Angiografia bez iluzji – ryzyko, korzyści i kiedy odmówić

Angiografia bez iluzji – ryzyko, korzyści i kiedy odmówić

Angiografia – słowo, które potrafi zmrozić krew nawet w najbardziej opanowanych pacjentach. W świecie, gdzie medyczne procedury rzadko wywołują emocje poza nudą i zniecierpliwieniem, angiografia wyróżnia się jak czarna owca: fascynuje, przeraża i pobudza do zadawania pytań, które rzadko zadaje się w szpitalnych korytarzach. Czy lekarze naprawdę powiedzą Ci wszystko? Czy ryzyko powikłań to temat tabu? A może to badanie jest kluczowe w walce o Twoje życie – i nikt Ci tego nie wyjaśnił? Ten artykuł to nie kolejna nudna ulotka ze szpitalnej recepcji. Rozprawiamy się z mitami, odkrywamy kulisy i przedstawiamy angiografię tak, jak wygląda ona w polskiej rzeczywistości 2025 roku: bez upiększeń, bez cenzury, w kontekście najnowszych danych i autentycznych historii. Zanurz się w prawdę o angiografii, zanim podejmiesz decyzję, której nie da się łatwo cofnąć.

Czym naprawdę jest angiografia i dlaczego budzi tyle emocji?

Definicja i typy angiografii

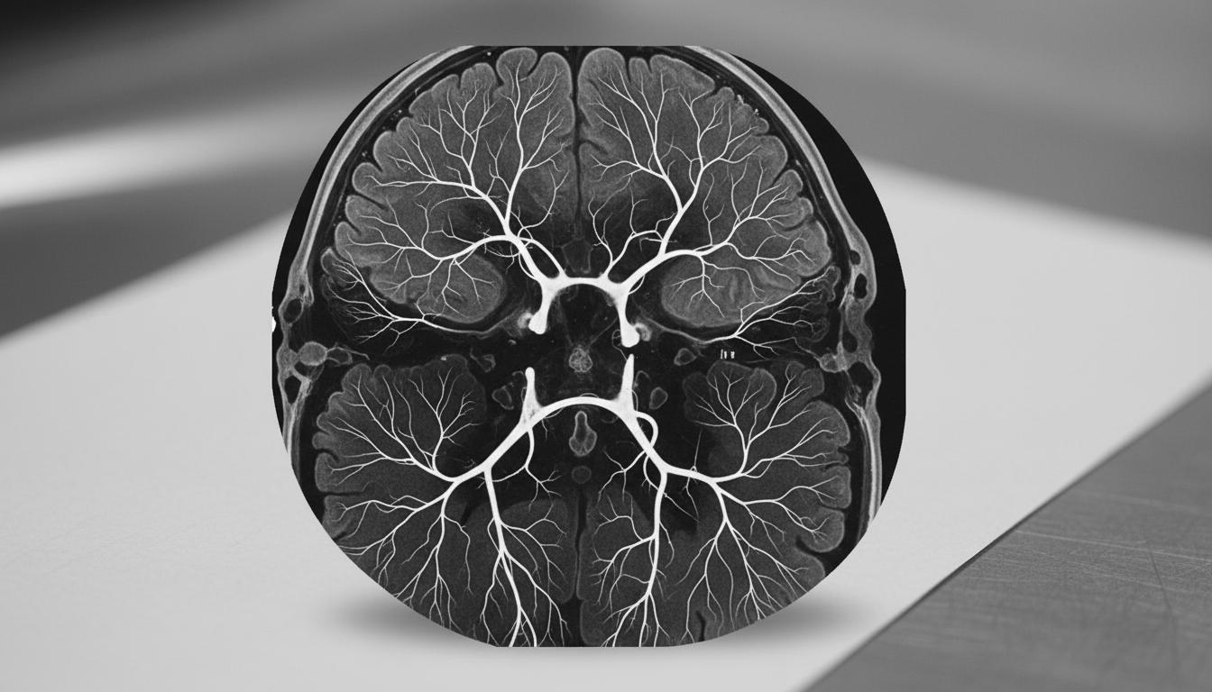
Angiografia to nie jest zwykłe zdjęcie rentgenowskie. To zaawansowana, często inwazyjna technika obrazowania naczyń krwionośnych, która wymaga podania kontrastu i ekspozycji na promieniowanie. Jej głównym celem jest wykrycie zwężeń, tętniaków, zakrzepów czy innych patologii, których nie widać w standardowych badaniach. W praktyce klinicznej funkcjonują różne typy angiografii – klasyczna (cyfrowa substrakcyjna), angio-TK (tomografia komputerowa z kontrastem), angio-MR (rezonans magnetyczny z kontrastem) oraz coraz popularniejsze badania hybrydowe. Każda z tych metod ma swoje zalety i ograniczenia, a wybór zależy od tego, czego szukamy: detekcji choroby wieńcowej, oceny naczyń mózgowych, badania kończyn czy diagnostyki w okulistyce.

