarz, 2024.
- Tomografia komputerowa daje najwięcej informacji o kościach i zatokach.
- RTG jest szybki, tani, ale mniej precyzyjny.
- USG przydaje się głównie w ocenie tkanek miękkich, rzadko stosowane w diagnostyce zatok.
- MRI nie wykorzystuje promieniowania i jest idealny do obrazowania tkanek miękkich, ale trwa dłużej i jest droższy.
Wybór odpowiedniej metody to zawsze balans między jakością diagnostyki, bezpieczeństwem i dostępnością.
Jak wygląda badanie krok po kroku?
Jeśli myślisz, że tomografia zatok to skomplikowany rytuał – jesteś w błędzie. Proces jest szybki i prawie bezbolesny, choć niepozbawiony emocji.
- Po wejściu do pracowni technik poprosi Cię o zdjęcie metalowych przedmiotów (kolczyki, okulary).
- Kładziesz się na wysuwanym stole, głowa umieszczona jest w specjalnym „gnieździe”.
- Skaner obraca się wokół głowy, wykonując serię zdjęć – trwa to kilka minut.
- Po badaniu możesz od razu wrócić do normalnych zajęć.
To, co wydaje się proste, wymaga jednak doświadczenia i precyzji ze strony technika. Każdy błąd w ustawieniu może zaburzyć jakość obrazu i wydłużyć cały proces.
Kiedy tomografia zatok jest naprawdę potrzebna?
Twarde wskazania według ekspertów
Nie każde kichnięcie oznacza konieczność badania. Eksperci podkreślają, że tomografia zatok powinna być wykonywana jedynie w określonych przypadkach, gdy inne metody diagnostyczne nie przyniosły odpowiedzi lub pojawia się ryzyko powikłań.
„Tomografia zatok znajduje zastosowanie, gdy objawy nie ustępują po leczeniu, pojawiają się powikłania lub przebieg choroby jest nietypowy.” — Kliniki.pl, 2024
- Nawracające lub przewlekłe zapalenie zatok, oporne na leczenie farmakologiczne.
- Podejrzenie powikłań, takich jak ropień oczodołu czy zapalenie opon mózgowo-rdzeniowych.
- Nietypowy przebieg choroby lub brak poprawy po leczeniu zachowawczym.
- Przygotowanie do zabiegu operacyjnego w obrębie zatok.
Tylko w tych sytuacjach tomografia zatok jest narzędziem, które realnie wpływa na decyzje terapeutyczne.
Najczęstsze powody skierowań – czy to zawsze ma sens?
Różnica między wskazaniami medycznymi a praktyką bywa kolosalna. Oto najczęstsze przyczyny skierowań na tomografię zatok i ich rzeczywista zasadność:
| Powód skierowania | Częstość występowania | Zasadność wg ekspertów |
|---|---|---|
| Przewlekły ból głowy | Wysoka | Średnia |
| Nawracający katar | Wysoka | Niska |
| Brak efektu leczenia | Średnia | Wysoka |
| Podejrzenie powikłań | Niska | Bardzo wysoka |
| Przygotowanie do operacji | Niska | Wysoka |
Tabela 3: Najczęstsze powody skierowań na tomografię zatok
Źródło: Opracowanie własne na podstawie Kliniki.pl, 2024.
Część z nich, jak przewlekły katar czy ból głowy bez innych objawów, rzadko wymaga aż tak zaawansowanej diagnostyki.
Alternatywy i przypadki nadmiernego stosowania
Nie zawsze „więcej” znaczy „lepiej”. Niekiedy wystarczy dokładny wywiad lekarski, badanie fizykalne lub proste RTG. Alternatywy dla tomografii zatok, które mogą okazać się wystarczające:
- Konsultacja laryngologiczna i badanie endoskopowe nosa.
- Proste zdjęcie RTG zatok.
- Diagnostyka USG (w ograniczonych przypadkach).
- Obserwacja po leczeniu – badania kontrolne tylko przy braku poprawy.
