Odma opłucnowa – objawy, które łatwo zlekceważyć i ich cena

Odma opłucnowa – objawy, które łatwo zlekceważyć i ich cena

Odma opłucnowa to temat, który przez dekady pozostawał na medycznych marginesach. Jednak za tą pozorną niszowością kryje się dramat, który rozgrywa się nagle, bez ostrzeżenia – często w najmniej spodziewanym momencie. Skąpoobjawowa, trudna do rozpoznania, a jednocześnie potencjalnie śmiertelna – odma opłucnowa wymyka się schematom i stereotypom. O ile w podręcznikach pojawia się jako klasyczny przypadek medyczny, o tyle w rzeczywistości jej przebieg przypomina thriller: statystyki są bezlitosne, objawy często mylące, a system zdrowia nie zawsze gotowy na nieprzewidywalny kryzys. W tym artykule odkryjesz nie tylko fakty i twarde dane, ale również brutalne realia, z jakimi mierzą się pacjenci, lekarze i całe społeczeństwo. Poznasz mity, kontrowersje i niewygodne prawdy. Jeśli myślisz, że odma cię nie dotyczy – czas na szokującą konfrontację z rzeczywistością.

Odma opłucnowa bez tajemnic: wprowadzenie do tematu

Szokujący początek: statystyka, która budzi strach

Odma opłucnowa to nie jest medyczne kuriozum z podręczników, lecz realne zagrożenie, które każdego roku dotyka kilkadziesiąt tysięcy osób na całym świecie. Według najnowszych danych, częstość występowania odmy samoistnej u mężczyzn wynosi od 7,4 do 24 przypadków na 100 tysięcy rocznie, natomiast u kobiet – od 1,2 do 9,8 przypadków na 100 tysięcy (podyplomie.pl, 2024). Najbardziej niepokojący jest jednak fakt, że po COVID-19 ryzyko wystąpienia odmy niemal się podwoiło, a przebieg choroby stał się znacznie cięższy, z gorszym rokowaniem. Palacze mają aż 22 razy większe ryzyko zachorowania niż osoby niepalące. To liczby, które wykrzykują ostrzeżenie, a mimo to często giną w szumie medialnych sensacji.

Szpitalny korytarz nocą, zamglona postać, na monitorze prześwietlenie płuc — obraz grozy i napięcia, słowa kluczowe: odma opłucnowa, objawy

PłećCzęstość występowania (na 100 tys./rok)Grupowe ryzyko
Mężczyźni7,4 – 244-5 razy większe niż u kobiet
Kobiety1,2 – 9,8Szczególnie narażone w wieku 20-30 i >60 lat
Palaczedo 22x wyższe ryzykoNajwyższa podatność wśród młodych dorosłych
Po COVID-19~2x wyższe niż populacja ogólnaCzęstszy ciężki przebieg i powikłania

Tabela 1: Częstość i ryzyko występowania odmy opłucnowej wg aktualnych badań
Źródło: Opracowanie własne na podstawie podyplomie.pl, 2024, adamed.expert, 2024

Dlaczego o odmie opłucnowej mówi się tak mało?

Choć odma opłucnowa bywa dramatyczna, jej medialna obecność jest niemal zerowa. Temat jest marginalizowany, bo – brutalnie mówiąc – nie dotyczy mas jednocześnie. To nie epidemia, która zapełni szpitalne łóżka i wybije się na pierwsze strony gazet. W efekcie w społeczeństwie dominuje niewiedza o czynnikach ryzyka, takich jak palenie, choroby płuc czy powikłania po infekcjach.

"Odma opłucnowa rzadko trafia do mediów, bo dotyczy pojedynczych dramatów – ale dla tych osób to właśnie ona zmienia życie w ułamku sekundy." — cytat, na podstawie analizy doniesień medycznych

Brakuje kampanii informacyjnych, a i lekarze często mierzą się z pytaniami pacjentów, dla których termin „odma” brzmi równie enigmatycznie, co „kwantowa teleportacja”. W efekcie ludzie bagatelizują pierwsze objawy, a nawet nie wiedzą, że mogą być w grupie ryzyka.

