Angiografia mózgowa bez tabu: ryzyko, ból, koszty i alternatywy
Angiografia mózgowa – brzmi niewinnie, jak kolejny element rutynowej diagnostyki. A jednak ten zabieg niejednemu pacjentowi przyniósł więcej pytań niż odpowiedzi, wywołał lawinę wątpliwości i do dziś budzi autentyczne emocje wśród lekarzy, pacjentów i rodzin. To badanie, które w 2025 roku staje się nie tylko złotym standardem w diagnostyce chorób naczyniowych mózgu, ale i polem walki o transparentność, bezpieczeństwo, a czasem… godność chorego. Jeśli chcesz zrozumieć, co naprawdę kryje się za obrazkami z sal angiograficznych, jakie sekrety ukrywa branża i dlaczego wokół tego badania krąży tak wiele mitów – ten przewodnik rozwieje Twoje wątpliwości. Tu nie będzie wygładzonych formułek – tylko rzetelne dane, prawdziwe historie i kulisy, o których głośno mówi się rzadko. Oto angiografia mózgowa bez cenzury.
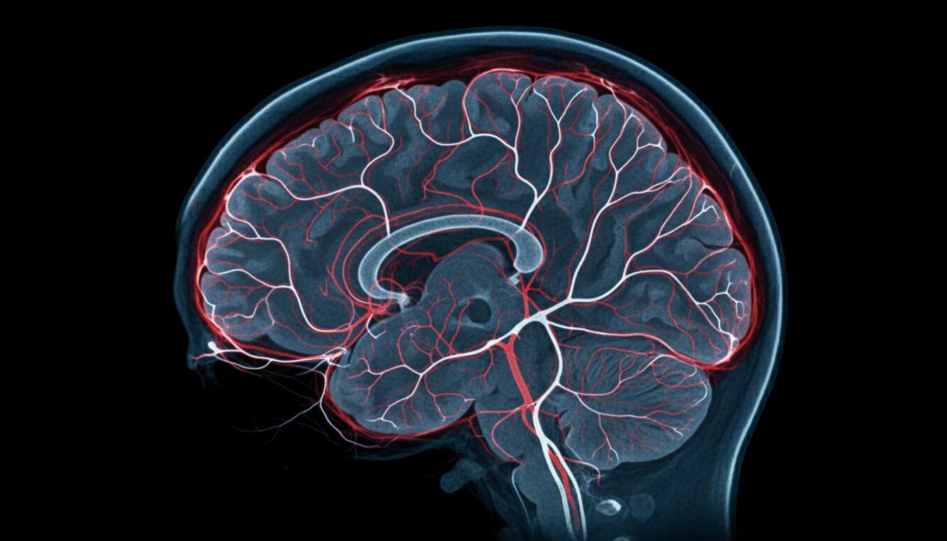
Czym naprawdę jest angiografia mózgowa i dlaczego budzi tyle emocji?
Krótka historia — od mrocznych początków do cyfrowej rewolucji
Angiografia mózgowa nie zawsze była tym, czym jest dziś. Pojawiła się w latach 20. XX wieku, gdy portugalski neurolog Egas Moniz wykonał pierwsze inwazyjne badanie naczyń mózgowych. W tamtych czasach ryzyko powikłań było olbrzymie, a sama procedura – toporna i bolesna. Przez dekady badanie ewoluowało: pojawiły się coraz cieńsze cewniki, lepsze środki kontrastowe i, co rewolucyjne, cyfrowa angiografia subtrakcyjna (CAS). Dziś, dzięki cyfrowej technologii, lekarze widzą wyłącznie naczynia, eliminując szum tła i uzyskując niezwykłą precyzję obrazu. To, co kiedyś było domeną pionierów, dziś stało się narzędziem codziennej praktyki neurologicznej i neurochirurgicznej, choć wciąż nie jest pozbawione kontrowersji.
Dane statystyczne potwierdzają, że roczna liczba angiografii mózgowych w Polsce stale rośnie. Według "Zdrowie i Medycyna" w latach 2023-2025 obserwuje się nawet 20% wzrost rocznych wskazań, co wynika głównie ze starzenia się społeczeństwa, lepszej wykrywalności tętniaków i wzrostu świadomości w zakresie chorób naczyniowych.
| Rok | Liczba wykonanych angiografii mózgowych | Procentowy wzrost rok do roku |
|---|---|---|
| 2022 | 14 000 | - |
| 2023 | 16 500 | 18% |
| 2024 | 19 800 | 20% |
| 2025 | (prognoza) 21 500 | 8% |
Tabela 1: Dynamika wzrostu liczby angiografii mózgowych w Polsce na podstawie danych Zdrowie i Medycyna, 2024
Jak działa angiografia mózgowa: technologia kontra wyobrażenia
Na pierwszy rzut oka angiografia mózgowa przypomina zwykłe prześwietlenie – pacjent leży na stole, a nad nim krąży ramię aparatu rentgenowskiego. Rzeczywistość jest znacznie bardziej złożona. Procedura polega na wprowadzeniu cienkiego cewnika do tętnicy (najczęściej udowej lub promieniowej), podaniu środka kontrastowego i wykonaniu serii zdjęć rentgenowskich w czasie rzeczywistym. Kluczowy jest moment – każda sekunda decyduje o jakości obrazu, a niedoskonałość techniki może zafałszować wynik. Nowoczesne systemy CAS pozwalają na tzw. subtrakcję cyfrową, dzięki czemu na ekranie widoczne są wyłącznie naczynia, bez rozpraszających detali tła.
