Tkanka tłuszczowa w 2026: organ, który steruje twoim zdrowiem
Są tematy, które wszyscy omijają szerokim łukiem, udając, że nie istnieją. Tkanka tłuszczowa to jeden z nich — wróg numer jeden współczesnej kultury ciała, demonizowany w mediach, fetyszyzowany przez branżę fitness, wstydliwie ukrywany pod ubraniami. Ale czy naprawdę wiesz, czym jest tłuszcz, jaką rolę pełni w twoim organizmie i dlaczego obsesyjne dążenie do jego eliminacji może prowadzić na zdrowotną manowce? W 2025 roku nauka, psychologia i kultura rozprawiają się z mitami na temat tkanki tłuszczowej. Ten artykuł to twoja mapa po krainie niewygodnych prawd, które mogą wywrócić twoje wyobrażenie na temat własnego ciała. Odkryj szokujące fakty, obal mity i sprawdź, jak naprawdę działa tłuszcz – zanim podejmiesz decyzję o rewolucji w swoim stylu życia.
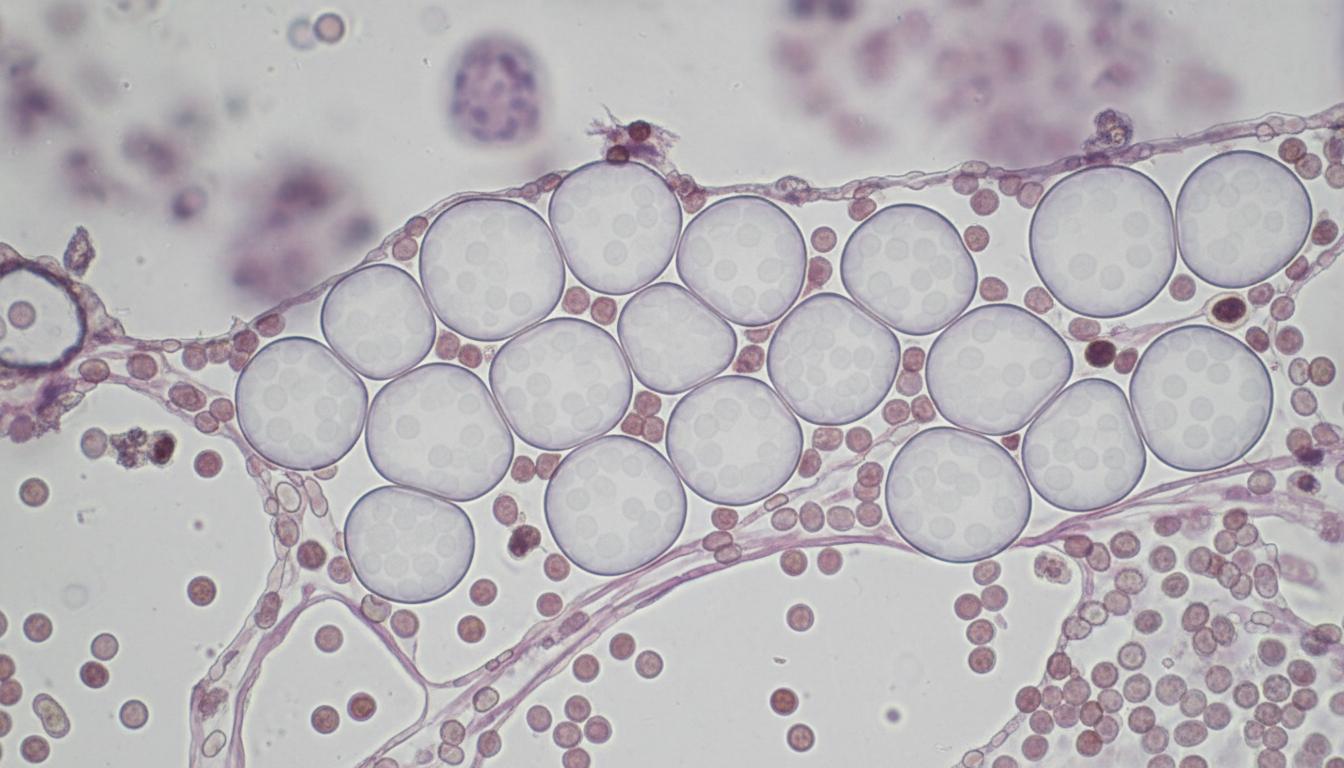
Czym naprawdę jest tkanka tłuszczowa i dlaczego nie możesz jej ignorować
Ewolucyjna rola tłuszczu: od przetrwania do współczesnej obsesji
Na długo przed erą fit-Instagramu i smart-wag, tłuszcz był symbolem przetrwania. Ewolucja wyposażyła człowieka w zdolność magazynowania energii na czarne czasy — okresy głodu, wysiłku fizycznego, ciąży czy choroby. Gdy nasi przodkowie polowali, a dostęp do żywności był niepewny, każdy gram tkanki tłuszczowej mógł przesądzić o życiu lub śmierci. Według „Nutrition Reviews” (2023), to właśnie zdolność do gromadzenia tłuszczu umożliwiła ludziom ekspansję na chłodniejsze tereny, przetrwanie długich zim i adaptację do zmiennych warunków środowiskowych.
Dzisiaj — w świecie nadmiaru, fastfoodów i biurowych krzeseł — przetrwanie zamieniło się w problem nadmiaru. Publiczny dyskurs skupia się na spalaniu tłuszczu, ignorując jego pierwotną, ochronną funkcję. Paradoksalnie, obsesja na punkcie szczupłości jest równie nienaturalna jak otyłość, bo ewolucja nie przewidziała, że eliminacja tłuszczu stanie się celem samym w sobie.