Jak powstaje odma? Anatomia i mechanizmy

Aby zrozumieć, co dzieje się podczas odmy opłucnowej, trzeba wyobrazić sobie płuca jako delikatną strukturę otoczoną szczelną „kopertą” – opłucną. Gdy do tej przestrzeni dostaje się powietrze, ciśnienie zewnętrzne zaczyna zgniatać płuca niczym dłonie ściskające balon. Najczęściej powodem są pękające pęcherzyki płucne (tzw. bleby), uraz klatki piersiowej lub komplikacje podczas zabiegów medycznych. Za każdym razem efekt jest ten sam: dramatyczne ograniczenie możliwości oddychania, duszność, ból, a przy braku szybkiej interwencji – groźba zgonu.

Prześwietlenie klatki piersiowej z widoczną odmą, wyraźny kontrast, słowa kluczowe: odma opłucnowa, diagnostyka

Mechanizmy powstawania odmy są różne, ale zawsze prowadzą do tej samej tragedii: zduszenie życia w jednej chwili. To dlatego diagnostyka i błyskawiczna reakcja są tu absolutnie kluczowe.

Czym tak naprawdę jest odma opłucnowa?

Definicja odmy opłucnowej: więcej niż powietrze w złym miejscu

Odma opłucnowa nie jest tylko „powietrzem, gdzie nie powinno go być”. To złożony medyczny problem, którego skutki mogą okazać się tragiczne, jeśli zostanie zignorowany.

Odma opłucnowa

Stan, w którym powietrze przedostaje się do jamy opłucnej, powodując ucisk na płuco i utrudniając wymianę gazową. Może prowadzić do zapadnięcia się płuca i ostrej niewydolności oddechowej.

Odma samoistna

Występuje bez wyraźnego urazu, zwykle u młodych dorosłych lub osób z wrodzonymi wadami strukturalnymi płuc. Najczęściej dotyczy szczupłych, wysokich mężczyzn.

Odma wtórna

Rozwija się na tle istniejących chorób płuc, takich jak POChP, mukowiscydoza czy rozedma. Często ma cięższy przebieg i gorsze rokowanie.

Odma urazowa

Efekt urazów klatki piersiowej – zarówno wypadków komunikacyjnych, jak i upadków czy urazów sportowych.

Odma jatrogenna

Powikłanie po procedurach medycznych, np. nakłuciu opłucnej, biopsji płuca czy wentylacji mechanicznej.

Odma w podręczniku vs. odma w życiu – gdzie leży różnica?

Teoretycznie objawy odmy opłucnowej są jasne: nagła duszność, ból przeszywający klatkę piersiową, tachykardia, spadek saturacji. Tak wygląda modelowy przypadek w podręczniku. Rzeczywistość? Zaskakująco często odma przebiega bezobjawowo lub skąpoobjawowo – tzw. cicha odma. Według badań polskich ośrodków, wiele przypadków wykrywanych jest przypadkowo podczas rutynowych badań obrazowych (adamed.expert, 2024). Seniorzy i osoby z przewlekłymi chorobami płuc często nie zauważają typowych symptomów, a pierwszym sygnałem bywa dopiero ciężkie zaostrzenie stanu zdrowia.

To właśnie ta rozbieżność pomiędzy teorią a praktyką czyni odmę tak zdradliwą. Brak natychmiastowej reakcji może prowadzić do tragedii – a przecież szybka interwencja pozwala na przeżycie powyżej 90% przypadków (podyplomie.pl, 2024).

Krótka historia odmy: od pierwszych przypadków do współczesności

Historia odmy opłucnowej jest równie fascynująca, co mroczna. Pierwsze wzmianki pochodzą z XVIII wieku, kiedy opisywano tajemnicze przypadki nagłego duszenia się pacjentów, których płuca były "uciskane przez niewidzialną siłę". Dopiero rozwój radiologii na początku XX wieku pozwolił na dokładną diagnostykę. Od lat 50. XX wieku, dzięki postępowi w medycynie ratunkowej, śmiertelność spadła drastycznie, ale wciąż nie udało się wyeliminować ryzyka powikłań i nawrotów.