To, co dla lekarza jest rutyną, dla pacjenta często bywa doświadczeniem granicznym. Częste pytania dotyczą bólu, ryzyka i czasu trwania. Według Apollo Hospitals, 2024, sama procedura trwa od 30 do 90 minut, a większość osób odczuwa tylko lekki dyskomfort lub krótkotrwałe pieczenie w miejscu wkłucia.
- Inwazyjność: wymaga wprowadzenia cewnika do tętnicy
- Precyzja: uznawana za „złoty standard” diagnostyki tętniaków i malformacji
- Ryzyko: możliwe powikłania, choć poważne zdarzają się rzadko (poniżej 1%)
- Dostępność: w 2025 roku obecna głównie w dużych ośrodkach medycznych
Kiedy naprawdę warto poddać się badaniu?
Decyzja o skierowaniu na angiografię mózgową zapada zwykle, gdy stawką jest życie: podejrzenie pękniętego tętniaka, malformacji naczyniowej, udaru niedokrwiennego czy innych patologii zagrażających funkcjom mózgu. Niekiedy badanie wykonuje się także w celach planowania operacji lub monitorowania efektów terapii. Eksperci podkreślają, że angiografia nie jest badaniem pierwszego wyboru – sięga się po nią, gdy nieinwazyjne metody (angio-TK, angio-MR) nie dają jednoznacznej odpowiedzi.
-
Nagły ból głowy o niespotykanej sile
-
Objawy neurologiczne bez jasnej przyczyny (nagłe osłabienie, zaburzenia mowy)
-
Podejrzenie tętniaka lub malformacji naczyniowej
-
Śledzenie efektów leczenia po operacji naczyniowej
-
Diagnostyka przed planowaną embolizacją lub zabiegiem neurochirurgicznym
-
Wskazania obejmują także niejasne obrazy z rezonansu czy tomografii, gdy lekarz podejrzewa, że „coś jeszcze” kryje się poza zasięgiem nieinwazyjnych testów.
-
W praktyce, decyzja o angiografii nierzadko oznacza ostatni etap diagnostyki przed wdrożeniem leczenia, które może uratować życie lub zahamować nieodwracalne zmiany neurologiczne.
Warto podkreślić, że angiografia mózgowa to badanie, które nie powinno być narzucane bez realnych wskazań – nie służy „sprawdzaniu na wszelki wypadek”. Jej znaczenie rośnie, gdy stawką jest czas i precyzja diagnozy.
Mit czy konieczność? Najczęściej powtarzane półprawdy o angiografii
Czy angiografia mózgowa jest niebezpieczna?
Strach przed angiografią nie bierze się znikąd. Wokół tej procedury narosło wiele mitów, z których najpopularniejszy brzmi: „To niebezpieczne badanie, grozi poważnymi powikłaniami”. Fakty? Według abcZdrowie, 2024, poważne powikłania (udar, krwotok, reakcja anafilaktyczna) zdarzają się w mniej niż 1% przypadków. Najczęstsze problemy to niewielkie krwiaki w miejscu wkłucia lub łagodne objawy alergiczne na kontrast.
"Angiografia mózgowa jest badaniem inwazyjnym, ale poważne powikłania to rzadkość. Ryzyko znacznie maleje przy zastosowaniu nowoczesnych technik i ścisłej kontroli parametrów pacjenta." — Dr hab. n. med. Piotr Mach, specjalista radiologii abcZdrowie, 2024
| Rodzaj powikłania | Częstość występowania | Skutki |
|---|---|---|
| Krwiak w miejscu wkłucia | ok. 1-2% | Niewielki, ustępujący samoistnie |
| Reakcja alergiczna | < 1% | Pokrzywka, rzadko anafilaksja |
| Udar niedokrwienny | < 0,5% | Poważne, wymaga leczenia |
| Krwotok mózgowy | < 0,1% | Bardzo rzadkie, ryzykowne |
Tabela 2: Najczęstsze powikłania po angiografii mózgowej wg abcZdrowie, 2024
Choć statystyki są po stronie bezpieczeństwa, każdy przypadek należy traktować indywidualnie. Ryzyko wzrasta u osób z niewydolnością nerek, alergią na kontrast czy zaburzeniami krzepnięcia.