Współczesna perspektywa na tłuszcz to mieszanka strachu i niewiedzy, ale historia pokazuje, że bez tłuszczu nie byłoby ani ludzkości, ani postępu. Czy doceniasz, jak bardzo twoje ciało polega na tym „wrogu”?
- Zapas energii na wypadek głodu lub choroby.
- Ochrona organów wewnętrznych przed urazami.
- Izolacja termiczna — utrzymanie stałej temperatury ciała.
- Udział w produkcji hormonów regulujących apetyt i metabolizm (np. leptyna).
- Współtworzenie układu odpornościowego i kontrola procesów zapalnych.
- Wspieranie płodności i rozwoju płodu.
- Ułatwienie wchłaniania witamin rozpuszczalnych w tłuszczach (A, D, E, K).
Patrząc na ewolucję i współczesność, staje się jasne, że tkanka tłuszczowa to nie tylko estetyka, ale biologiczny fundament przetrwania i zdrowia. Jej demonizacja to uproszczenie, które w 2025 roku przynosi więcej szkody niż pożytku — zarówno jednostce, jak i społeczeństwu.
Anatomia tłuszczu: typy, funkcje i miejsca magazynowania
Tkanka tłuszczowa nie jest monolitem. Biologia rozróżnia trzy jej główne typy: białą, brunatną i beżową. Każda z nich pełni inne funkcje, wpływa na metabolizm i ma inne konsekwencje zdrowotne. Biała tkanka tłuszczowa to klasyczny magazyn energii — gromadzi nadmiar kalorii w postaci trójglicerydów. Brunatna tkanka tłuszczowa, obecna głównie u niemowląt, odpowiada za produkcję ciepła, pomagając przetrwać w chłodzie. Beżowa (lub „różowa”) tkanka tłuszczowa to hybryda, aktywowana m.in. przez zimno i wysiłek fizyczny.
| Typ tłuszczu | Funkcje | Lokalizacja | Wpływ zdrowotny |
|---|---|---|---|
| Biała | Magazyn energii, izolacja termiczna, produkcja hormonów | Podskórna (brzuch, uda, pośladki), trzewna (wokół narządów) | Nadmiar prowadzi do otyłości i chorób metabolicznych |
| Brunatna | Termogeneza (produkcja ciepła) | Szyja, okolice łopatek, u niemowląt dużo, u dorosłych mniej | Zwiększone spalanie kalorii, korzystny wpływ na metabolizm |
| Beżowa | Przejściowe funkcje termogeniczne | Powstaje z białej tkanki pod wpływem czynników (zimno, wysiłek) | Może wspierać spalanie tłuszczu, rola wciąż badana |
Tabela 1: Porównanie typów tkanki tłuszczowej. Źródło: Opracowanie własne na podstawie Nutrition Reviews (2023), „The Journal of Clinical Investigation” (2024)
Tkanka tłuszczowa magazynuje się pod skórą (tkanka podskórna) i wokół narządów (tkanka trzewna). To właśnie rozmieszczenie tłuszczu decyduje o ryzyku zdrowotnym. Tłuszcz podskórny pełni funkcje ochronne i jest mniej groźny, natomiast tłuszcz trzewny — odkładający się wokół wątroby, trzustki, serca — bywa cichym zabójcą, powiązanym z cukrzycą typu 2, nadciśnieniem czy miażdżycą.
Warto zrozumieć, że nie każdy tłuszcz jest taki sam i nie każdy wpływa identycznie na zdrowie. To, gdzie gromadzisz tłuszcz, zależy od płci, genetyki, hormonów i stylu życia – a nie tylko od liczby kalorii.
Normy i pomiar: ile tłuszczu to za dużo?
Mierzenie tkanki tłuszczowej to temat wywołujący burzliwe dyskusje. Metody wahają się od domowych kalkulatorów BMI po zaawansowane analizy składu ciała w gabinetach dietetycznych. Jednak statystyki są nieubłagane: optymalna ilość tkanki tłuszczowej to 12–20% u mężczyzn i 20–30% u kobiet (dane z Mayo Clinic, 2024). Przekroczenie tych widełek — zwłaszcza w przypadku tłuszczu trzewnego — wiąże się ze znacznym wzrostem ryzyka chorób metabolicznych.
6-stopniowy przewodnik do pomiaru tkanki tłuszczowej:
- Stań boso na wadze analizującej skład ciała (bioimpedancja).
- Zmierz fałdy skórne specjalnym cęgami w kilku miejscach (ramię, brzuch, udo, łopatka).
- Oblicz BMI, ale potraktuj wynik tylko jako orientację, nie wyrocznię.
- Użyj aplikacji z pomiarem obwodów (talia, biodra, klatka piersiowa).
- W gabinecie dietetyka wykonaj profesjonalny pomiar (np. DEXA, BIA).
- Porównaj wyniki z normami dla swojego wieku i płci.
Większość domowych narzędzi podaje orientacyjne wyniki. Najdokładniejsze są pomiary laboratoryjne, które nie tylko określają procent tłuszczu, ale także wskazują jego rozmieszczenie.
| Wiek | Mężczyźni (%) | Kobiety (%) |
|---|---|---|
| 20-29 | 12-18 | 20-28 |
| 30-39 | 13-19 | 21-29 |
| 40-49 | 14-20 | 22-30 |
| 50+ | 15-22 | 23-31 |
Tabela 2: Rekomendowane przedziały procentowe tkanki tłuszczowej. Źródło: Opracowanie własne na podstawie Mayo Clinic (2024), National Institutes of Health (2024)
Normy ewoluują. To, co 20 lat temu uznawano za „szkodliwy tłuszcz”, dziś może być uważane za fizjologiczną normę. Współczesna medycyna coraz częściej podkreśla znaczenie indywidualnej interpretacji wyników — bo zdrowie to nie tylko liczby.