Nadmierne zlecanie tomografii to nie tylko koszt, ale i niepotrzebne narażenie na promieniowanie, o czym rzadko informuje się pacjentów.
Mity i fakty o promieniowaniu – czy jest się czego bać?
Jakie dawki promieniowania naprawdę otrzymujesz?
Strach przed promieniowaniem towarzyszy każdej rozmowie o tomografii. Ale czy jest się czego bać? Dawka promieniowania przy tomografii zatok to ok. 0,2–1 mSv (milisiwertów). Dla porównania – roczna dawka tła naturalnego w Polsce to 2,4 mSv (ZnanyLekarz, 2024).
| Badanie | Dawka promieniowania (mSv) | Porównanie do tła naturalnego |
|---|---|---|
| Tomografia zatok (CT) | 0,2–1 | ~10–40% rocznego tła |
| RTG zatok | 0,04–0,1 | ~2–4% rocznego tła |
| USG/MRI | 0 | 0 |
| Lot transatlantycki | 0,03–0,05 | 1–2% rocznego tła |
Tabela 4: Dawki promieniowania dla najpopularniejszych badań
Źródło: Opracowanie własne na podstawie ZnanyLekarz, 2024.
Chociaż dawka wydaje się niewielka, przy powtarzanych badaniach i wrażliwych grupach (dzieci, kobiety w ciąży) nie można jej ignorować.
Porównanie z innymi badaniami obrazowymi
Największy mit? Że tomografia to „prawie jak prześwietlenie zęba”. Różnica jest zasadnicza, a dawka promieniowania – kilkukrotnie większa. Oto, jak wypada tomografia zatok w porównaniu z innymi metodami:
- Tomografia zatok (CT): największa dawka, najwyższa szczegółowość.
- RTG: niższa dawka, ale ograniczona wartość diagnostyczna.
- USG i MRI: brak promieniowania, ale ograniczone zastosowanie.
- RTG zębów: bardzo niska dawka, brak przydatności w ocenie zatok.
Warto o tym pamiętać, zanim bezrefleksyjnie zdecydujesz się na kolejne badanie.
Najczęstsze mity i ich konsekwencje
- „Tomografia zatok jest całkowicie bezpieczna”. Prawda: każda ekspozycja na promieniowanie niesie ryzyko, zwłaszcza przy częstych badaniach.
- „Nie ma przeciwwskazań u dzieci, bo dawki są małe”. Fakty: dzieci są znacznie bardziej wrażliwe na promieniowanie niż dorośli.
- „Wynik tomografii to 100% pewności diagnozy”. Rzeczywistość: jakość opisu i moment wykonania badania (np. w trakcie ostrego zapalenia) mogą znacząco wpłynąć na wiarygodność wyniku.
„Nadmierna wiara w moc tomografii prowadzi do fałszywego poczucia bezpieczeństwa – a to może być poważnym błędem.” — Dr Anna B., radiolog, Medonet, 2024
Koszty – nie tylko finansowe. Czego nie znajdziesz w cenniku?
Ile naprawdę kosztuje tomografia zatok?
Z pozoru prosta sprawa: idziesz do pracowni, płacisz 389–544 zł i masz wynik. Ale to tylko początek wydatków – bo prawdziwe koszty mogą wykraczać daleko poza to, co widzisz na rachunku (kb.pl, 2024).
| Element kosztu | Widełki cenowe (PLN) | Dodatkowe uwagi |
|---|---|---|
| Samo badanie | 389–544 | W zależności od miasta |
| Konsultacja lekarza | 150–300 | Niekiedy wymagana osobno |
| Powtórne badanie | 389–544 | Jeśli wynik niejasny |
| Koszt „fałszywych alarmów” | trudny do oszacowania | Stres, dodatkowe wizyty |
Tabela 5: Koszty związane z tomografią zatok
Źródło: kb.pl, 2024.
Zielone światło dla badania to często początek kosztownej ścieżki diagnostycznej.