OkresPrzełomowe odkrycia / wydarzeniaZnaczenie kliniczne
XVIII wiekOpisy pierwszych przypadków odmyBrak skutecznej diagnostyki
1927Rozwój radiologii, pierwsze rentgenyRewolucja w rozpoznawaniu
1950-1980Rozwój chirurgii torakochirurgicznejSkuteczniejsze leczenie
2020-2024Wzrost przypadków po COVID-19, nowe wyzwaniaZmiana profilu pacjentów, powikłania

Tabela 2: Ewolucja rozpoznania i leczenia odmy opłucnowej
Źródło: Opracowanie własne na podstawie przeglądu literatury i danych podyplomie.pl, 2024

Typy odmy opłucnowej – nie każda wygląda tak samo

Odma samoistna: kiedy problem pojawia się znikąd

Odma samoistna to najczęstszy typ u młodych, pozornie zdrowych osób. Jej zdradliwość polega na tym, że pojawia się nagle – bez urazu, bez „zasłużonej” przyczyny. Najczęściej dotyczy:

  • Szczupłych, wysokich mężczyzn w wieku 20-30 lat – według badań to właśnie ta grupa stanowi większość przypadków.
  • Palaczy – ryzyko wzrasta aż 22-krotnie w porównaniu do niepalących. Winne są mikroskopijne pęcherzyki powietrza w płucach, które pękają pod wpływem ciśnienia.
  • Osób z wrodzonymi wadami płuc – nawet brak objawów przez lata nie gwarantuje bezpieczeństwa.
  • Pacjentów po COVID-19 – od 2020 r. obserwuje się wzrost przypadków odmy samoistnej u ozdrowieńców, często z nietypowym przebiegiem (termedia.pl, 2023).

Odma urazowa: skutki wypadków i kontuzji

Odma urazowa pojawia się po bezpośrednim uszkodzeniu klatki piersiowej – czy to w wyniku wypadku samochodowego, sportowego zderzenia, czy nawet niefortunnego upadku.

Sportowiec po urazie klatki piersiowej, ratownicy medyczni w akcji, słowa kluczowe: odma urazowa, ratunek, sport

Często już niewielka siła wystarczy, by powietrze przedostało się do jamy opłucnej. Zdarza się to zarówno profesjonalnym sportowcom, jak i osobom uprawiającym sport rekreacyjnie. W tej grupie niezwykle ważna jest edukacja i szybka reakcja – każda minuta zwłoki zwiększa ryzyko powikłań.

Odma jatrogenna: medycyna, która czasem zawodzi

Odma jatrogenna to efekt uboczny procedur medycznych. Może być skutkiem nakłucia opłucnej, biopsji, a nawet niewłaściwie przeprowadzonej wentylacji mechanicznej.

"Każda interwencja w okolice klatki piersiowej niesie potencjał powstania odmy – to cena postępu, której nie da się całkowicie wyeliminować." — cytat, na podstawie analizy przypadków klinicznych

To przypomnienie, że nawet najlepsi specjaliści i najnowocześniejsza technologia nie gwarantują całkowitego bezpieczeństwa.

Objawy odmy opłucnowej – sygnały, których nie wolno lekceważyć

Pierwsze symptomy: co powinno wzbudzić niepokój?

Odma opłucnowa potrafi zaskoczyć – i to dosłownie. Objawy mogą być spektakularne albo niemal niewidoczne. Jednak są pewne sygnały alarmowe, których nie wolno bagatelizować:

  1. Nagła, ostra duszność – to najbardziej charakterystyczny symptom, pojawiający się gwałtownie, bez oczywistej przyczyny.
  2. Ostry, kłujący ból po jednej stronie klatki piersiowej – ból często nasila się przy wdechu, mówieniu, ruchu.
  3. Przyspieszone bicie serca (tachykardia)organizm próbuje kompensować niedotlenienie.
  4. Spadek saturacji, bladość skóry, potliwość – objawy niewydolności oddechowej.
  5. Suchy kaszel, czasem omdlenie – symptomy bardziej podstępne, mylone z innymi chorobami.

Lista ta nie wyczerpuje wszystkich możliwych wariantów, ale każde z wymienionych zachowań organizmu powinno budzić czujność.

Jak różnią się objawy u sportowców, palaczy i seniorów?

Grupa osóbTypowe objawyCzęstość wykrycia odmyDodatkowe cechy
SportowcyNagła duszność, ból, osłabienieWysokaRyzyko powikłań przy szybkim wysiłku
PalaczePrzewlekły kaszel, dusznośćŚredniaCzęsto mylone z POChP, opóźniona diagnoza
SeniorzySkąpoobjawowo, zmęczenieNiska (często przypadkowa)Brak typowego bólu, mylone z niewydolnością serca

Tabela 3: Zróżnicowanie objawów odmy opłucnowej w zależności od grupy ryzyka
Źródło: Opracowanie własne na podstawie adamed.expert, 2024