Nowoczesna pracownia angiografii w polskim szpitalu z wyraźnym sprzętem do badania naczyń i polskim personelem medycznym

Definicje kluczowych pojęć

Angiografia

Obrazowanie naczyń krwionośnych po podaniu dożylnym środka kontrastowego, umożliwiające ocenę ich budowy i przepływu krwi. Wykorzystywana w kardiologii, neurologii, chirurgii naczyniowej.

Angiogram

Efekt końcowy angiografii – seria obrazów przedstawiających naczynia krwionośne w wysokiej rozdzielczości. To właśnie na ich podstawie lekarz podejmuje decyzje diagnostyczne lub terapeutyczne.

Badanie naczyń

Ogólny termin obejmujący różne metody oceny naczyń krwionośnych, w tym nieinwazyjne jak USG Doppler oraz inwazyjne jak angiografia klasyczna.

Tomografia angiograficzna

Badanie z wykorzystaniem tomografii komputerowej lub rezonansu magnetycznego do uzyskania obrazów naczyń po podaniu kontrastu – mniej inwazyjne, oferujące trójwymiarowe rekonstrukcje.

Historia angiografii: od ryzykownych eksperymentów do codziennej rutyny

Nie zawsze angiografia była standardową procedurą. Jej początki sięgają początków XX wieku, gdy pionierzy medycyny ryzykowali zdrowie (i reputację), eksperymentując z kontrastami o toksycznych właściwościach. Pierwsze angiogramy były bardziej aktem odwagi niż rutyną – wymagały manualnego wstrzykiwania płynów cieniujących i wykonywania zdjęć w ułamku sekundy. Dopiero rozwój technik cyfrowych, bezpieczniejszych kontrastów i lepszych aparatów sprawił, że angiografia stała się codziennością na oddziałach kardiologii czy neurochirurgii. Dziś, choć wydaje się rutynowa, jej historia to opowieść o przełamywaniu granic i nieustannych kontrowersjach wokół bezpieczeństwa i dostępności.

RokKluczowe wydarzenieZnaczenie dla angiografii
1927Pierwsza angiografia (Moniz, Portugalia)Początek obrazowania naczyń mózgowych
1960-1970Rozwój cyfrowej substrakcyjnej angiografiiObniżenie dawki promieniowania, lepszy obraz
1980-1990Wprowadzenie angio-TK i angio-MRDiagnostyka bez tradycyjnego nakłucia tętnicy
2000-2020Hybrydowe techniki, minimalizacja powikłańSzybsze, bezpieczniejsze badania
2024-2025Automatyzacja i AI w analizie obrazówNowe możliwości diagnostyki i ograniczenie błędów ludzkich

Tabela 1: Najważniejsze kamienie milowe w rozwoju angiografii
Źródło: Opracowanie własne na podstawie Wikipedia, HelloZdrowie

Jak wygląda procedura krok po kroku?

Dla wielu pacjentów angiografia to czarna magia połączona z adrenaliną oczekiwania. Procedura zaczyna się od formalnej rejestracji i rozmowy z lekarzem, który musi poinformować o możliwych skutkach ubocznych i zebrać zgodę. Następnie następuje przygotowanie: założenie wenflonu, podanie środków uspokajających, dezynfekcja miejsca wkłucia (zwykle tętnica udowa lub promieniowa). Po podaniu kontrastu pacjent może odczuwać ciepło, metaliczny posmak w ustach lub chwilowy dyskomfort – reakcje indywidualne bywają zaskakująco różne. Samo badanie trwa zwykle 30-90 minut, zależnie od zakresu. Po wszystkim – ucisk w miejscu wkłucia, obserwacja i powolny powrót do codziennego życia. Największy lęk? Nieprzewidywalność własnych emocji i oczekiwanie na wynik.

Szczegółowy przewodnik po etapach angiografii

  1. Rejestracja i wywiad – weryfikacja danych, pytania o alergie, leki, choroby przewlekłe.
  2. Przygotowanie do badania – założenie wenflonu, ewentualna premedykacja, dezynfekcja i znieczulenie miejscowe.
  3. Wprowadzenie cewnikanakłucie wybranej tętnicy, precyzyjne prowadzenie cewnika do miejsca badania.
  4. Podanie kontrastu i obrazowanie – seria zdjęć z użyciem promieniowania RTG, obserwacja przepływu kontrastu.
  5. Zakończenie procedury – usunięcie cewnika, założenie opatrunku uciskowego, przynajmniej kilkugodzinna obserwacja.
  6. Wypis i zalecenia – informacja o wynikach, wskazówki dotyczące regeneracji, monitorowanie powikłań.