Ukryte koszty: czas, stres, fałszywe alarmy
- Długie oczekiwanie na wyniki i konsultacje.
- Stres związany z niejasnym lub niepełnym opisem.
- Ryzyko wykrycia nieistotnych zmian, które prowadzą do kolejnych – często niepotrzebnych – badań.
- Koszty psychiczne związane z fałszywymi alarmami i niepewnością.
To wszystko sprawia, że cena tomografii zatok jest znacznie wyższa, niż sugerują cenniki.
Czy inwestycja w badanie się opłaca?
To zależy od wskazań. Jeśli badanie jest wykonane z uzasadnionych powodów, może uratować zdrowie, a nawet życie. Jeśli jednak jest efektem mody lub presji – przynosi więcej szkód niż pożytku.
Decyzję warto podjąć w oparciu o rzetelną wiedzę i konsultację z doświadczonym lekarzem.
Historie pacjentów: kiedy tomografia ratuje, a kiedy szkodzi
Prawdziwe przypadki – sukcesy i rozczarowania
Historia Agnieszki, 35-letniej graficzki z Krakowa, pokazuje dwie strony medalu. Po miesiącach nieskutecznego leczenia przewlekłego kataru i bólu głowy, tomografia zatok wykazała polipa, którego nie udało się wykryć w żadnym innym badaniu. Szybka operacja rozwiązała problem. Z kolei Michał, programista, po rutynowej tomografii wykonał serię niepotrzebnych badań, bo opis sugerował „zmiany wymagające wyjaśnienia” – finalnie okazało się, że były nieistotne, a stres trwał tygodniami.
Te historie to nie wyjątki, lecz codzienność – pokazują, że sukces diagnostyki zależy nie tylko od technologii, ale i jej właściwego zastosowania.
Najczęstsze błędy interpretacyjne
- Zbyt dosłowne traktowanie „niejednoznacznych zmian” w opisie.
- Brak konsultacji wyniku z doświadczonym radiologiem.
- Przypisywanie każdemu bólowi głowy zmianom widocznym w tomografii.
- Zlecanie kolejnych badań bez powiązania z objawami klinicznymi.
- Bagatelizowanie czynników psychologicznych związanych z niejasnymi wynikami.
Lista tych błędów nie powinna odstraszać, ale zachęcać do świadomej rozmowy z lekarzem.
Jak rozmawiać z lekarzem o wynikach?
- Zapytaj, czy badanie było niezbędne i jakie były alternatywy.
- Poproś o wyjaśnienie wszystkich niejasnych sformułowań w opisie.
- Sprawdź, kto przygotował opis badania – czy jest to specjalista radiolog.
- Omów, czy wykryte zmiany rzeczywiście tłumaczą objawy kliniczne.
- Pytaj o dalszy plan postępowania i konsekwencje ewentualnych kolejnych badań.
„Pacjent ma prawo do pełnej informacji i aktywnego udziału w procesie diagnostycznym. Tylko wtedy technologia służy zdrowiu, a nie odwrotnie.” — Medonet, 2024
Czy tomografia zatok jest bezpieczna? Fakty kontra strach
Ryzyka, o których rzadko się mówi
- Promieniowanie jonizujące: szczególnie niebezpieczne przy powtarzanych badaniach, dla dzieci i kobiet w ciąży.
- Możliwość błędnej interpretacji przez osoby nieposiadające wystarczającej wiedzy radiologicznej.
- Ryzyko wykrycia nieistotnych zmian, prowadzących do „nadrozpoznawalności” i niepotrzebnych zabiegów.
- Psychologiczne skutki stresu związanego z oczekiwaniem na wynik lub niejasnym opisem.
Te ryzyka nie są oczywiste, ale dla świadomego pacjenta powinny być ważnym elementem decyzji o badaniu.
Kto nie powinien robić badania?