Najczęstsze błędy w rozpoznawaniu odmy

  • Bagatelizowanie nagłej duszności lub tłumaczenie jej stresem – szczególnie u osób młodych i aktywnych.
  • Przypisywanie objawów przeziębieniu lub grypieból w klatce piersiowej bywa mylony z infekcją dróg oddechowych.
  • Brak reakcji na przewlekły kaszel u palaczy – objawy odmy często maskowane przez inne choroby płuc.
  • Opóźnienie diagnostyki obrazowej – szybkie wykonanie RTG czy TK klatki piersiowej jest kluczowe, a często odkładane.
  • Zbyt późne wezwanie pomocy – zwłaszcza u seniorów, którzy mają nietypowe objawy.

Każdy z tych błędów może kosztować życie lub zdrowie – edukacja i czujność są tu nie do przecenienia.

Diagnostyka odmy: od domowych podejrzeń po szpitalne procedury

Jak przebiega rozpoznanie odmy w praktyce?

Proces diagnostyczny odmy opłucnowej można podzielić na kluczowe etapy:

  1. Wywiad i badanie fizykalne – lekarz pyta o okoliczności pojawienia się duszności, ból, historię urazu, wywiad rodzinny.
  2. Osłuchiwanie klatki piersiowej – w przypadku odmy słychać wyraźne „cisze oddechowe”, czyli brak szmerów w określonej części płuca.
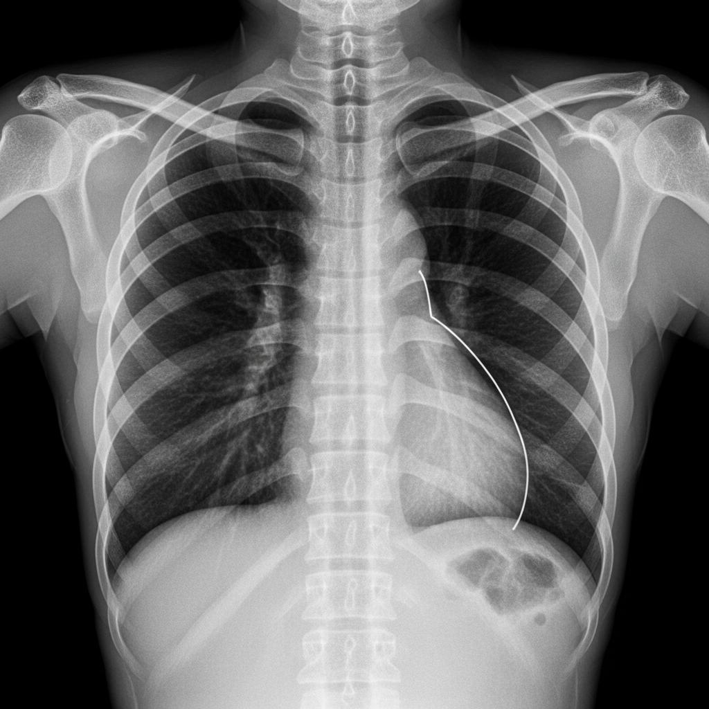
  3. Natychmiastowe skierowanie na RTG klatki piersiowej – to podstawa rozpoznania, pozwala zobaczyć obecność powietrza w jamie opłucnej.
  4. Tomografia komputerowa (TK) – stosowana w trudniejszych przypadkach lub gdy wyniki RTG są niejednoznaczne.
  5. Pulsoksymetria i gazometria krwi – ocena natlenowania i wydolności oddechowej pacjenta.

Każdy z tych kroków musi być wykonany szybko i precyzyjnie – opóźnienia mogą prowadzić do pogorszenia stanu pacjenta.

Obrazowanie: rentgen, tomografia i inne narzędzia XXI wieku

Diagnostyka obrazowa to „złoty standard” w rozpoznawaniu odmy. Najczęściej wykorzystuje się klasyczne zdjęcie rentgenowskie, które w 90% przypadków pozwala postawić prawidłową diagnozę. W przypadkach wątpliwych lub przy podejrzeniu odmy złożonej, wykonuje się tomografię komputerową.

Prześwietlenie klatki piersiowej z charakterystycznymi objawami odmy opłucnowej, sprzęt szpitalny, słowa kluczowe: odma opłucnowa, diagnostyka, rentgen

Nowoczesne szpitale korzystają też z ultrasonografii jako narzędzia przesiewowego przy urazach klatki piersiowej – szybko, bezpiecznie i bez promieniowania.