Mit czy fakt? Najpopularniejsze kłamstwa o tkance tłuszczowej
7 kłamstw, które niszczą twoją relację z własnym ciałem
W świecie zdominowanym przez fit-influencerów, trudno oddzielić prawdę od mitów. Oto siedem najczęstszych kłamstw na temat tkanki tłuszczowej, które mogą sabotować twoje zdrowie i samoocenę:
- „Każdy tłuszcz jest zły.” W rzeczywistości, bez minimalnej ilości tłuszczu organizm nie funkcjonuje prawidłowo — zagraża mu niedobór witamin, zaburzenia hormonalne i osłabienie odporności.
- „Chudnięcie = spalanie tłuszczu.” Utrata wagi nie zawsze oznacza spalanie tłuszczu — często tracisz wodę i masę mięśniową.
- „Możesz spalić tłuszcz tylko z wybranego miejsca.” Lokalne spalanie tłuszczu to mit; to genetyka decyduje, skąd tłuszcz znika najszybciej.
- „Im mniej tłuszczu, tym lepiej.” Zbyt niski poziom tłuszczu prowadzi do zaburzeń metabolizmu, problemów z płodnością i osłabienia odporności.
- „Diety-cud i spalacze załatwią sprawę.” Szybkie diety i suplementy rzadko prowadzą do trwałych efektów, często zwiększają ryzyko efektu jo-jo.
- „Tłuszcz w diecie = tłuszcz na brzuchu.” To jakość i ilość kalorii, a nie sam tłuszcz w diecie, decyduje o odkładaniu tkanki tłuszczowej.
- „Tylko chudzi są zdrowi.” Waga nie jest jedynym wyznacznikiem zdrowia; fit osoby z niską wagą mogą mieć nadmiar tłuszczu trzewnego.
"Nie każda tkanka tłuszczowa to twój wróg."
— Marek, dietetyk
Psychologiczne konsekwencje tych mitów są dotkliwe. Pogoń za nierealistycznym ideałem prowadzi do zaburzeń odżywiania, depresji i chronicznego poczucia winy. Warto zatrzymać się i zweryfikować, skąd czerpiesz wiedzę o własnym ciele.
Dlaczego spalanie tłuszczu nie zawsze oznacza zdrowie
Zredukowanie tłuszczu stało się obsesją, ale zdrowie to nie wyścig na liczbę kilogramów. Stracenie 10 kg w miesiąc może wyglądać spektakularnie na Instagramie, ale często prowadzi do poważnych zaburzeń metabolicznych. Według raportu Światowej Organizacji Zdrowia (2024), gwałtowna utrata tkanki tłuszczowej uruchamia reakcje obronne organizmu — spowalnia metabolizm, zwiększa apetyt i powoduje utratę mięśni. To prosta droga do efektu jo-jo, frustracji i pogorszenia stanu zdrowia.
Przykład z życia: osoba, która w trzy miesiące schudła 15 kg na diecie niskokalorycznej, po roku powróciła do poprzedniej wagi, a dodatkowo zmaga się z osłabieniem, zaburzeniami hormonalnymi i pogorszeniem wyników badań krwi.
5 sygnałów ostrzegawczych niezdrowej redukcji tłuszczu:
- Chroniczne zmęczenie i zaburzenia snu.
- Zanik miesiączki lub problemy hormonalne.
- Spadek masy mięśniowej zamiast tłuszczu.
- Wahania nastroju, depresja, rozdrażnienie.
- Efekt jo-jo – szybki powrót utraconej masy ciała.
Brązowa tkanka tłuszczowa: game changer czy medialny mit?
Brązowa tkanka tłuszczowa — temat, który rozgrzewa wyobraźnię i… metabolizm. Przez media okrzyknięta „spalaczem tłuszczu XXI wieku”, realnie jest rzadkim gościem w ciele dorosłego człowieka. Badania (Nature Reviews Endocrinology, 2024) pokazują, że brązowa tkanka tłuszczowa faktycznie przyspiesza spalanie kalorii poprzez produkcję ciepła, ale jej ilość u osób dorosłych jest niewielka.
| Rok | Odkrycie | Wpływ na metabolizm |
|---|---|---|
| 2022 | Zidentyfikowano nowe markery aktywacji BAT | Potencjalny cel terapii |
| 2023 | Zimno indukuje powstawanie beżowej tkanki | Nieznaczne przyspieszenie spalania tłuszczu |
| 2024 | Badania nad farmakologiczną aktywacją BAT | Etap badań klinicznych |
| 2025 | Brak przełomowych dowodów klinicznych | Wciąż temat badań |
Tabela 3: Najnowsze badania nad brązową tkanką tłuszczową. Źródło: Opracowanie własne na podstawie Nature Reviews Endocrinology (2024)
"Brązowa tkanka tłuszczowa nie jest magicznym remedium, ale to fascynująca granica nauki."
— Ola, endokrynolog
Fakty? Brązowy tłuszcz jest ciekawy z perspektywy nauki, ale nie zastąpi zbalansowanej diety i aktywności fizycznej. Uwaga na medialne uproszczenia.