Najbardziej narażone na szkodliwy wpływ promieniowania. Tomografia tylko w pilnych przypadkach. Kobiety w ciąży
Promieniowanie może być szkodliwe dla płodu – badanie wykonywane tylko w wyjątkowych sytuacjach. Osoby z alergią na kontrast
W przypadku badań z użyciem kontrastu (rzadko w zatokach) istnieje ryzyko reakcji uczuleniowych. Pacjenci z wieloma powtarzanymi ekspozycjami
Każda kolejna dawka promieniowania zwiększa ryzyko powikłań – warto rozważyć alternatywy.
Co zrobić, żeby zminimalizować ryzyko?
- Wykonuj badanie tylko wtedy, gdy istnieją konkretne wskazania.
- Informuj lekarza o wszystkich przeciwwskazaniach (ciąża, wcześniejsze badania, alergie).
- Jeśli to możliwe, wybieraj placówki, gdzie opis wykonuje specjalista radiolog.
- Zapisuj historię swoich badań, aby nie powielać ekspozycji.
- Po badaniu nie ignoruj niejasności – aktywnie pytaj o szczegóły.
Takie podejście zwiększa bezpieczeństwo i realną wartość diagnostyki.
Jak przygotować się do tomografii zatok i co potem?
Checklist – o czym pamiętać przed badaniem
- Sprawdź, czy naprawdę istnieją wskazania do badania (konsultacja z lekarzem).
- Zdejmij wszystkie metalowe przedmioty z głowy i szyi.
- Poinformuj personel o ewentualnych ciążach, alergiach i wcześniejszych ekspozycjach na promieniowanie.
- Jeśli badanie ma być wykonane z kontrastem (rzadko), upewnij się co do alergii i funkcji nerek.
- Zachowaj spokój – badanie jest szybkie i nieinwazyjne.
Odpowiednie przygotowanie minimalizuje ryzyko niepowodzeń technicznych i stresu.
Najczęstsze pytania i odpowiedzi pacjentów
-
Czy badanie boli?
Tomografia zatok jest całkowicie bezbolesna – odczuwasz jedynie niewielki dyskomfort związany z pozycją. -
Jak długo trwa badanie?
Zwykle od 5 do 10 minut, czasem krócej. -
Czy trzeba być na czczo?
Nie, chyba że badanie jest z kontrastem – wówczas zalecenia może ustalić placówka. -
Czy wynik jest od razu?
Wstępne obrazy można zobaczyć od razu, ale opis wymaga czasu i wiedzy radiologa. -
Badanie nie było konieczne – mam wątpliwości, co dalej?
-
Wynik jest niejasny – czy muszę powtarzać badanie?
-
Czy promieniowanie wpłynie na moje zdrowie w dłuższej perspektywie?
-
Gdzie mogę uzyskać drugą opinię radiologiczną?
Warto pamiętać, że zawsze możesz poprosić o konsultację innego specjalisty lub zwrócić się do zaufanych źródeł, takich jak medyk.ai.
Co zrobić, gdy wyniki są niejasne?
- Poproś o konsultację opisu z innym radiologiem.
- Porównaj wynik z wcześniejszymi badaniami.
- Zapytaj lekarza o zasadność dalszych badań.
- Rozważ przerwę przed powtórzeniem badania, aby uniknąć zbędnej ekspozycji.
- Skorzystaj z platform edukacyjnych lub asystentów zdrowotnych, by zrozumieć terminologię.
To, co wydaje się „niejednoznaczne”, często jest tylko wyzwaniem komunikacyjnym.
Tomografia zatok a przyszłość diagnozowania – gdzie zmierza technologia?
AI i smart diagnostyka – rewolucja czy marketing?
W erze sztucznej inteligencji granice diagnostyki przesuwają się każdego dnia. Nowoczesne algorytmy analizują obrazy szybciej niż człowiek, znajdując subtelne zmiany niewidoczne dla ludzkiego oka. Ale czy to realny postęp, czy tylko chwyt marketingowy?