Najgroźniejsze mity – i co mówi nauka
- Angiografia mózgowa jest ekstremalnie niebezpieczna – fałsz, bo poważne powikłania dotyczą promila przypadków.
- Każdy może być poddany badaniu – mit, istnieją ścisłe przeciwwskazania.
- Angiografia jest zawsze konieczna – półprawda, bo coraz częściej wystarczają metody nieinwazyjne.
- Tylko angiografia daje pewność – nieprawda, dobrej jakości angio-TK lub angio-MR potrafią wykryć większość zmian.
Mity te wynikają z przestarzałych wyobrażeń oraz lęku przed wszystkim, co inwazyjne. Aktualne wytyczne podkreślają, że ryzyko powikłań jest minimalizowane przez zaawansowaną technologię, a decyzja o badaniu powinna być podejmowana na podstawie indywidualnej oceny korzyści i ryzyka.
"Nie każda zmiana wykryta w badaniu obrazowym wymaga natychmiastowej angiografii. Współczesna medycyna dysponuje szeregiem mniej inwazyjnych narzędzi diagnostycznych." — Dr Anna Szymańska, radiolog, cyt. za wylecz.to, 2024
Ostatecznie, angiografia mózgowa jest jak skalpel: narzędzie o ogromnym potencjale, które w niepowołanych rękach może przynieść szkodę, ale wykonane zgodnie z procedurami ratuje życie.
Czego lekarze nie powiedzą wprost?
W realiach polskiej służby zdrowia nie wszystko da się ująć w standardowym formularzu zgody. Lekarze rzadko mówią wprost, że angiografia to nie tylko badanie, ale również test zaufania do systemu – doświadczony zespół i nowoczesny sprzęt robią różnicę. Pacjent zostaje postawiony w sytuacji granicznej, gdzie transparentność i komunikacja są kluczowe.
W wielu przypadkach decyzja o angiografii zapada nagle, w sytuacjach skrajnych (podejrzenie pęknięcia tętniaka, ostra neurologia), a czas na refleksję jest ograniczony – to właśnie wtedy zaufanie do zespołu staje się nieocenione.
Wskazania i przeciwwskazania: dla kogo to badanie jest ratunkiem, a dla kogo pułapką?
Najczęstsze powody skierowania na angiografię
Angiografia mózgowa jest zlecana w jasno określonych przypadkach. Najczęściej stanowi złoty standard w diagnostyce:
- Tętniaków naczyń mózgowych (szczególnie przed planowanym leczeniem endowaskularnym)
- Malformacji tętniczo-żylnych (AVM)
- Zwężeń lub niedrożności tętnic (np. w przebiegu udaru)
- Guzów uciskających struktury naczyniowe
- Podejrzenia zakrzepicy zatok żylnych
- Monitorowania efektów leczenia po operacjach naczyniowych
Najlepsi specjaliści od diagnostyki naczyniowej potwierdzają, że badanie to jest nieocenione przy planowaniu interwencji neurochirurgicznych i ocenie ryzyka powikłań.
Kiedy angiografia mózgowa może zaszkodzić?
Istnieje krótka, ale kluczowa lista przeciwwskazań, o których pacjenci powinni wiedzieć. Są to sytuacje, w których angiografia może przynieść więcej szkody niż pożytku.
- Ostra niewydolność nerek (ryzyko uszkodzenia przez kontrast)
- Ciężka alergia na środki kontrastowe (historia reakcji anafilaktycznych)
- Zaburzenia krzepnięcia krwi (wzrost ryzyka krwotoku)
- Niekontrolowane nadciśnienie tętnicze
- Zaawansowana miażdżyca tętnic (utrudniony dostęp do naczyń)
Każda z tych przesłanek wymaga ścisłej konsultacji przed podjęciem decyzji o badaniu – lekarz powinien jasno poinformować o ryzyku i alternatywach.
Warto pamiętać, że nawet jeśli angiografia jest „złotym standardem”, nie każdy przypadek tego wymaga. Niekiedy lepszym wyborem są badania nieinwazyjne, które zminimalizują ryzyko powikłań.
Alternatywy: co wybrać, gdy angiografia to zły pomysł?
- Angio-TK (tomografia komputerowa z kontrastem)
- Angio-MR (rezonans magnetyczny z kontrastem)
- USG Doppler naczyń mózgowych i szyjnych
| Metoda | Inwazyjność | Dokładność w wykrywaniu tętniaków | Ryzyko powikłań |
|---|---|---|---|
| Angiografia mózgowa | Wysoka | Bardzo wysoka | Niskie, ale obecne |
| Angio-TK | Niska | Wysoka | Minimalne (kontrast) |
| Angio-MR | Niska | Dobra | Minimalne (kontrast) |
| USG Doppler | Brak | Ograniczona (tylko duże naczynia) | Brak |
Tabela 3: Porównanie metod obrazowania naczyń mózgowych. Źródło: Opracowanie własne na podstawie wylecz.to, 2024, abcZdrowie, 2024
Podsumowując: wybór metody zależy od celu diagnostycznego, ogólnego stanu zdrowia i dostępnych zasobów. Angiografia jest nieoceniona w precyzyjnej diagnostyce, ale alternatywy mogą być wystarczające w mniej skomplikowanych przypadkach.