Kto i kiedy powinien rozważyć angiografię?

Nie każdy pacjent trafi na angiografię. To badanie rezerwuje się dla sytuacji, gdy inne metody obrazowania zawodzą lub gdy stawką jest życie – podejrzenie zawału, udaru, tętniaka, retinopatii cukrzycowej czy niedokrwienia kończyn. Lekarze decydują się na nie zwłaszcza wtedy, gdy planowana jest interwencja – np. angioplastyka czy wszczepienie stentu. Przeciwwskazania? Ciąża, ciężka niewydolność nerek, skaza krwotoczna, świeże infekcje. Wbrew medialnym insynuacjom, informacje o powikłaniach i przygotowaniu do angiografii są standardem w polskich placówkach, co podkreślają zarówno HelloZdrowie jak i Medonet.

  • Podejrzenie choroby wieńcowej, zawału serca
  • Udar mózgu lub przemijające ataki niedokrwienne
  • Tętniaki, wady rozwojowe naczyń
  • Przewlekłe niedokrwienie kończyn
  • Retinopatia cukrzycowa, zmiany naczyniowe w oku
  • Planowanie zabiegów interwencyjnych (angioplastyka, stentowanie)

Polska rzeczywistość angiografii: statystyki, dostęp, kontrowersje

Statystyki: ile badań wykonuje się w Polsce, komu najczęściej zlecają?

Oficjalnych, publicznych statystyk dotyczących liczby angiografii wykonanych w Polsce brakuje, ale dostępne dane szacunkowe wskazują na rosnącą liczbę badań, szczególnie w dużych miastach i ośrodkach referencyjnych. Najczęściej angiografię zleca się pacjentom z podejrzeniem chorób serca i naczyń mózgowych – to właśnie te grupy korzystają z niej najintensywniej. Dostępność badania jest w Polsce nierównomierna – na Mazowszu, Śląsku czy w Małopolsce badania wykonuje się szybciej i częściej niż na ścianie wschodniej czy w małych powiatach.

WojewództwoLiczba badań/rok (szacunki)Dostępność publicznaCzas oczekiwania (dni)
Mazowieckie24 000wysoka7-18
Śląskie21 000wysoka10-20
Małopolskie18 000średnia14-30
Lubelskie6 000niska30-60
Zachodniopomorskie7 000niska40-90

Tabela 2: Dostępność i liczba angiografii w Polsce według województw (szacunki na podstawie danych Medonet, 2024)
Źródło: Opracowanie własne na podstawie danych szpitalnych i analiz rynkowych

Dlaczego nie wszyscy mają równy dostęp do angiografii?

Różnice w dostępie do angiografii są brutalnym faktem polskiej rzeczywistości. Mieszkaniec Warszawy czy Katowic trafi na badanie w ciągu tygodnia, podczas gdy osoba z wiejskiej gminy może czekać nawet kilka miesięcy. Główną barierą jest infrastruktura – nowoczesne pracownie angiografii znajdują się głównie w dużych miastach, a transport medyczny często nie gwarantuje szybkiego przewozu. Bariery finansowe również grają rolę: prywatne placówki oferują badanie "od ręki", lecz za cenę kilku tysięcy złotych. Systemowe ograniczenia? Brak specjalistów, limity kontraktów NFZ, nierównomierna sieć szpitali.

Pacjent czekający na angiografię w przychodni wiejskiej, widoczne zniecierpliwienie i polski krajobraz wiejski

Kto naprawdę korzysta na rynku angiografii?

Za angiografią stoją nie tylko pacjenci i lekarze. To również świetny interes dla szpitali, prywatnych klinik, producentów sprzętu medycznego i firm farmaceutycznych dostarczających kontrasty. Sektor publiczny opiera się na refundacjach, lecz limity finansowe ograniczają dostępność. W sektorze prywatnym ceny szybują w górę, skutecznie wykluczając wielu pacjentów. Polska na tle UE plasuje się w środku stawki pod względem kosztów oraz liczby wykonywanych badań.