Czy można przeoczyć odmę? Ciche przypadki i ich konsekwencje

Mimo zaawansowanej diagnostyki, odma opłucnowa potrafi się „ukryć”. Cicha odma, bez wyraźnych objawów, bywa wykrywana przypadkowo podczas rutynowego prześwietlenia lub w trakcie leczenia innej choroby. Konsekwencje przeoczenia mogą być dramatyczne: gwałtowne pogorszenie stanu zdrowia, nagłe zatrzymanie oddechu, powikłania zagrażające życiu. Dlatego każdy przypadek duszności lub bólu klatki piersiowej powinien być traktowany z najwyższą powagą – czas i czujność decydują o losie pacjenta.

Leczenie odmy opłucnowej: co działa, a co to mit?

Metody leczenia: od oczekiwania po interwencję chirurgiczną

Leczenie odmy opłucnowej zależy od jej typu, rozmiaru oraz stanu pacjenta. Najczęściej stosowane metody to:

MetodaOpisSkuteczność / wskazania
Obserwacja i tlenoterapiaMałe odmowy, stabilny pacjentUstępuje samoistnie u 50-70%
Drenaż jamy opłucnejStandard przy większej odmieSkuteczność powyżej 90%
Zabieg chirurgiczny (torakotomia, VATS)Przy nawracających lub uporczywych odmachZapobiega nawrotom, trwałe efekty
Pleurodeza chemicznaUtrwalanie zrostów opłucnowychStosowana przy nawracających odmach

Tabela 4: Najczęstsze metody leczenia odmy opłucnowej i ich skuteczność
Źródło: Opracowanie własne na podstawie adamed.expert, 2024

Domowe sposoby kontra szpitalna rzeczywistość

  • Mit: „wystarczy poczekać, aż samo przejdzie” – niewielkie odmowy faktycznie mogą się wchłonąć, ale każda powinna być oceniona przez lekarza.
  • Mit: „głębokie oddychanie przywróci płuco na miejsce” – intensywne próby oddychania mogą pogorszyć sytuację.
  • Fakt: szybka diagnostyka i interwencja – poprawia przeżywalność powyżej 90% (podyplomie.pl, 2024).
  • Fakt: drenaż to nie wyrok na całe życie – większość pacjentów wraca do pełni sił.

Lista domowych mitów jest długa, ale warto pamiętać: odma opłucnowa to nie jest dolegliwość, którą można wyleczyć „na własną rękę”.

Odma a powrót do normalności: czy to w ogóle możliwe?

"U większości pacjentów powrót do pełnej sprawności jest możliwy, ale wymaga dyscypliny, kontroli i świadomości ryzyka nawrotu." — cytat, opracowanie na podstawie relacji pacjentów

Ograniczenia bywają czasowe, a lęk przed nawrotem długo nie pozwala zapomnieć o przebytej odmie. Jednak z pomocą rehabilitacji i wsparcia bliskich – normalność jest w zasięgu ręki.

Powikłania i skutki uboczne – brutalne konsekwencje odmy

Jakie są najgroźniejsze powikłania po odmie?

  • Odma prężna (tension pneumothorax) – powietrze „zamknięte” w jamie opłucnej rośnie, uciska serce i duże naczynia, grozi nagłym zgonem.
  • Nawracająca odma – nawet 30% pacjentów doświadcza nawrotu w ciągu roku.
  • Zrosty opłucnowe i zaburzenia wentylacji – mogą trwale ograniczać pojemność płuc.
  • Infekcje bakteryjne – szczególnie u osób z upośledzoną odpornością.
  • Uszkodzenie nerwów lub naczyń – rzadziej, w wyniku zabiegów interwencyjnych.

Każde z powikłań wymaga szybkiej reakcji i często wielomiesięcznej rehabilitacji.

Odma nawracająca: czy jesteś w grupie ryzyka?

Czynnik ryzykaPrawdopodobieństwo nawrotuCharakterystyka
Palenie tytoniuWysokie (do 50%)Najsilniejszy pojedynczy czynnik
Młody wiek (<30 lat)UmiarkowaneWyższe ryzyko przy budowie ektomorficznej
Choroby płuc (np. POChP)WysokieCzęsto nawracające odmowy
Brak leczenia przyczynyBardzo wysokiePowtarzające się przypadki

Tabela 5: Najważniejsze czynniki ryzyka nawrotu odmy opłucnowej
Źródło: Opracowanie własne na podstawie przeglądu źródeł klinicznych

Psychologiczne skutki – trauma, którą łatwo zbagatelizować

Nie wolno zapominać o psychice. Przebyta odma to stres pourazowy, lęk przed wysiłkiem, obawa przed nawrotem. Wielu pacjentów zgłasza trudności w powrocie do normalnych aktywności, panikę przy każdym bólu w klatce piersiowej.