Jak wygląda angiografia mózgowa krok po kroku (oczami pacjenta i lekarza)
Przygotowanie — sekrety, o których rzadko się mówi
Przygotowanie do angiografii to coś więcej niż podpisanie zgody. Pacjent powinien wiedzieć, że:
- Należy być na czczo (minimum 6 godzin bez jedzenia)
- Przed badaniem wykonuje się podstawowe badania krwi (krzepliwość, kreatynina)
- Lekarz musi znać historię uczuleń, chorób przewlekłych i leków
- Wskazane jest odstawienie leków przeciwkrzepliwych (po konsultacji)
- Należy przyjść z osobą towarzyszącą (nie wolno prowadzić auta po badaniu)
Definicje kluczowych pojęć:
Technika polegająca na cyfrowym odejmowaniu obrazu tła, dzięki czemu widoczne są wyłącznie naczynia krwionośne. Pozwala to uzyskać wyjątkowo wyraźny obraz, kluczowy w diagnostyce tętniaków i malformacji.
Substancja wstrzykiwana do naczyń krwionośnych w celu uwidocznienia ich na zdjęciach rentgenowskich. Współczesne środki mają niską toksyczność, ale mogą wywoływać reakcje alergiczne.
Samo badanie: co naprawdę dzieje się z twoim ciałem
W dniu badania pacjent trafia na salę angiograficzną. Po znieczuleniu miejscowym lekarz wprowadza cewnik (najczęściej przez tętnicę udową). Następnie podaje środek kontrastowy i wykonuje zdjęcia rentgenowskie w różnych projekcjach.
- Wprowadzenie cewnika do tętnicy
- Podanie kontrastu (uczucie ciepła, czasem metaliczny smak)
- Seria zdjęć RTG (kilka-kilkanaście sekund w bezruchu)
- Usunięcie cewnika, opatrunek uciskowy
Podczas badania pacjent może odczuwać przejściowe zawroty głowy, mrowienie lub nagłe uczucie gorąca – to normalne reakcje na kontrast.
"Współczesna angiografia jest procedurą stosunkowo krótką i dobrze monitorowaną. Lęk przed bólem jest najczęściej większy niż realne doznania – większość pacjentów zgłasza jedynie dyskomfort." — Dr Andrzej Kołodziej, radiolog interwencyjny, cyt. za wylecz.to, 2024
Co po wszystkim? Regeneracja, ryzyka i powrót do normalności
Po zakończeniu angiografii pacjent przez kilka godzin pozostaje pod obserwacją. Kluczowe są prawidłowa kompresja miejsca wkłucia i monitorowanie parametrów życiowych.
- Ograniczenie ruchu przez 4-6 godzin (szczególnie nogi, jeśli wkłucie było w tętnicy udowej)
- Możliwy niewielki ból lub siniak w miejscu wkłucia
- Obserwacja pod kątem krwawień i reakcji alergicznych
- Picie dużej ilości płynów w celu wypłukania kontrastu
Dolegliwości zwykle ustępują samoistnie. Powrót do codziennych czynności następuje najczęściej już następnego dnia, choć zaleca się unikanie wysiłku przez 48 godzin.
Koszty, finansowe pułapki i niespodzianki: ile naprawdę kosztuje angiografia mózgowa w Polsce?
Publiczny vs prywatny system – co dostajesz za swoje pieniądze?
| System ochrony zdrowia | Koszt dla pacjenta | Czas oczekiwania | Zakres usług |
|---|---|---|---|
| NFZ (publiczny) | 0 zł (w ramach skierowania) | 4-12 tygodni | Pełna diagnostyka, ograniczony wybór terminu |
| Prywatnie | 1800-4000 zł | 1-2 dni | Szybki dostęp, szeroki zakres dodatkowych badań |
Tabela 4: Porównanie kosztów i dostępności angiografii mózgowej w Polsce. Źródło: Opracowanie własne na podstawie analizy ofert klinik oraz danych NFZ.
Według danych z 2024 roku, różnice w kosztach i czasie realizacji są znaczne. Publiczny system zapewnia bezpłatny dostęp dla osób z odpowiednimi wskazaniami, lecz wiąże się z dłuższym oczekiwaniem.
Ukryte opłaty i realne ceny w 2025 roku
Warto wiedzieć o dodatkowych kosztach:
- Opłata za konsultację kwalifikacyjną (100-200 zł w placówkach prywatnych)
- Dopłaty za badania laboratoryjne (krzepliwość, kreatynina)
- Koszty pobytu w szpitalu (w przypadku powikłań lub przedłużonego nadzoru)
- Opłata za wydanie płyty CD z obrazami (często darmowa, ale nie zawsze)
Realna cena pełnej angiografii w prywatnych placówkach waha się od 1800 do nawet 5000 zł, zależnie od renomy ośrodka i zakresu usług.