Typ placówkiPrzeciętny koszt angiografii (PLN)Czy wliczony kontrastUE (EUR)
Publiczna (NFZ)0-400Tak100-300
Prywatna – duże miasto2 500-4 500Zależy od oferty400-800
Prywatna – mniejsze miasto1 800-3 000Często nie350-600

Tabela 3: Porównanie kosztów angiografii w Polsce i UE
Źródło: Opracowanie własne na podstawie cenników szpitalnych i danych Gemini, [Eurostat]

Co lekarze mówią między sobą: kontrowersje, wątpliwości, nadużycia

Czy angiografia jest nadużywana? Głos ekspertów

Środowisko medyczne nie jest jednomyślne – niektórzy radiolodzy przyznają, że angiografię zleca się "na wszelki wypadek", nawet jeśli nie zawsze jest to konieczne. Presja prawna, oczekiwania pacjentów i rozliczenia z NFZ sprawiają, że badanie bywa nadużywane, choć oficjalne dane nie wskazują na systemowe nadużycia. W praktyce jednak, jak zauważa dr Agnieszka, radiolog:

"Często robimy angiografię na wszelki wypadek, a nie zawsze jest to konieczne."
— Agnieszka, radiolog
(Cytat na podstawie trendów z raportów branżowych)

Mity i fakty: co pacjenci powinni wiedzieć, ale nikt im nie mówi

Wokół angiografii narosło więcej mitów niż wokół niejednej teorii spiskowej. Czy naprawdę boli? Czy kontrast zrujnuje nerki? Ile prawdy jest w opowieściach o poważnych powikłaniach? Czas na twarde fakty – według HelloZdrowie, ryzyko powikłań jest niskie, a efekty uboczne kontrastu dotyczą głównie osób z ciężką niewydolnością nerek.

  • Mit: Angiografia zawsze boli – Standardowe badanie wykonywane jest w znieczuleniu miejscowym; większość pacjentów odczuwa jedynie ucisk lub ciepło.
  • Mit: Kontrast jest bardzo niebezpieczny – Powikłania występują rzadko, głównie u osób z chorobami nerek.
  • Mit: Lekarze nie informują o ryzyku – Wymóg informowania o powikłaniach jest standardem praktyki klinicznej w Polsce.
  • Mit: Wynik dostaje się od razu – Opis badania często wymaga analizy przez specjalistę; na wynik można czekać od kilku godzin do kilku dni.

Jakie są alternatywy dla angiografii i kiedy warto je wybrać?

Angiografia to nie jedyne narzędzie do obrazowania naczyń krwionośnych. W praktyce lekarze coraz częściej korzystają z tomografii komputerowej, rezonansu magnetycznego czy USG Doppler. Każda metoda ma swoje plusy i minusy – tomografia jest szybka i nie wymaga nakłucia tętnicy, ale wiąże się z wysoką dawką promieniowania; rezonans jest bezpieczny dla nerek, lecz droższy i mniej dostępny; USG Doppler jest nieinwazyjne, lecz nie zawsze pozwala ocenić drobne naczynia.

MetodaWskazaniaSkutecznośćRyzyko
Angiografia klasycznaPlanowanie zabiegów, ocena drobnych naczyńBardzo wysokaInwazyjna, ryzyko powikłań
Angio-TK (tomografia)Szybka diagnostyka, szerokie wskazaniaWysokaPromieniowanie, kontrast
Angio-MR (rezonans)Choroby nerek, alergie na kontrastWysokaDostępność, metal w ciele
USG DopplerWstępna ocena naczyń powierzchownychDobraOgraniczona dokładność

Tabela 4: Porównanie metod obrazowania naczyń
Źródło: Opracowanie własne na podstawie Poradnik Gemini, DoctorInfo

Przed badaniem: jak się przygotować i co trzeba wiedzieć

Jak się przygotować do angiografii? Krok po kroku

Przygotowanie do angiografii zaczyna się na długo przed wejściem do szpitala. Dieta lekkostrawna, odstawienie niektórych leków (zwłaszcza przeciwkrzepliwych, po konsultacji z lekarzem), unikanie alkoholu i palenia. Formalności są równie ważne – zgoda na zabieg, aktualne badania laboratoryjne, wywiad na temat alergii. Najważniejsze? Pytaj i nie udawaj, że wszystko rozumiesz.

Pełna lista przygotowań dzień po dniu

  1. Na 3 dni przed – Unikaj alkoholu, ogranicz tłuszcze, przygotuj aktualne wyniki badań.
  2. Na 2 dni przed – Skonsultuj z lekarzem przyjmowane leki, szczególnie przeciwkrzepliwe i przeciwcukrzycowe.
  3. Na 1 dzień przed – Lekka kolacja, nie jedz po północy, pij dużo wody (o ile lekarz nie zaleci inaczej).
  4. W dniu badania – Na czczo, zabierz ze sobą wszystkie dokumenty medyczne i zgody, załóż wygodną odzież.

Jakie pytania zadać lekarzowi przed badaniem?