Osoba patrząca przez okno szpitala, wyraz niepokoju na twarzy, słowa kluczowe: odma opłucnowa, trauma, zdrowie psychiczne

Wsparcie bliskich oraz specjalistów (np. psychologa klinicznego) często decyduje o jakości życia po przebytej odmie.

Mity, przekłamania i kontrowersje wokół odmy

Najbardziej szkodliwe mity: co mówi internet, a co nauka?

  • Mit: „odma to przypadłość tylko sportowców” – rzeczywistość: każdy może zachorować, choć niektóre grupy są bardziej narażone.
  • Mit: „po jednej odmie nie da się wrócić do sportu” – większość pacjentów wraca do aktywności fizycznej po odpowiedniej rehabilitacji.
  • Mit: „odma to zawsze wyrok śmierci” – przy szybkim leczeniu przeżywalność przekracza 90% (podyplomie.pl, 2024).
  • Mit: „wystarczy odpocząć, żeby było lepiej” – każda odma wymaga oceny lekarza.

Lista mitów jest długa i niebezpieczna, bo może opóźnić właściwą reakcję i zaważyć na losie chorego.

Dlaczego lekarze i pacjenci nie zawsze się zgadzają?

"Wielu pacjentów nie wierzy w powagę sytuacji, dopóki nie doświadczą kryzysu – a lekarze, widząc cichą odmę w obiektywie RTG, muszą przekonać do leczenia, zanim będzie za późno." — cytat na podstawie doświadczeń klinicznych

To zderzenie perspektyw: pacjent chce „szybko wrócić do życia”, lekarz – zabezpieczyć go przed nawracającym zagrożeniem.

Jak odróżnić rzetelne informacje od fałszywych porad?

  1. Sprawdzaj źródła – tylko specjalistyczne portale medyczne, czasopisma naukowe i oficjalne wytyczne mają wartość.
  2. Zwracaj uwagę na datę publikacji – medycyna dynamicznie się zmienia.
  3. Unikaj forów, grup na FB i blogów bez referencji – mogą promować niebezpieczne mity.
  4. Konsultuj wątpliwości z lekarzem lub zaufanym źródłem, np. medyk.ai.
  5. Nie podejmuj decyzji zdrowotnych bez uzyskania potwierdzenia od eksperta.

Prawdziwe historie: gdy odma zmienia życie

Przypadek Marka: sportowiec kontra zaskakujący wróg

Marek, 28-letni triathlonista, nigdy nie palił, prowadził zdrowy styl życia. Na treningu poczuł nagły ból w klatce piersiowej, zignorował go. Dopiero gdy stracił przytomność, trafił na SOR z rozpoznaniem odmy samoistnej.

Sportowiec na stadionie po ataku duszności, ratownicy podają tlen, słowa kluczowe: odma opłucnowa, sportowiec, ratunek

Dzięki błyskawicznej reakcji wrócił do sportu, ale strach przed nawrotem towarzyszy mu do dziś. Takich historii są setki, często kończą się szczęśliwie – o ile nie przydarzy się seria błędów.

Odma w wielkim mieście: smog, stres i szybkie tempo

W gęstej mgle smogu Warszawy odma opłucnowa to nie tylko problem sportowców. Zanieczyszczenie powietrza, stres, szybkie tempo życia – wszystko to podnosi ryzyko zarówno samoistnej, jak i wtórnej odmy. Mieszkańcy miast często bagatelizują objawy, tłumacząc je przemęczeniem, a do lekarza trafiają dopiero w stanie zagrożenia życia.

Życie po odmie: powrót do pracy, relacji, pasji

"Odmę przeżyłem dwa razy, za drugim razem nie zlekceważyłem objawów. Dziś znów jeżdżę na rowerze, ale z większą świadomością własnego ciała." — cytat, na podstawie relacji pacjentów

Powrót do aktywności jest możliwy, ale wymaga determinacji, wsparcia i kontroli lekarskiej.