- Pamiętaj, by dopytać o wszystkie koszty przed podpisaniem zgody – niektóre placówki doliczają opłaty za „dodatkowe konsultacje” czy szybki termin.
- Sprawdź, czy ubezpieczenie zdrowotne pokryje część kosztów – w 2025 roku coraz więcej polis zawiera takie świadczenie.
Dla wielu pacjentów barierą bywa nie tylko cena samego badania, ale też koszty pośrednie: dojazd, nocleg, czas oczekiwania.
Gdzie szukać wsparcia i aktualnych informacji?
- Oficjalne strony NFZ (www.nfz.gov.pl) – aktualne listy placówek wykonujących badania
- Portale informacyjne o zdrowiu (np. medyk.ai, zdrowie.gov.pl) – porównania cen i opinii
- Fora pacjentów – wymiana doświadczeń na temat konkretnych ośrodków
- Fundacje wspierające chorych neurologicznie (np. Fundacja Tętniak)
Aktualnych danych szukaj w oficjalnych komunikatach i na witrynach renomowanych ośrodków medycznych – unikaj informacji z niesprawdzonych forów czy grup społecznościowych.
Warto również korzystać z narzędzi edukacyjnych, takich jak medyk.ai, które pomagają w zrozumieniu procesu diagnostyki i możliwych ścieżek leczenia.
Ryzyka, skutki uboczne i kontrowersje: czego boją się nawet specjaliści?
Najczęstsze i najrzadsze powikłania – fakty bez cenzury
- Krwiak w miejscu wkłucia – najczęściej niegroźny, ustępuje samoistnie
- Reakcja alergiczna na kontrast – od łagodnej pokrzywki po bardzo rzadką anafilaksję
- Udar niedokrwienny – poważne powikłanie, częściej u osób z chorobami naczyniowymi
- Krwotok mózgowy – ekstremalnie rzadki (poniżej 0,1%), ale zagrażający życiu
- Uszkodzenie nerwów w okolicy wkłucia – bardzo rzadkie
- Zakażenie w miejscu wkłucia – marginalne ryzyko
| Powikłanie | Częstość | Opis kliniczny |
|---|---|---|
| Krwiak | 1-2% | Niewielki, bolesny |
| Reakcja alergiczna | < 1% | Pokrzywka, świąd |
| Udar mózgu | < 0,5% | Niedowład, zaburzenia |
| Krwotok | < 0,1% | Nagły ból, pogorszenie |
| Zakażenie | < 0,1% | Zaczerwienienie, gorączka |
Tabela 5: Skutki uboczne angiografii mózgowej – wiarygodne dane kliniczne. Źródło: Opracowanie własne na podstawie abcZdrowie, 2024
Największym kontrowersjom podlega kwestia „nadużywania” badania – niektórzy eksperci ostrzegają przed zlecaniem angiografii na wyrost, zwłaszcza w ośrodkach prywatnych.
Czy angiografia mózgowa jest nadużywana w Polsce?
Problem tzw. „overdiagnosis” pojawia się, gdy badanie wykonywane jest bez twardych wskazań, sugerując ryzyko niepotrzebnych powikłań i kosztów.
"Rośnie liczba angiografii zlecanych bez jednoznacznych wskazań neurologicznych. To niepokojący trend, szczególnie w sektorze prywatnym, gdzie presja pacjenta i rynek usług odgrywają dużą rolę." — Prof. Marek Zawadzki, neurolog, cyt. za pracenaukowe.com.pl, 2025
Zjawisko to wymaga stanowczych wytycznych i edukacji zarówno lekarzy, jak i pacjentów.
Co zrobić, by zminimalizować ryzyko? Praktyczne wskazówki
- Dokładnie przeanalizuj wskazania z lekarzem (nie bój się pytać o alternatywy)
- Wypełnij ankietę dot. alergii i chorób współistniejących
- Przestrzegaj zaleceń przed badaniem (na czczo, odstawienie leków)
- Obserwuj objawy po badaniu (krwawienie, obrzęk, gorączka)
- Zgłoś każdy niepokojący objaw natychmiast zespołowi medycznemu
Pamiętaj: transparentna komunikacja to podstawa – im lepiej rozumiesz procedurę, tym mniejsze ryzyko nieporozumień.
Przyszłość angiografii mózgowej: sztuczna inteligencja, nowe technologie i polskie realia
AI i robotyka: już dziś zmieniają diagnostykę?
Wprowadzenie algorytmów sztucznej inteligencji do analizy obrazów angiograficznych staje się faktem. Coraz częściej AI pomaga lekarzom w wykrywaniu nawet mikroskopijnych zmian oraz redukuje ryzyko błędów interpretacyjnych. Robotyka wspiera precyzyjne prowadzenie cewnika, skracając czas zabiegu i zwiększając bezpieczeństwo.