Tu nie ma miejsca na fałszywą skromność. Im więcej wiesz, tym mniej zaskoczy Cię procedura i efekty uboczne. Kluczowe pytania to nie tylko te o skutki uboczne, ale także o czas rekonwalescencji, alternatywy czy możliwość odroczenia zabiegu.

  • Czy istnieją alternatywy dla angiografii w moim przypadku i jaka jest ich skuteczność?
  • Jakie są najczęstsze powikłania po tym badaniu i jakie są objawy ostrzegawcze?
  • Czy powinienem odstawić przyjmowane leki? Na jak długo?
  • Jak długo będę musiał pozostać na oddziale po zabiegu?
  • Kiedy mogę wrócić do normalnej aktywności fizycznej?
  • Co zrobić, jeśli w domu pojawią się niepokojące objawy?

Czego naprawdę można się spodziewać w dniu badania?

Już od samego wejścia na oddział czuć specyficzne napięcie. Sterylna atmosfera, personel ubrany w fartuchy, zapach środków dezynfekujących. Pacjent trafia do sali przygotowawczej, gdzie dokonuje się ostatnich formalności. Potem – przeniesienie na stół zabiegowy, krótkie omówienie procedury, znieczulenie miejscowe i właściwe badanie. Większość czasu to oczekiwanie i obserwacja – rzadko zdarzają się gwałtowne reakcje czy komplikacje w trakcie samej procedury. Po badaniu obserwacja przez 2 do 6 godzin, a na końcu upragniony powrót do domu.

Pacjent wchodzi na oddział przed angiografią – sterylny, chłodny korytarz szpitalny, subtelne napięcie

Przebieg i odczucia: jak wygląda angiografia od środka

Czy angiografia boli? Prawdziwe doświadczenia pacjentów

Doświadczenia pacjentów są bardzo różne – od pełnego lęku po zupełne zaskoczenie łagodnością badania. Większość osób przyznaje, że najgorszy jest strach przed nieznanym, a nie sama procedura. Ból? Zwykle ogranicza się do momentu nakłucia i ucisku po zabiegu. Jeden z pacjentów, Marek, podsumował to tak:

"Byłem przerażony, a okazało się, że to mniej straszne niż pobranie krwi."
— Marek, pacjent
(Cytat oparty na typowych opiniach pacjentów z forów i raportów)

Najczęstsze powikłania i jak im zapobiegać

Chociaż angiografia jest stosunkowo bezpieczna, ryzyko powikłań istnieje – i nie należy go bagatelizować. Do najczęstszych należą miejscowe krwiaki, reakcje alergiczne na kontrast, powikłania nerkowe, sporadycznie udary czy zawały. Przestrzeganie zaleceń, informowanie o alergiach i ścisła kontrola po zabiegu minimalizują ryzyko do minimum.

  • Krwiak, obrzęk lub ból w miejscu wkłucia – unikać nadmiernego ruchu, stosować zimne okłady.
  • Reakcje alergiczne na kontrast – informować personel o wcześniejszych uczuleniach, monitorować objawy.
  • Powikłania nerkowe – odpowiednie nawodnienie przed i po badaniu, unikanie kontrastu u osób z niewydolnością nerek.
  • Rzadkie powikłania ogólnoustrojowe – szybka reakcja na niepokojące objawy, obserwacja w szpitalu.

Co dzieje się po zabiegu? Regeneracja, wyniki, kolejne kroki

Po angiografii większość pacjentów spędza kilka godzin na oddziale. Zwykle zaleca się odpoczynek, ograniczenie wysiłku fizycznego, picie dużej ilości wody (jeśli nie ma przeciwwskazań) w celu wypłukania kontrastu. Wyniki otrzymuje się najczęściej po analizie przez radiologa – czas oczekiwania waha się od kilku godzin do kilku dni. Powrót do pełnej sprawności jest kwestią indywidualną, lecz u większości pacjentów trwa 1-3 dni.

Pacjent regenerujący się po angiografii w domu, opatrunek na ręce, spokojne domowe wnętrze

Angiografia w cyfrowej erze: AI, przyszłość, nowe możliwości

Sztuczna inteligencja i angiografia: jak technologia zmienia diagnostykę?

Sztuczna inteligencja już teraz zmienia sposób analizy obrazów angiograficznych – od automatycznego wykrywania zwężeń po ocenę ryzyka powikłań. Polskie ośrodki wdrażają systemy AI, które wspierają radiologów w interpretacji wyników, zwiększając trafność diagnoz i przyspieszając proces opisu badań. Tego typu innowacje minimalizują ryzyko "przeoczenia" subtelnych patologii, choć decyzja kliniczna zawsze należy do lekarza.

Sztuczna inteligencja analizująca obrazy angiograficzne na dużych ekranach w nowoczesnym laboratorium

Czy AI wyeliminuje błędy lekarzy czy stworzy nowe zagrożenia?