„Sztuczna inteligencja usprawnia analizę obrazów medycznych, ale kluczowa jest współpraca z doświadczonym radiologiem – technologia to tylko narzędzie.” — Dr Piotr N., radiolog, ZnanyLekarz, 2024
Prawdziwa rewolucja to nie zastąpienie człowieka maszyną, lecz synergiczne wykorzystanie obu tych światów w służbie pacjenta.
Jak medyk.ai wpisuje się w nowy ekosystem zdrowia
Nie chodzi o to, by AI przejęła kontrolę nad procesem diagnostycznym, lecz by wspierała lekarzy i pacjentów w podejmowaniu świadomych decyzji. Platformy takie jak medyk.ai dostarczają rzetelnych informacji, pomagają zrozumieć wyniki badań i minimalizują niepewność, która często towarzyszy cyfrowej diagnostyce.
To nie przyszłość, lecz teraźniejszość – transparentność, wsparcie i edukacja na wyciągnięcie ręki.
Czy człowiek będzie zbędny? Przyszłość radiologii
- AI pozwala na szybszą analizę, ale interpretacja i kontekst kliniczny zawsze wymaga udziału człowieka.
- Wzrost liczby badań obrazowych to wyzwanie kadrowe – automatyzacja może częściowo rozwiązać ten problem.
- Człowiek pozostaje kluczowy przy niestandardowych przypadkach i w komunikacji z pacjentem.
- Największe sukcesy osiąga się dzięki współpracy technologii i doświadczonego lekarza.
Radiologia przyszłości to świat, w którym technologia wspiera, ale nie zastępuje rozumu i empatii.
Alternatywy dla tomografii zatok – kiedy warto postawić na inne rozwiązania?
Naturalne i domowe metody, które naprawdę działają
- Płukanie nosa roztworem soli fizjologicznej – udowodniona skuteczność w oczyszczaniu zatok.
- Inhalacje z olejków eterycznych – łagodzą objawy, choć nie leczą przyczyny zapalenia.
- Nawilżanie powietrza w domu, by zmniejszyć ryzyko przesuszenia śluzówki.
- Unikanie alergenów i monitorowanie jakości powietrza, szczególnie w sezonie smogowym.
Każda z tych metod może być pierwszym krokiem przed decyzją o kosztownych i obciążających badaniach.
Inne badania obrazowe – kiedy są lepszym wyborem?
| Badanie | Zalety | Wady | Kiedy wybrać? |
|---|---|---|---|
| RTG zatok | Szybkie, tanie | Niska czułość i precyzja | Przy prostych infekcjach, wstępna selekcja |
| USG | Brak promieniowania | Tylko tkanki miękkie, rzadko stosowane | U dzieci, kobiet w ciąży |
| MRI | Brak promieniowania, świetna ocena tkanek miękkich | Długi czas badania, drogie | Podejrzenie guzów, powikłań |
Tabela 6: Alternatywne badania zatok i ich zastosowanie
Źródło: Opracowanie własne na podstawie ZnanyLekarz, 2024.
Wybór alternatywy zależy od wskazań i możliwości technicznych placówki.
Holistyczne podejście do zdrowia zatok
- Profilaktyka: zdrowa dieta, aktywność fizyczna i unikanie szkodliwych czynników środowiskowych.
- Regularne kontrole lekarskie – nie tylko w momencie pojawienia się objawów.
- Edukacja pacjenta: znajomość własnych czynników ryzyka i umiejętność wczesnego reagowania.
- Świadomość, że technologia to narzędzie – nie substytut zdrowego rozsądku.
To podejście, które wykracza poza schemat „badanie–wynik–lekarstwo”.
Wielki boom na tomografię – czy medycyna przesadza?
Skąd się wzięła moda na tomografię zatok?
Boom na tomografię zatok to efekt nakładających się trendów: łatwej dostępności, presji pacjentów na „pewną diagnozę” i rozwoju technologii. Media, reklamy i marketing placówek medycznych robią resztę. Dziś badanie, które miało być „ostatnią deską ratunku”, stało się elementem codziennej rutyny diagnostycznej.