Tkanka tłuszczowa w kulturze: od symbolu wstydu do rewolucji akceptacji
Jak media i popkultura zmieniły nasze myślenie o tłuszczu
Obraz ciała i tłuszczu w mediach to lustro społeczeństwa. Przez dekady sylwetki na okładkach magazynów przechodziły od krągłych kształtów lat 50., przez „modelkowe” lata 90., aż po dzisiejszy kult fitnessu. Każda epoka narzucała własne normy, często brutalnie wykluczając osoby „niepasujące” do aktualnego wzorca.
Body positivity i ruchy anty-fat-shamingowe to odpowiedź na lata społecznej presji. Mimo wzrostu świadomości, fatfobia wciąż ma się dobrze — także w Polsce.
"Twoje ciało to nie billboard społecznych oczekiwań."
— Ania, aktywistka
Kultura masowa ma realny wpływ na postrzeganie samego siebie. To, co kiedyś było symbolem dobrobytu, dziś bywa powodem wykluczenia. Czas zadać sobie pytanie: kto naprawdę decyduje o normach?
Polska obsesja liczb: BMI, waga i inne pułapki
W Polsce liczby mają moc – BMI, kilogramy, procent tłuszczu. Sklepy z suplementami prześcigają się w reklamach „idealnego BMI”, a siłownie kuszą coraz bardziej zaawansowanymi analizatorami składu ciała.
Definicje kluczowych wskaźników:
Stosunek masy ciała do wzrostu (kg/m²). Szybko obliczany, ale nie rozróżnia tkanki tłuszczowej od mięśni.
Stosunek obwodu talii do bioder. Wskazuje ryzyko chorób metabolicznych przy nadmiarze tłuszczu trzewnego.
Rzeczywisty udział tłuszczu w masie ciała — kluczowy dla oceny zdrowia metabolicznego.
Choć liczby dają złudzenie kontroli, często wprowadzają w błąd. Osoba z „normalnym” BMI może mieć niebezpiecznie wysoki poziom tłuszczu trzewnego. Z kolei kulturysta z wysokim BMI bywa w doskonałej kondycji.
Warto patrzeć poza liczby — liczy się nie tylko ilość, ale też jakość i rozmieszczenie tkanki tłuszczowej.
Społeczne i psychologiczne skutki stygmatyzacji tłuszczu
Stygmatyzacja tłuszczu to niewidzialna epidemia. Badania Instytutu Psychologii Zdrowia (2024) dowodzą, że osoby z nadwagą są częściej narażone na depresję, lęk społeczny, dyskryminację w pracy i służbie zdrowia. Społeczne konsekwencje bycia „za grubym” dotykają także dzieci i młodzież — od wykluczenia rówieśniczego po cyberprzemoc.
Historia Magdy, która po latach walki z wagą nauczyła się akceptować własne ciało, pokazuje, że droga do zdrowia psychicznego zaczyna się od zmiany narracji, nie wskazówki wagi.
- Niskie poczucie własnej wartości i chroniczny wstyd.
- Zaburzenia odżywiania — od kompulsywnego objadania się po anoreksję.
- Utrudniony dostęp do opieki zdrowotnej (fatfobia lekarzy).
- Izolacja społeczna i pogorszenie relacji rodzinnych.
- Zwiększone ryzyko zaburzeń lękowych i depresyjnych.
- Ograniczenia w rozwoju zawodowym i społecznym.
Stygmatyzacja tłuszczu pogłębia nierówności zdrowotne. W Polsce temat ten wciąż jest marginalizowany — czas to zmienić.
Najnowsza nauka: co naprawdę wiemy o tłuszczu w 2025 roku
Przełomowe badania: co zmieniło się w ostatnich latach?
Ostatnie lata to rewolucja w rozumieniu roli tkanki tłuszczowej. Najważniejsze badania z lat 2022–2025 obalają stare mity i dostarczają nowych narzędzi diagnostycznych:
| Rok | Odkrycie | Znaczenie dla zdrowia |
|---|---|---|
| 2022 | „Pamięć tłuszczowa” – organizm „zapamiętuje” ilość tłuszczu | Utrudniona trwała redukcja |
| 2023 | Odkrycie nowych hormonów (adipokin) regulujących apetyt | Cel terapii metabolicznych |
| 2024 | Rola mikrobiomu w magazynowaniu tłuszczu | Personalizacja diet i terapii |
| 2025 | Zaawansowane narzędzia AI do analizy składu ciała | Lepsza diagnostyka, prewencja |
Tabela 4: Kluczowe odkrycia naukowe o tkance tłuszczowej. Źródło: Opracowanie własne na podstawie „The Journal of Clinical Investigation” (2025), Mayo Clinic (2024)
Praktyczne konsekwencje? Trwała redukcja tkanki tłuszczowej wymaga nie rewolucji, a konsekwencji i spersonalizowanego podejścia. Medyk.ai staje się tu narzędziem edukacyjnym, pozwalającym na monitorowanie postępów i weryfikację wiedzy.
Wciąż wiele porad online opiera się na przestarzałych mitach. Czas zaktualizować swoją wiedzę — sięgając po rzetelne źródła.
Geny, hormony, środowisko: dlaczego nie każdy tłuszcz jest taki sam
Nie każdy kilogram tłuszczu to efekt „niedojadania” lub „przejadania się”. W grę wchodzą geny, hormony i środowisko. Genetyka decyduje, czy gromadzisz tłuszcz na brzuchu czy udach, jak szybko spalany jest tłuszcz i czy łatwo go odzyskujesz po diecie.