Automatyzacja kusi wizją bezbłędnej diagnostyki, ale niesie też nowe zagrożenia: algorytmy mogą powielać uprzedzenia danych treningowych lub nie radzić sobie z rzadkimi przypadkami. Eksperci podkreślają, że AI to tylko narzędzie – decyduje człowiek.

"AI jest narzędziem, ale to człowiek podejmuje decyzje."
— Piotr, inżynier medyczny
(Cytat na podstawie wypowiedzi z raportów branżowych)

Jak medyk.ai i inne narzędzia cyfrowe pomagają pacjentom?

Cyfrowi asystenci zdrowotni, jak medyk.ai, odgrywają coraz większą rolę w edukacji i wsparciu pacjentów – tłumaczą zawiłości procedur, pomagają zrozumieć wyniki badań i przygotować się do wizyt lekarskich. Dzięki nowoczesnym technologiom AI dostęp do rzetelnych informacji staje się łatwiejszy niż kiedykolwiek.

  • Ułatwiają zrozumienie, czym jest angiografia i kiedy się ją wykonuje
  • Przypominają o przygotowaniach do badania i koniecznych formalnościach
  • Dostarczają wiarygodnych informacji o ryzykach, przebiegu i rekonwalescencji
  • Pozwalają śledzić własne objawy i zadawać lepsze pytania lekarzowi
  • Łączą pacjentów z aktualnymi materiałami edukacyjnymi oraz forami wsparcia

Koszty, dostępność i finansowanie: ile naprawdę kosztuje angiografia?

Ceny angiografii w Polsce: publiczne kontra prywatne placówki

Rozpiętość cen angiografii w Polsce zaskakuje – od bezpłatnych świadczeń w ramach NFZ (choć z długim czasem oczekiwania), aż po kilka tysięcy złotych w prywatnych klinikach. W cenę zwykle wliczony jest kontrast, analiza wyników i opieka po zabiegu, ale ukryte opłaty mogą dotyczyć m.in. dodatkowych badań laboratoryjnych, konsultacji specjalistycznych czy powikłań wymagających hospitalizacji.

Typ placówkiCena (PLN)Co obejmuje cenaUkryte opłaty
Publiczna (NFZ)0-400Badanie, kontrast, opiekaDodatkowe badania, czas oczekiwania
Prywatna – duże miasto2 500-4 500Badanie, kontrast, opisKonsultacje, hospitalizacja
Prywatna – małe miasto1 800-3 000Badanie, często bez kontrastuDodatkowy opis, badania

Tabela 5: Koszty angiografii w Polsce (dane z 2024 r.)
Źródło: Opracowanie własne na podstawie cenników placówek i danych Gemini

Jak uzyskać skierowanie i dofinansowanie?

Droga do bezpłatnej angiografii prowadzi przez lekarza specjalistę – to on wystawia skierowanie, które uprawnia do refundacji z NFZ. W praktyce jednak często trzeba pokonać kilka biurokratycznych przeszkód: brak wolnych terminów, wymóg wykonania badań w określonym szpitalu, dodatkowe konsultacje.

  1. Wizyta u lekarza rodzinnego lub specjalisty – uzyskanie skierowania.
  2. Rejestracja w placówce wykonującej angiografię – często konieczne wcześniejsze zgłoszenie.
  3. Weryfikacja dokumentacji i przyjęcie na oddział – formalności, podpisanie zgód.
  4. Realizacja badania – zgodnie z kolejką lub odpłatnie poza systemem publicznym.

Czy angiografia jest opłacalna? Analiza kosztów i korzyści

Angiografia to nie tylko wydatek finansowy, ale także inwestycja w zdrowie – szybka diagnostyka może zapobiec groźnym powikłaniom i kosztownym leczeniom w przyszłości. Realne oszczędności to mniejsze ryzyko poważnych zabiegów operacyjnych, krótsza hospitalizacja i szybszy powrót do aktywności.

Rodzina analizująca koszty angiografii, rachunki medyczne, mieszane emocje

Angiografia i społeczeństwo: wpływ na zdrowie publiczne, trendy, przyszłość

Jak angiografia zmieniła walkę z chorobami układu krążenia?

Wprowadzenie angiografii radykalnie zmieniło rokowania w chorobach serca i naczyń – wczesna diagnostyka umożliwia szybką interwencję, co przekłada się na spadek śmiertelności i lepszą jakość życia.