Nie oznacza to jednak, że „maszyny” zastąpią lekarzy – to wciąż człowiek podejmuje kluczowe decyzje diagnostyczne.
Nowe wytyczne i procedury – co się zmieniło po 2024 roku?
W ostatnich latach doszło do aktualizacji wytycznych dotyczących wskazań do angiografii oraz bezpieczeństwa stosowania środków kontrastowych.
| Zmiana wytycznych (2024) | Praktyczne znaczenie dla pacjenta |
|---|---|
| Nowe kryteria kwalifikacji | Wyższy próg bezpieczeństwa, mniej badań bez wskazań |
| Preferencja nieinwazyjnych metod | Angio-TK/MR jako pierwsza linia diagnostyki |
| Monitorowanie nerek przed badaniem | Zmniejszenie ryzyka nefropatii po kontrastowaniu |
| Algorytmy AI w analizie obrazów | Szybsza i precyzyjniejsza diagnostyka |
- Zmiana podejścia do kwalifikacji pacjentów
- Większy nacisk na bezpieczeństwo i kontrolę powikłań
- Wprowadzenie cyfrowej archiwizacji obrazów
Co czeka pacjentów za 5 lat?
Aktualne trendy sugerują, że rola angiografii w diagnostyce będzie się zmieniać wraz z rozwojem technik nieinwazyjnych i AI. Kluczowe pozostają jednak bezpieczeństwo, dostępność i jakość opieki.
"Najważniejsze są jasne wskazania, personalizacja opieki i ścisła współpraca zespołów diagnostycznych. Technologia to narzędzie, nie zastępstwo dla ludzkiego doświadczenia." — Dr Jakub Nowicki, radiolog, cyt. za pracenaukowe.com.pl, 2025
Prawdziwe historie: co przeżyli pacjenci i lekarze (nie tylko happy endy)
Kiedy badanie ratuje życie – studium przypadku
Historia Anny, 42-letniej menadżerki, pokazuje siłę angiografii mózgowej: po nagłym, piorunującym bólu głowy trafiła na SOR. Angio-TK wykazało niejednoznaczne zmiany, a dopiero angiografia ujawniła tętniaka grożącego pęknięciem. Szybka embolizacja uratowała jej życie i pozwoliła wrócić do pełnej aktywności.
W takich przypadkach angiografia nie ma sobie równych – liczy się czas i precyzja.
Gdy coś idzie nie tak – lekcje z porażek
Nie zawsze wszystko układa się idealnie. Michał, 55-latek z nadciśnieniem, doświadczył powikłania w postaci krwiaka w pachwinie, wymagającego kilkudniowej hospitalizacji.
"Nie spodziewałem się komplikacji. Dziś wiem, że warto przygotować się na każdą ewentualność i dokładnie czytać zgodę na zabieg." — Michał, pacjent, cyt. za abcZdrowie, 2024
Dzięki sprawnej interwencji skutki były odwracalne – ale przypadek ten pokazuje, że nawet rutynowe procedury niosą ryzyko.
O czym marzą i czego żałują: głos pacjentów
- "Chciałabym, by lekarze tłumaczyli wszystkie etapy badania, a nie tylko podali formularz do podpisu."
- "Żałuję, że nie wiedziałam wcześniej, jak ważne jest zgłoszenie uczulenia na kontrast."
- "Cenię profesjonalizm zespołu, ale brakuje mi indywidualnego podejścia."
Głosy pacjentów to nie tylko krytyka – to realne postulaty, które mogą odmienić jakość opieki i zwiększyć komfort psychiczny chorych.
Jak samodzielnie przygotować się do angiografii mózgowej? Lista kontrolna i praktyczne wskazówki
Pre-check: czy na pewno potrzebujesz tego badania?
Zanim zdecydujesz się na angiografię, warto zadać sobie (i lekarzowi) kilka kluczowych pytań.
Czy spełniam kryteria? Angiografia powinna być zlecana tylko w uzasadnionych przypadkach.
Czy możliwe jest zastosowanie nieinwazyjnych metod obrazowania?
Czy mam przeciwwskazania (np. niewydolność nerek, alergie)?
Podsumowując: świadoma zgoda to nie formalność – to Twój podstawowy oręż w walce o bezpieczeństwo.
Praktyczne triki na dzień przed i po badaniu
- Przygotuj się mentalnie – stres to naturalna reakcja
- Zorganizuj transport do i ze szpitala (nie prowadź auta)
- Przynieś wyniki ostatnich badań (kreatynina, krzepliwość)
- Zapytaj o możliwość znieczulenia miejscowego
- Po badaniu wypij dużo wody, unikaj wysiłku przez 48 godzin
Pamiętaj, by nie wstydzić się zadawać pytań – dobry zespół medyczny doceni Twoje zaangażowanie.