Hormony — insulina, leptyna, kortyzol — regulują apetyt, tempo spalania tłuszczu i reakcje na stres. Przykład: osoby z insulinoopornością gromadzą tłuszcz szybciej, mimo identycznej diety jak zdrowi rówieśnicy.
Środowisko też robi swoje: brak snu, stres, siedzący tryb życia, zanieczyszczenie powietrza — to czynniki, które mogą aktywować lub tłumić geny odpowiedzialne za metabolizm tłuszczu.
- Płeć biologiczna (mężczyźni vs kobiety)
- Genetyka (rodzinne predyspozycje do otyłości)
- Hormony (insulina, leptyna, estrogeny)
- Wiek (spadek tempa metabolizmu z wiekiem)
- Styl życia (aktywność fizyczna, dieta)
- Stres i sen
- Środowisko (m.in. toksyny, mikrobiom)
Twoja „mapa tłuszczowa” to efekt skomplikowanej gry czynników, których nie sposób sprowadzić do prostego równania „mniej kalorii = mniej tłuszczu”.
Przyszłość medycyny tłuszczowej: AI, nowe terapie i medyk.ai
Sztuczna inteligencja coraz śmielej wkracza do świata diagnostyki tkanki tłuszczowej. Algorytmy analizują wyniki badań, porównują składy ciała i podpowiadają spersonalizowane strategie działania.
Nowe terapie — od zaawansowanych leków metabolicznych po biohacking — są testowane w największych ośrodkach medycznych. Jednak eksperci przestrzegają: technologia to narzędzie, nie cudowny lek.
"Sztuczna inteligencja zmienia zasady gry w diagnostyce tkanki tłuszczowej."
— Paweł, technolog
Medyk.ai to przykład nowoczesnej edukacji zdrowotnej — platforma, która łączy AI, wiedzę medyczną i rzetelność. Nie zastąpi lekarza, ale pozwala zrozumieć, jak działa twoje ciało. W tym świecie fake newsów, rzetelność informacji to klucz.
Tkanka tłuszczowa w praktyce: jak działa, jak ją kontrolować, jak z nią żyć
Jak działa metabolizm tłuszczu i jak to wykorzystać?
Metabolizm tłuszczu to skomplikowany proces, ale można go streścić w kilku krokach. Najpierw organizm magazynuje nadmiar kalorii w postaci tłuszczu. W trakcie wysiłku lub głodu tłuszcz jest rozkładany na kwasy tłuszczowe, które trafiają do krwi i są spalane w mitochondriach komórek — to daje energię do działania.
Proces spalania tłuszczu można zoptymalizować przez:
- Zwiększenie aktywności fizycznej (szczególnie trening interwałowy i siłowy).
- Utrzymanie deficytu kalorycznego (umiarkowanego, nie drastycznego).
- Spożywanie posiłków bogatych w białko i błonnik.
- Unikanie długich okresów głodzenia się.
- Dbanie o sen — brak snu spowalnia metabolizm tłuszczu.
- Kontrolę stresu (wysoki kortyzol sprzyja magazynowaniu tłuszczu).
- Uważność na leki i choroby wpływające na metabolizm.
- Regularne badania i analiza postępów.
Najczęstsze błędy? Zbyt drastyczne ograniczenie kalorii, monodiety i brak regeneracji po wysiłku. Tłuszcz spala się w tempie, które wyznacza biologia, nie influencerzy.
Czego nie mówią ci trenerzy: indywidualne podejście do tłuszczu
Rada „każdy może wyglądać jak z okładki” to mit. Różnorodność sylwetek wynika z genetyki i stylu życia. Dwie osoby o tym samym wzroście i wadze mogą drastycznie różnić się składem ciała i rozmieszczeniem tłuszczu.
Przykład: Marta, 32 lata, po latach walki z dietami odkryła, że jej ciało najlepiej reaguje na umiarkowaną aktywność i dietę śródziemnomorską — nie na modne detoksy czy treningi HIIT. Jej sukces to efekt spersonalizowanego podejścia, nie kopiowania trendów.
Indywidualizacja to klucz. Idealny plan to ten, który odpowiada twoim potrzebom, nie instagramowym trendom.
Samodzielna analiza tkanki tłuszczowej: poradnik krok po kroku
Chcesz wiedzieć, ile masz tłuszczu? Oto praktyczna instrukcja:
- Stań nago przed lustrem — oceń wizualnie obszary problemowe.
- Zmierz obwód talii i bioder.
- Oblicz BMI.
- Użyj domowego analizatora składu ciała.
- Zmierz fałdy skórne cęgami.
- Porównaj wyniki z normami płci i wieku.
- Zastosuj kalkulatory online.
- Zapisuj wyniki regularnie (np. co 4 tygodnie).
- Jeśli masz wątpliwości — skonsultuj się z profesjonalistą.
Interpretacja wyników wymaga dystansu. Nie każda zmiana na wadze to tłuszcz, a różnice między domowymi narzędziami bywają spore.
| Narzędzie | Zalety | Wady | Zaskakujące fakty |
|---|---|---|---|
| Domowy analizator | Łatwość obsługi | Umiarkowana dokładność | Wynik zależy od nawodnienia |
| Fałdomierz | Precyzja dla osób aktywnych | Trudność samodzielnego pomiaru | Najlepszy u sportowców |
| Kalkulatory online | Dostępność | Brak indywidualizacji | Przeszacowują u osób aktywnych |
| DEXA | Najwyższa precyzja | Koszt, dostępność | Umożliwia analizę trzewnej tkanki tłuszczowej |
Tabela 5: Narzędzia do analizy tkanki tłuszczowej — plusy, minusy, zaskoczenia. Źródło: Opracowanie własne na podstawie Mayo Clinic (2024), „Obesity Reviews” (2024)
Po samodzielnym pomiarze traktuj wyniki jako punkt wyjścia, nie wyrok. Najważniejsze są systematyczność i zdroworozsądkowa interpretacja.