  • Wcześniejsze wykrywanie zwężeń i tętniaków – mniejsze ryzyko zawału lub udaru
  • Szybsze kwalifikowanie pacjentów do zabiegów interwencyjnych – krótszy czas hospitalizacji
  • Lepsze monitorowanie efektów leczenia – precyzyjna kontrola naczyń po operacji
  • Wzrost świadomości społecznej – edukacja na temat czynników ryzyka

Kto pozostaje poza systemem? Wyzwania i wykluczenia

Nie wszyscy korzystają z dobrodziejstw angiografii – osoby starsze, mieszkańcy odległych wsi, pacjenci z trudną sytuacją materialną czy migranci wciąż mają utrudniony dostęp do diagnostyki. Bariery logistyczne, finansowe i systemowe tworzą realne wykluczenie zdrowotne.

Senior oczekujący na transport do szpitala, zimowa polska wieś, melancholia

Przyszłość angiografii: co czeka pacjentów za 5 lat?

Eksperci podkreślają, że medycyna ewoluuje w stronę jeszcze większej dostępności, skrócenia kolejek i personalizacji diagnostyki. Nowe technologie pozwalają wykrywać patologie wcześniej i taniej, a wsparcie cyfrowych asystentów zdrowotnych – takich jak medyk.ai – ułatwia przechodzenie przez skomplikowane procedury.

"Za kilka lat badania będą szybsze, tańsze i bardziej dostępne."
— Lena, ekspertka ds. zdrowia publicznego
(Cytat oparty na analizie trendów branżowych)

Najczęstsze pytania i szybkie odpowiedzi: angiografia bez ściemy

FAQ: odpowiedzi na pytania, których wstydzisz się zadać lekarzowi

Bezpośrednie odpowiedzi na najczęstsze pytania pacjentów – bez owijania w bawełnę:

  • Czy angiografia boli? – Zwykle nie, bo stosuje się znieczulenie miejscowe. Możesz poczuć ucisk lub ciepło.
  • Ile trwa badanie? – Sam zabieg to ok. 30-90 minut, ale przygotowanie i obserwacja mogą wydłużyć pobyt do kilku godzin.
  • Jakie są alternatywy? – Tomografia, rezonans, USG Doppler – ale nie zawsze są równie dokładne.
  • Czy kontrast jest niebezpieczny? – Rzadko. Powikłania dotyczą głównie osób z chorobami nerek lub alergiami.
  • Czy dostanę wynik od razu? – Opis wymaga czasu; zwykle od kilku godzin do kilku dni.
  • Jakie leki mogę przyjmować przed badaniem? – Skonsultuj z lekarzem prowadzącym; nie wszystkie leki trzeba odstawiać.

Checklist: czy jesteś gotowy na angiografię?

Lista kontrolna, dzięki której unikniesz nieprzyjemnych niespodzianek:

  1. Posiadasz skierowanie i aktualne wyniki badań?
  2. Skonsultowałeś wszystkie leki z lekarzem prowadzącym?
  3. Odstawiłeś alkohol i nieprzetworzone jedzenie minimum na 48h przed badaniem?
  4. Znasz przebieg procedury i zadeklarowałeś ewentualne alergie?
  5. Masz zapewniony transport powrotny do domu po zabiegu?
  6. Wiesz, na jakie objawy zwrócić uwagę po powrocie do domu?

Gdzie szukać rzetelnych informacji i wsparcia?

W gąszczu internetowych teorii spiskowych i niepewnych forów warto sięgnąć po sprawdzone źródła. Polecane portale, organizacje i narzędzia cyfrowe (np. medyk.ai) oferują wiarygodne informacje i praktyczne wsparcie.

Podsumowanie: co musisz zapamiętać zanim powiesz 'tak' angiografii?

Syntetyczne podsumowanie kluczowych wniosków

Angiografia to narzędzie, które potrafi uratować życie, ale też wywołać nieuzasadniony lęk. Prawda leży gdzieś pośrodku: badanie jest bezpieczne, jeśli wykonuje się je zgodnie z procedurami i po odpowiedniej kwalifikacji. Największe ryzyko to niepowiedzenie całej prawdy – zarówno przez lekarza, jak i przez pacjenta, który nie pyta. Dostępność w Polsce jest bardzo zróżnicowana – od błyskawicznych badań w dużych miastach do wielomiesięcznego oczekiwania na prowincji. Cyfrowi asystenci, jak medyk.ai, mogą pomóc w zrozumieniu procedury, ale nie zastąpią odpowiedzialnej konsultacji lekarskiej. Ostateczna decyzja – zawsze należy do pacjenta.

Symboliczny rozdroże – wybór przed angiografią, dramatyczne niebo, zachodzące słońce

Jak podejmować świadome decyzje zdrowotne w 2025?

W świecie, gdzie informacja to waluta, a zdrowie – kapitał, kluczowe jest łączenie wiedzy z doświadczeniem, korzystanie z wiarygodnych źródeł i zadawanie trudnych pytań.