To nie jest obiektywnie zły trend – o ile decyzje o badaniu są podejmowane świadomie i odpowiedzialnie.
Czy pacjenci mają wybór, czy to tylko marketing?
- Często pacjent czuje się przymuszony do badania przez autorytet lekarza – warto zadawać pytania i prosić o uzasadnienie.
- Placówki promują badania, powołując się na „najnowocześniejszą technologię” – nie zawsze idzie za tym wartość diagnostyczna.
- Brakuje transparentnej informacji o ryzykach i alternatywach.
„Wybór należy do pacjenta – ale tylko wtedy, gdy ma pełen dostęp do informacji, nie tylko do reklamy.” — Kliniki.pl, 2024
Co z tego wynika dla systemu ochrony zdrowia?
- Wzrost kosztów systemowych przez nadmierną liczbę badań.
- Przeciążenie pracowni diagnostycznych i radiologów.
- Ryzyko zmarginalizowania klasycznych metod diagnostycznych na rzecz szybkiej technologii.
- Potrzeba lepszej edukacji pacjentów i lekarzy w zakresie wskazań do badań.
System ochrony zdrowia zyskuje, gdy technologia służy rozumowi, nie odwrotnie.
Podsumowanie: jak nie dać się zwariować w świecie cyfrowej diagnostyki?
Najważniejsze wnioski – co każdy powinien wiedzieć
- Tomografia zatok to niezwykle precyzyjne narzędzie, ale wymaga uzasadnienia klinicznego.
- Promieniowanie jonizujące niesie realne ryzyko, szczególnie przy powtarzanych badaniach.
- Nie każde przewlekłe zapalenie czy ból głowy wymaga tomografii – alternatywy bywają wystarczające.
- Koszty badania to nie tylko pieniądze, ale też czas, stres i ryzyko fałszywych alarmów.
- Technologia bez rozumnej interpretacji i świadomej decyzji jest pułapką, nie wybawieniem.
Jak podejmować świadome decyzje o swoim zdrowiu
- Zawsze pytaj o uzasadnienie badania i alternatywy – aktywność pacjenta to podstawa bezpieczeństwa.
- Porównuj informacje z różnych źródeł – nie polegaj tylko na reklamie czy internetowych forach.
- Zgłaszaj lekarzowi swoje wątpliwości i oczekiwania – dialog to klucz.
- Monitoruj historię swoich badań – świadomość ogranicza powielanie ekspozycji na promieniowanie.
- Korzystaj z narzędzi edukacyjnych (jak medyk.ai), by lepiej rozumieć wyniki.
Gdzie szukać rzetelnych informacji?
- Oficjalne strony Ministerstwa Zdrowia i instytucji naukowych.
- Portale medyczne z weryfikowaną treścią (np. ZnanyLekarz, 2024).
- Konsultacje z doświadczonymi lekarzami i radiologami.
- Sprawdzone platformy edukacyjne, które nie udzielają porad medycznych, ale pomagają zrozumieć dane i procesy.
W świecie nadmiaru informacji najcenniejsza jest ta, którą potrafisz zrozumieć i wykorzystać z korzyścią dla siebie.
Tomografia zatok to nie wyrok ani panaceum. To jedno z narzędzi diagnostyki, które – stosowane z rozwagą – służy zdrowiu. Klucz to wiedza, świadomość i odwaga, by pytać. W końcu, jak pokazują badania i historie pacjentów, świadoma decyzja to najlepsza ochrona przed modą na technologię i jej kosztownymi pułapkami – zarówno dla portfela, jak i dla zdrowia.