Tkanka tłuszczowa a zdrowie psychiczne: związek, o którym się nie mówi
Jak tłuszcz wpływa na mózg i emocje
Tkanka tłuszczowa nie kończy swojej misji na metabolizmie. Nowe badania (Frontiers in Neuroscience, 2024) pokazują, że tłuszcz wpływa na mózg — reguluje nastrój, pamięć i odporność na stres. Kwasy tłuszczowe są niezbędne do produkcji neuroprzekaźników, a niedobór tłuszczu w diecie może prowadzić do zaburzeń koncentracji i spadku nastroju.
Witaminy A, D, E, K — rozpuszczalne w tłuszczach — są niezbędne dla zdrowia psychicznego. Zbyt restrykcyjne diety mogą prowadzić do ich niedoboru, a w konsekwencji — problemów emocjonalnych.
- Regulacja poziomu serotoniny i dopaminy.
- Wsparcie dla pamięci i koncentracji.
- Zmniejszenie podatności na stres.
- Ochrona przed depresją (kwasy omega-3).
- Wpływ na jakość snu i regenerację.
Tkanka tłuszczowa to nie wróg twojej głowy — to jej sprzymierzeniec, pod warunkiem, że zachowasz równowagę.
Psychodietetyka: kiedy walka z tłuszczem staje się obsesją
Psychodietetyka to nauka o związku między psychiką a odżywianiem. Granica między zdrową troską o ciało a obsesją bywa cienka. Jeśli stale myślisz o „spalaniu tłuszczu”, unikasz spotkań towarzyskich, by nie „zepsuć diety”, to sygnał ostrzegawczy.
7 sygnałów obsesji na punkcie tłuszczu:
- Permanentne liczenie kalorii i makroskładników.
- Lęk przed zjedzeniem „zakazanych” produktów.
- Zamiana relacji społecznych na treningi i dietę.
- Spadek nastroju przy braku postępów.
- Kompulsywne ważenie się.
- Unikanie luster i zdjęć.
- Uczucie winy po każdym „przewinieniu dietetycznym”.
Wsparcie znajdziesz w społecznościach online, grupach wsparcia i u specjalistów — nie bój się szukać pomocy. Twoja relacja z ciałem ma kluczowe znaczenie dla zdrowia psychicznego.
Różnice płciowe i społeczne: nie każdy tłuszcz liczy się tak samo
Kobiety kontra mężczyźni: kto i dlaczego ma więcej tłuszczu?
Dane nie kłamią: kobiety mają średnio więcej tkanki tłuszczowej niż mężczyźni, nawet przy tej samej wadze i wzroście. To efekt biologii — tłuszcz chroni płodność, umożliwia donoszenie ciąży i produkcję hormonów.
| Płeć | Typowe rozmieszczenie tłuszczu | Procentowa zawartość | Konsekwencje zdrowotne |
|---|---|---|---|
| Kobiety | Uda, pośladki, biodra, piersi | 20–30% | Lepsza ochrona przed wychłodzeniem, wyższe ryzyko cellulitu |
| Mężczyźni | Brzuch, klatka piersiowa, ramiona | 12–20% | Skłonność do tłuszczu trzewnego i chorób metabolicznych |
Tabela 6: Różnice w rozmieszczeniu tłuszczu między płciami. Źródło: Opracowanie własne na podstawie „Lancet” (2024), NIH (2024)
Społeczeństwo stosuje podwójne standardy — kobiecy tłuszcz bywa krytykowany, męski tłuszcz często ignorowany aż do poważnych problemów zdrowotnych. Czas na równość w ocenie ciał.
Tkanka tłuszczowa w różnych kulturach: symbol sukcesu czy stygmat?
W zależności od szerokości geograficznej, tłuszcz bywa symbolem bogactwa, zdrowia lub… wstydu. W niektórych kulturach (Afryka Zachodnia, wyspy Pacyfiku) pełne kształty to znak powodzenia, płodności i statusu społecznego. W Japonii szanuje się „sumo body”, a w Europie dominuje kult szczupłości.
- Ceremonie inicjacyjne z celebracją przyrostu masy ciała.
- Tłuszcz jako wyznacznik płodności (Afryka).
- Otyłość jako symbol dobrobytu (Bliski Wschód).
- Fat-shaming i presja na szczupłość (Europa, USA).
- Ruch body positivity (kraje anglosaskie).
- Kult masy w subkulturach sportowych (sumo, strongman).
Migracja, globalizacja i social media zacierają granice, ale stereotypy wciąż mają się dobrze.
"W jednej kulturze tłuszcz to bogactwo, w innej — problem."
— Lena, antropolożka
Kontrowersje, wyzwania i przyszłość: co dalej z tkanką tłuszczową?
Dieta, suplementy, leki: co naprawdę działa (a co szkodzi)?