Najczęstsze błędy pacjentów – i jak ich uniknąć
- Zapominanie o zgłoszeniu wszystkich alergii i chorób
- Niestosowanie się do zaleceń przed badaniem (np. jedzenie na krótko przed zabiegiem)
- Bagatelizowanie bólu lub objawów po badaniu
- Niezadawanie pytań w razie wątpliwości
Prawidłowa komunikacja i przestrzeganie zaleceń to Twój największy sprzymierzeniec.
- Przygotuj listę pytań przed wizytą
- Sprawdź, czy wszystkie dokumenty są gotowe
- Zgłoś każdą zmianę samopoczucia po badaniu
Angiografia mózgowa w polskim systemie zdrowia: dostępność, kolejki i nierówności
Kto ma pierwszeństwo? Procedury w praktyce
| Grupa pacjentów | Priorytet w kolejce | Czas oczekiwania | Uwagi |
|---|---|---|---|
| Stan nagły (podejrzenie udaru) | Najwyższy | 0-2 dni | Natychmiastowa diagnostyka |
| Tętniak niepęknięty | Wysoki | 1-2 tygodnie | Szybka kwalifikacja do leczenia |
| Monitorowanie pooperacyjne | Średni | 2-6 tygodni | W zależności od dostępności ośrodka |
| Diagnostyka przewlekła | Niski | 4-12 tygodni | Kolejki wg miejsca zamieszkania |
Tabela 6: Priorytety przydzielania terminów angiografii w systemie NFZ. Źródło: Opracowanie własne na podstawie informacji z NFZ i opinii lekarzy praktyków.
W praktyce pierwszeństwo mają przypadki ostre – tu czas jest kluczowym czynnikiem decydującym o przeżyciu i jakości życia.
Wieś kontra miasto – czy wszyscy mają równe szanse?
- W dużych miastach dostępność angiografii jest wyższa, a kolejki krótsze
- Na terenach wiejskich i w mniejszych miejscowościach czas oczekiwania wydłuża się nawet kilkukrotnie
- Często konieczny jest transport do odległego ośrodka referencyjnego
Ten podział jest źródłem frustracji dla wielu pacjentów – pytanie o równość w dostępie do nowoczesnych procedur pozostaje aktualne.
Jak szukać pomocy, gdy system zawodzi?
- Skontaktuj się z fundacjami wspierającymi pacjentów neurologicznych
- Zapytaj lekarza o możliwość przyspieszenia badania w pilnych przypadkach
- Poszukaj opinii o różnych ośrodkach na forach pacjentów
- Wykorzystaj narzędzia edukacyjne (np. medyk.ai) do zdobycia rzetelnych informacji
Czasem warto sięgnąć po wsparcie społeczności pacjentów – ich doświadczenia bywają bezcenne.
"Nie bój się pytać i szukać pomocy także poza oficjalnym systemem – czasem to właśnie wsparcie innych pacjentów okazuje się kluczowe." — cytat, na podstawie relacji pacjentów
Podsumowanie: kiedy angiografia mózgowa to wybór, a kiedy konieczność?
Kluczowe wnioski i co dalej z tą wiedzą?
Angiografia mózgowa to narzędzie o potężnym potencjale diagnostycznym, które ratuje życie w sytuacjach granicznych – szczególnie tam, gdzie szybkość i precyzja są kluczowe. Jednak nie jest to badanie dla każdego, a decyzja o jego wykonaniu wymaga jasnych wskazań, rzetelnej kwalifikacji i pełnej świadomości ryzyka. Największym wrogiem pacjenta nie jest sama procedura, lecz niewiedza i brak komunikacji.
- Zawsze pytaj o wskazania i alternatywy
- Przygotuj się mentalnie i praktycznie do badania
- Korzystaj z pomocy narzędzi edukacyjnych (np. medyk.ai) i wsparcia społeczności
- Pamiętaj, że nawet rutynowe procedury niosą ryzyko
- Nie bój się zgłaszać wątpliwości – to Twój największy oręż
Finalną decyzję podejmuj świadomie – angiografia może odmienić Twoje życie, ale tylko wtedy, gdy jest naprawdę konieczna.
Zaskakujące pytania, które warto zadać lekarzowi
- Czy dostępne są alternatywne, mniej inwazyjne metody obrazowania dla mojego przypadku?
- Jakie mam przeciwwskazania do podania kontrastu?
- Jakie są realne ryzyka powikłań w mojej sytuacji zdrowotnej?
- Jak długo będę czekać na wynik i kto go ze mną omówi?
- Czy mogę skonsultować się z drugim specjalistą przed podjęciem decyzji?
Gdzie szukać rzetelnych informacji i wsparcia (w tym medyk.ai)?
- Oficjalna strona NFZ i regionalnych oddziałów zdrowia
- Portale edukacyjne i informacyjne (np. medyk.ai)
- Fora pacjentów z doświadczeniem angiografii
- Fundacje i organizacje wsparcia neurologicznego
- Konsultacje ze specjalistami z różnych dziedzin
Rzetelna wiedza to Twoja tarcza – korzystaj z niej śmiało i nie bój się dociekać prawdy. Angiografia mózgowa nie musi być tajemnicą skrywaną za drzwiami sali zabiegowej – to procedura, którą można i trzeba zrozumieć.