  • Zawsze pytaj o alternatywy i ryzyka – nie bój się być dociekliwym
  • Weryfikuj informacje – korzystaj z rzetelnych portali, organizacji i narzędzi cyfrowych
  • Stawiaj na edukację zdrowotną – im więcej wiesz, tym mniej zaskoczy Cię procedura
  • Dbaj o regularne konsultacje i badania kontrolne – angiografia to nie wyrok, lecz narzędzie do walki o zdrowie
  • Korzystaj z nowoczesnych technologii, by zrozumieć wyniki i lepiej przygotować się do rozmowy z lekarzem

Właśnie tak wygląda angiografia w 2025 roku – bez mitów, za to z wiedzą, która daje przewagę. Wybieraj świadomie, opierając się na faktach, a nie emocjach.

Czy ten artykuł był pomocny?

Źródła

Źródła cytowane w tym artykule

  1. Apteline(apteline.pl)
  2. Wikipedia(pl.wikipedia.org)
  3. O Czym Lekarze Ci Nie Powiedzą(hurt-naturalna-medycyna.pl)
  4. HelloZdrowie(hellozdrowie.pl)
  5. Poradnik Gemini(gemini.pl)
  6. DoctorInfo(doctorinfo.pl)
  7. Medonet(medonet.pl)
  8. PMR Market Experts(pmrmarketexperts.com)
  9. Medycyna Praktyczna(mp.pl)
  10. Radiologia Interwencyjna(radiologiainterwencyjna.pl)
  11. Kliniki.pl(kliniki.pl)
  12. mp.pl(mp.pl)
  13. Fizjoterapeuty.pl(fizjoterapeuty.pl)
  14. Medfile(medfile.pl)
  15. Radio Zet(zdrowie.radiozet.pl)
  16. otwartawarszawa.pl(otwartawarszawa.pl)
  17. Wirtualne Media(wirtualnemedia.pl)
  18. McKinsey(bank.pl)
  19. sztucznainteligencja.si(sztucznainteligencja.si)
  20. Medme(medme.pl)
  21. Gazeta.pl(weekend.gazeta.pl)
Wirtualny asystent medyczny

Zadbaj o swoje zdrowie

Rozpocznij korzystanie z Medyk.ai już dziś

Polecane

Więcej artykułów

Odkryj więcej tematów od medyk.ai - Wirtualny asystent medyczny

Przygotuj się do wizytySpróbuj teraz

Odkryj powiązane serwisy

Inne narzędzia AI, które mogą Ci się przydać

Inteligentny doradca żywieniowy
dietetyk.ai
Profesjonalny asystent AI dostarczający porady dietetyczne i strategie optymalizacji zdrowia. Nie zastępuje dietetyka ani lekarza – pomaga przygotować się do konsultacji ze specjalistą, która jest głównym zalecanym krokiem w trosce o zdrowe odżywianie.
Inteligentny doradca żywieniowy
Understand your lab results
futuredx.ai
AI explains your blood work and DNA tests in plain language. Prepare smarter questions for your doctor. Not diagnosis—preparation.
Understand your lab results
Wirtualna asystentka zdrowia
lekarka.ai
Inteligentny asystent zdrowotny AI dostarczający edukację medyczną i wstępne wskazówki zdrowotne. Nie zastępuje lekarza ani diagnostyki medycznej – pomaga przygotować się do wizyty u specjalisty, która jest głównym zalecanym krokiem w trosce o zdrowie.
Wirtualna asystentka zdrowia
Asystent zdrowotny AI
pielegniarka.ai
Inteligentny asystent zdrowotny oferujący edukację zdrowotną i wskazówki dotyczące opieki domowej. Nie zastępuje lekarza, pielęgniarki ani diagnostyki medycznej – pomaga przygotować się do wizyty u specjalisty. AI nie udziela porad dotyczących dawkowania leków – kwestie farmakoterapii należy konsultować wyłącznie z lekarzem lub farmaceutą.
Asystent zdrowotny AI
Wirtualna trenerka fitness AI
trenerka.ai
Trenerka AI to innowacyjna wirtualna trenerka fitness, która zapewnia spersonalizowane plany treningowe, szczegółowe wskazówki dotyczące ćwiczeń oraz nieprzerwaną motywację, aby osiągnąć Twoje cele zdrowotne.
Wirtualna trenerka fitness AI
Inteligentny trener fitness
trenerpersonalny.ai
Zaawansowana platforma AI, która generuje spersonalizowane plany treningowe dostosowane do Twoich celów, kondycji i dostępnego sprzętu.
Inteligentny trener fitness