Diety ketogeniczne, suplementy „spalające tłuszcz”, leki odchudzające — rynek walczy o uwagę i portfele. Co naprawdę działa? Meta-analizy (Obesity Reviews, 2025) pokazują, że trwały efekt daje tylko połączenie umiarkowanego deficytu kalorycznego, aktywności i zdrowej relacji z jedzeniem. Suplementy i leki mają sens tylko w określonych przypadkach medycznych.
| Metoda | Skuteczność | Ryzyko |
|---|---|---|
| Dieta śródziemnomorska | Wysoka | Niskie |
| Suplementy spalające tłuszcz | Niska/Brak dowodów | Wysokie (efekty uboczne) |
| Leki na receptę | Średnia/Wysoka | Średnie/Wysokie |
| Diety niskokaloryczne | Krótkoterminowa | Wysokie (jo-jo) |
Tabela 7: Skuteczność i ryzyka popularnych metod redukcji tłuszczu. Źródło: Opracowanie własne na podstawie Obesity Reviews (2025)
10 rzeczy do sprawdzenia przed rozpoczęciem diety:
- Czy dieta opiera się na dowodach naukowych?
- Jakie efekty uboczne mogą wystąpić?
- Czy jest dostosowana do twojego stylu życia?
- Czy uwzględnia twoje choroby przewlekłe?
- Czy wymaga suplementacji?
- Czy jest możliwa do utrzymania długoterminowo?
- Jakie są opinie specjalistów?
- Czy zakłada eliminację całych grup pokarmów?
- Jakie są koszty?
- Czy zagraża twojej relacji z jedzeniem?
Przyszłość walki z tłuszczem: technologie, biohacking, społeczne zmiany
Analizatory składu ciała, inteligentne opaski, aplikacje śledzące każdy kęs — technologia daje narzędzia, które pomagają, ale też mogą pogłębiać obsesję. Biohacking i eksperymenty z dietą stają się coraz bardziej popularne, ale brak nadzoru może prowadzić do szkodliwych skutków.
Co przyniesie kolejna dekada? Tylko krytyczne myślenie pozwoli oddzielić rzetelne badania od medialnych rewelacji.
Czy dieta idealna istnieje? Krytyczne spojrzenie na rynek odchudzania
Rynek diet i produktów „fat-loss” to miliardy złotych i ocean obietnic. Dieta keto, intermittent fasting, detoksy sokowe — każda ma swoich zwolenników i rozczarowanych. Najważniejsze: nie ma uniwersalnej drogi do „idealnej sylwetki”.
- „Szybkie spalanie tłuszczu bez wysiłku.”
- „Cudowne suplementy eliminujące tłuszcz z brzucha.”
- „Dieta, która działa na każdego.”
- „Efekty w 7 dni.”
- „Brak efektu jo-jo — gwarantowany!”
- „Konsultacje bez specjalisty.”
- „Ukryte koszty.”
- „Brak dowodów naukowych.”
Historia Michała — który wydał fortunę na „cudowny spalacz tłuszczu” i trafił do szpitala z powodu powikłań — to ostrzeżenie: nie wszystko, co brzmi rewolucyjnie, jest bezpieczne.
Podsumowanie: wszystko, co musisz wiedzieć o tkance tłuszczowej w 2025 roku
Najważniejsze wnioski i praktyczne rady na przyszłość
Tkanka tłuszczowa to nie tylko liczby na wadze, ale kluczowy element zdrowia, wpływający na metabolizm, odporność, hormony i psychikę. Oto 12 zasad, które zmienią twoje podejście:
- Tłuszcz jest niezbędny do życia.
- Liczy się rozmieszczenie, nie tylko ilość.
- Szybkie diety przynoszą krótkotrwałe efekty.
- Geny i hormony mają znaczenie.
- Kobiety i mężczyźni różnią się potrzebami.
- Ruch i regeneracja są ważniejsze niż restrykcje.
- Każdy ma własną „mapę tłuszczową”.
- Psychika odgrywa kluczową rolę.
- Porównywanie się z innymi to droga donikąd.
- Technologia to narzędzie, nie wyrocznia.
- Szukaj wsparcia w rzetelnych źródłach (takich jak medyk.ai).
- Krytycznie podchodź do trendów i obietnic.
Wiedza to pierwsze narzędzie w walce z mitami. Przełożenie jej na praktykę to sztuka, która wymaga czasu i świadomości.
Dbaj o siebie — nie według cudzych standardów, lecz wsłuchując się w swoje ciało i korzystając z rzetelnych źródeł.
Gdzie szukać rzetelnych informacji i wsparcia
Świat fake newsów i „ekspertów” bez kwalifikacji wymaga czujności. Kluczem jest selekcja źródeł i ciągła edukacja. Medyk.ai to przykład platformy, która łączy aktualną wiedzę medyczną i sztuczną inteligencję, dając ci dostęp do rzetelnych informacji na temat składu ciała i zdrowia metabolicznego.
- Narodowy Instytut Zdrowia Publicznego
- Światowa Organizacja Zdrowia (WHO)
- Mayo Clinic
- Polskie Towarzystwo Dietetyki
- Społeczności wsparcia online (z moderacją ekspertów)
- Platformy edukacyjne jak medyk.ai
- Zaufane blogi naukowe i podcasty
Zachęcam — weryfikuj informacje, kwestionuj mity, korzystaj z narzędzi, które promują równowagę, nie obsesję. Twoje zdrowie jest warte czegoś więcej niż kolejnej chwytliwej diety.