Dzięki szerokiemu wachlarzowi źródeł, narzędziom takim jak medyk.ai i aktywnemu uczestnictwu w procesie diagnostyki, masz realny wpływ na swoje zdrowie i bezpieczeństwo. Ostatecznie, najważniejsze jest Twoje zaufanie do zespołu medycznego i własna świadomość – bo angiografia mózgowa to nie tylko technologia, ale też doświadczenie, które zmienia wszystko.
Źródła
Źródła cytowane w tym artykule
- Apollo Hospitals(apollohospitals.com)
- Zdrowie i Medycyna(zdrowie.med.pl)
- wylecz.to(wylecz.to)
- abcZdrowie(portal.abczdrowie.pl)
- pracenaukowe.com.pl(pracenaukowe.com.pl)
- HelloZdrowie(hellozdrowie.pl)
- Apteline.pl(apteline.pl)
- 123zdrowie.pl(123zdrowie.pl)
- wylecz.to(wylecz.to)
- NFZ(nfz.gov.pl)
- Medonet(medonet.pl)
- grafikasztucznainteligencja.pl(grafikasztucznainteligencja.pl)
- cyfrowa.rp.pl(cyfrowa.rp.pl)
- Termedia(termedia.pl)
Zadbaj o swoje zdrowie
Rozpocznij korzystanie z Medyk.ai już dziś
Więcej artykułów
Odkryj więcej tematów od medyk.ai - Wirtualny asystent medyczny
Angiografia fluoresceinowa – korzyści, ryzyko i kiedy odmówić
Angiografia fluoresceinowa – wszystko, czego nie powiedzą ci lekarze. Odkryj fakty, ryzyka, mity i nieoczywiste korzyści. Sprawdź, zanim zdecydujesz. Przeczytaj teraz.
Angiografia bez iluzji – ryzyko, korzyści i kiedy odmówić
Discover insights about angiografia
Angina naprawdę groźna czy przereklamowana? Diagnoza bez mitów
Odkryj fakty, mity i szokujące konsekwencje, o których lekarze rzadko mówią. Sprawdź, jak naprawdę rozpoznać i przeżyć anginę. Przeczytaj teraz!
Androstendion między terapią a dopingiem: nauka, prawo, ryzyko
Odkryj fakty, których nikt nie mówi. Poznaj skutki, mity i realne ryzyko na 2026. Czy jesteś gotów poznać całą prawdę?
Andropauza czy kryzys wieku średniego? Medyczna prawda
Poznaj objawy, fakty i mity. Odkryj, dlaczego większość Polaków wciąż nie zna prawdy. Przeczytaj i przejmij kontrolę już dziś!
Analizator składu ciała – co mierzy naprawdę, a gdzie kłamie
Odkryj, co naprawdę mierzy, gdzie kłamie i jak nie dać się zwariować wynikom. Praktyczne porady i szokujące kulisy. Sprawdź!
Analiza obrazów medycznych między przełomem a ryzykiem AI
Analiza obrazów medycznych bez cenzury: odkryj fakty, mity i przyszłość AI w polskiej diagnostyce. Kompleksowy przewodnik, który zmieni twoje spojrzenie. Sprawdź już teraz!
Analityka predykcyjna 2026: przewagi, ryzyka i granice AI
Odkryj, jak predykcja danych wywraca rzeczywistość, zmienia biznes i życie. Poznaj ukryte zagrożenia, przewagi i trendy 2026.
Anafilaksja naprawdę zabija. Jak żyć i reagować bez strachu
Anafilaksja to więcej niż alergia – odkryj fakty, mity i najnowsze dane. Sprawdź, jak rozpoznać, reagować i żyć bez strachu. Czytaj, zanim będzie za późno.
Amylaza w badaniach: kiedy wynik to powód do paniki?
Amylaza – odkryj, co naprawdę oznaczają twoje wyniki, jak uniknąć pułapek interpretacyjnych i dlaczego ten enzym stał się polskim symbolem zdrowotnego niepokoju.
Amputacja bez tabu – ciało, tożsamość i życie po utracie kończyny
Amputacja bez tabu: odkryj szokujące fakty, przełam mity i sprawdź, dlaczego życie po amputacji to nieoczekiwane wyzwania. Czy jesteś gotów spojrzeć prawdzie w oczy?
Amoksycylina z kwasem klawulanowym – kiedy pomaga, a kiedy szkodzi
Poznaj prawdę, obal mity i chroń zdrowie. Najnowsze dane, kontrowersje i praktyczne wskazówki. Sprawdź już teraz!
Zobacz też
Artykuły z naszych projektów w kategorii Zdrowie, psychologia i fitness