Źródła
Źródła cytowane w tym artykule
- Medonet(medonet.pl)
- CBK JCI(cbkjci.pl)
- Kliniki.pl(kliniki.pl)
- PMR Market Experts(pmrmarketexperts.com)
- kb.pl(kb.pl)
- ZnanyLekarz(znanylekarz.pl)
- usg-warszawa.pl(usg-warszawa.pl)
- Medme.pl(medme.pl)
- Trio-Dent(triodent.com.pl)
- skanai.pl(skanai.pl)
- pracownia-krawiecka.com.pl(pracownia-krawiecka.com.pl)
- znanylekarz.pl(znanylekarz.pl)
- Beesafe(beesafe.pl)
- DOZ.pl(doz.pl)
- widowniablog.pl(widowniablog.pl)
- CDC Stomatologia(cdcstomatologia.pl)
Zadbaj o swoje zdrowie
Rozpocznij korzystanie z Medyk.ai już dziś
Więcej artykułów
Odkryj więcej tematów od medyk.ai - Wirtualny asystent medyczny
Tomografia mózgu bez mitów: ryzyko, korzyści i nadużycia
Odkryj prawdę, mity i realne zagrożenia. Najnowsze fakty oraz nieoczywiste historie, które zmienią twoje spojrzenie na diagnostykę.
Tomografia komputerowa naprawdę bezpieczna? Koszt, dawka, alternatywy
Discover insights about tomografia komputerowa
Tomografia brzucha w 2026: koszty, ryzyko i realne korzyści
Odkryj ukryte fakty, szokujące dane i praktyczne wskazówki na 2026. Poznaj prawdy, których nie znajdziesz na forach. Czy jesteś gotowy na zaskoczenie?
Toksykolog w Polsce: niewidzialny strażnik przed zatruciami
Toksykolog – odkryj, jak eksperci ratują życie, obalają mity i ujawniają sekrety trucizn. Sprawdź, co musisz wiedzieć, zanim będzie za późno.
Toksoplazmoza bez paniki – realne ryzyko, ciąża, koty, fakty
Odkryj prawdę, obal mity, poznaj objawy i realne ryzyko. Aktualny przewodnik na 2026 dla tych, którzy nie boją się wiedzy. Czytaj teraz!
Toczeń rumieniowaty układowy w Polsce – diagnoza, mity, życie
Odkryj szokujące fakty, ukryte objawy i najnowsze metody radzenia sobie z chorobą. Poznaj prawdę, która zmieni twoje spojrzenie.
Toczeń rumieniowaty bez mitu wyroku – diagnoza, leczenie, życie
Toczeń rumieniowaty – jak rozpoznać, leczyć i przetrwać? Odkryj fakty, mity i prawdziwe historie, które zmienią twoje spojrzenie. Dowiedz się, co czeka w 2026 roku.
Tlenoterapia hiperbaryczna – moda wellness czy realne leczenie?
Odkryj fakty, mity i skutki. Kompleksowy przewodnik, który odsłania kulisy terapii tlenowej. Sprawdź, zanim zdecydujesz.
Tlenoterapia domowa naprawdę pomaga czy tylko komplikuje życie?
Tlenoterapia domowa – odkryj fakty, uniknij pułapek i poznaj realia, których nie znajdziesz w broszurach. Sprawdź, czy jesteś gotowy na rewolucję w swoim domu.
Tlenoterapia pod lupą: korzyści, zagrożenia i twarde dane
Tlenoterapia – odkryj szokujące fakty, ukryte korzyści i kontrowersje. Czy jesteś gotowy, by poznać całą prawdę? Sprawdź, zanim zdecydujesz.
Tkanka tłuszczowa w 2026: organ, który steruje twoim zdrowiem
Poznaj szokujące fakty, obal mity i odkryj, jak naprawdę działa tłuszcz. Zobacz, dlaczego to temat roku 2026. Przeczytaj, zanim podejmiesz decyzję.
Tinnitus w Polsce 2026: od męczących szumów do realnej ulgi
Tinnitus w Polsce: poznaj fakty, mity i nowe metody radzenia sobie z szumami usznymi. Zobacz, co zmienia 2026 i dlaczego nie możesz tego zignorować!
Zobacz też
Artykuły z naszych projektów w kategorii Zdrowie, psychologia i fitness