Źródła
Źródła cytowane w tym artykule
- FitNow – 7 prawd utraty tłuszczu(fitnow.pl)
- BieganieUskrzydla.pl – pamięć tłuszczowa(bieganieuskrzydla.pl)
- Krok do zdrowia – Fakty o tłuszczu(krokdozdrowia.com)
- InBody Poland – przewodnik po tłuszczu(inbodypoland.pl)
- Wikipedia – Tkanka tłuszczowa(pl.wikipedia.org)
- Maczfit – Rola tłuszczu(maczfit.pl)
- Fizjoterapeuty.pl – Anatomia tłuszczu(fizjoterapeuty.pl)
- Champs.pl – Rodzaje tłuszczu(champs.pl)
- Onet – Największe kłamstwa o odchudzaniu(onet.pl)
- Trening na faktach(treningnafaktach.pl)
- Believe.com.pl(believe.com.pl)
- Slowerful.pl(slowerful.pl)
- Zdrowie.co.pl – Spalanie tłuszczu a zdrowie(zdrowie.co.pl)
- Dietly.pl – Od czego zależy spalanie tłuszczu(dietly.pl)
- Dietetycy.org.pl – Otyłość w historii(dietetycy.org.pl)
- Viademica – Medykalizacja otyłości(journals.viamedica.pl)
- Forsal – Obsesja na punkcie BMI(forsal.pl)
- Alertmedyczny – Polska tyje(alertmedyczny.pl)
- Tomasz Witkowski – Skutki stygmatyzacji(tomaszwitkowski.pl)
- Serwis Zdrowie – Stygmatyzacja otyłości(zdrowie.pap.pl)
- NaTemat – Nowe normy żywienia(zdrowie.natemat.pl)
- BudujMase.pl – Ranking spalaczy tłuszczu 2025(budujmase.pl)
- CORDIS – MRI w diagnostyce tłuszczu(cordis.europa.eu)
- Puls Medycyny – Nowe terapie cukrzycy(pulsmedycyny.pl)
- Instytut Idea Fit&Spa – AI w medycynie estetycznej(instytutideafitspa.pl)
- Efindme – Technologie przyszłości(efindme.pl)
- Centrum Dietetyki – Funkcje tłuszczu(centrumdietetyki.com)
- BiotechUSA – Rola tłuszczu(biotechusa.pl)
- SFD.pl – Ciemna strona trenerów(sfd.pl)
- PoTreningu.pl – Indywidualne podejście(potreningu.pl)
Zadbaj o swoje zdrowie
Rozpocznij korzystanie z Medyk.ai już dziś
Więcej artykułów
Odkryj więcej tematów od medyk.ai - Wirtualny asystent medyczny
Tinnitus w Polsce 2026: od męczących szumów do realnej ulgi
Tinnitus w Polsce: poznaj fakty, mity i nowe metody radzenia sobie z szumami usznymi. Zobacz, co zmienia 2026 i dlaczego nie możesz tego zignorować!
Testy płatkowe naprawdę działają? Koszty, mity i realne wyniki
Kompletny przewodnik po mitach, kosztach i prawdziwych wynikach. Odkryj, co specjaliści ukrywają. Sprawdź zanim zdecydujesz!
Testy przesiewowe u dzieci – pomoc czy ryzykowna naddiagnostyka?
Testy przesiewowe u dzieci – aktualne wytyczne, kontrowersje, nieznane skutki. Poznaj fakty i zdecyduj świadomie. Czy wiesz, co naprawdę kryje się za badaniami?
Testy przesiewowe noworodków w Polsce 2026 pod lupą AI
Testy przesiewowe noworodków – co wykrywają, jak działają i dlaczego nie wszystko jest tak oczywiste? Przewodnik po prawdzie, mitach i kontrowersjach. Sprawdź, zanim zaufasz systemowi.
Testy genetyczne w 2026 – ile naprawdę mówią o twojej przyszłości?
Testy genetyczne w 2026: odkryj fakty, mity i ryzyka. Kompleksowy przewodnik po badaniach DNA, który pomoże Ci podjąć świadomą decyzję. Sprawdź zanim zrobisz test!
Testy alergiczne naprawdę potrzebne czy modne nadużycie?
Testy alergiczne – fakty, mity, koszty, ryzyko i zaskakujące wyznania ekspertów. Poznaj brutalną rzeczywistość i podejmij świadomą decyzję.
Testosteron pod lupą: nauka, mity i ryzyko terapii
Testosteron to nie tylko siła. Odkryj szokujące fakty, mity i ryzyka – poznaj całą prawdę, zanim podejmiesz decyzję. Czy jesteś gotów na zmiany?
Test przesiewowy, który pomaga — i ten, który robi krzywdę
Dowiedz się, kiedy warto go zrobić, jak uniknąć pułapek i dlaczego nie wszystko jest takie oczywiste. Sprawdź, co przemilczają eksperci!
Test owulacyjny pod lupą: nauka, marketing i Twoja płodność
Test owulacyjny – odkryj szokujące fakty, które zmienią twoje podejście do płodności. Poznaj praktyczne porady, mity i realne zagrożenia. Przeczytaj teraz!
Test oddechowy na Helicobacter w 2026: wynik, cena, pułapki
Prawda, która nie przebija się do masowej świadomości: bakteria Helicobacter pylori ukrywa się w żołądkach milionów Polaków, a test oddechowy na Helicobacter –
Test obciążenia glukozą naprawdę wyjaśniony: wyniki, mity, decyzje
Test obciążenia glukozą – odkryj, co naprawdę oznacza wynik, jak się przygotować i czego nie powiedzą ci lekarze. Przełomowe spojrzenie. Przeczytaj teraz!
Test nietolerancji pokarmowych – kiedy pomaga, a kiedy szkodzi
Odkryj prawdę, fakty i mity. Kompleksowy przewodnik, który rozwieje wątpliwości i pokaże, czego nikt Ci nie mówi. Przeczytaj zanim wydasz pieniądze!
Zobacz też
Artykuły z naszych projektów w kategorii Zdrowie, psychologia i fitness