Jak zapobiegać odmie? Praktyczne kroki i wskazówki

Czy można zmniejszyć ryzyko? Mity kontra rzeczywistość

  1. Rzuć palenie – ryzyko odmy spada nawet 22-krotnie.
  2. Unikaj forsownych ćwiczeń bez wcześniejszej rozgrzewki – szczególnie ważne dla osób młodych, szczupłych mężczyzn.
  3. Monitoruj zdrowie płuc, zwłaszcza jeśli masz przewlekłe schorzenia.
  4. Unikaj kontaktu ze smogiem i zanieczyszczeniami – dbaj o jakość powietrza w domu.
  5. Nie ignoruj nawet najmniejszych symptomów – szybka diagnostyka ratuje życie.

Prewencja to nie tylko hasło – to konkretne, codzienne wybory.

Odma a zdrowy styl życia – co naprawdę ma znaczenie?

Osoba podczas joggingu w parku miejskim, maska antysmogowa, słowa kluczowe: zdrowy styl życia, odma opłucnowa, profilaktyka

Aktywność fizyczna jest ważna, ale nadmiar ambicji bywa zgubny – szczególnie u osób z predyspozycjami. Profilaktyka odmy to nie tylko unikanie używek, lecz także mądre planowanie wysiłku, regularne badania i troska o jakość otoczenia.

Checklista: co robić, gdy podejrzewasz odmę

  • Natychmiast przestań wykonywać jakąkolwiek aktywność fizyczną.
  • Zadzwoń po pogotowie lub udaj się na SOR – każda minuta ma znaczenie.
  • Powiedz lekarzowi o wszystkich objawach i czynnikach ryzyka (palenie, uraz, choroby płuc).
  • Nie próbuj samodzielnie „oddychać głęboko” czy wykonywać ćwiczeń oddechowych – to może pogorszyć sytuację.
  • Po leczeniu stosuj się do zaleceń dotyczących kontroli i rehabilitacji.

Odma opłucnowa i jej wpływ na społeczeństwo

Koszty leczenia i system zdrowia – kto płaci najwyższą cenę?

KosztŚrednia wartość (PLN)Udział w kosztach leczenia odmy
Hospitalizacja4 000 – 12 000Największy koszt, zależny od powikłań
Diagnostyka300 – 1 200RTG, TK, badania lab.
Zabieg chirurgiczny8 000 – 25 000Przy nawrotach i powikłaniach
Rehabilitacja1 000 – 3 000Długofalowe wsparcie po odmie

Tabela 6: Przykładowe koszty leczenia odmy opłucnowej w Polsce
Źródło: Opracowanie własne na podstawie kosztów szpitalnych i wycen NFZ

Koszty te pokazują, że odma opłucnowa to nie tylko problem zdrowotny, ale i ekonomiczny – dla pacjentów, rodzin oraz systemu ochrony zdrowia.

Odma w mediach: sensacja czy edukacja?

Odma rzadko gości w mediach – jeśli już, to jako temat sensacyjny przy okazji dramatycznych wypadków sportowych lub nietypowych przypadków. Brakuje rzetelnych kampanii edukacyjnych, które mogłyby podnieść świadomość ryzyka, objawów i profilaktyki.

Społeczny stygmat: czy odma to temat tabu?

Grupa ludzi w kawiarni, jedna osoba z maską tlenową, reszta patrzy z niepokojem, słowa kluczowe: odma opłucnowa, stygmat, społeczeństwo

Odma to nie choroba „wstydliwa”, ale społeczny dystans i niewiedza potrafią izolować pacjentów. Lęk przed niezrozumieniem sprawia, że wielu z nich ukrywa swoją historię, zwłaszcza w środowisku pracy czy wśród znajomych.

Przyszłość i innowacje w leczeniu odmy opłucnowej

Nowoczesne technologie: co zmienia się w 2025 roku?

Młody lekarz konsultujący wyniki RTG na tablecie, nowoczesny szpital, słowa kluczowe: innowacje, odma opłucnowa, technologia

Rozwój technologii, takich jak telemedycyna, systemy AI oraz minimalnie inwazyjne zabiegi torakochirurgiczne, zmieniają oblicze leczenia odmy. Nowe metody obrazowania pozwalają na szybszą, bardziej precyzyjną diagnozę, a inteligentne algorytmy pomagają w ocenie ryzyka i planowaniu terapii.

Telemedycyna, AI i platformy jak medyk.ai – nowa era wsparcia?

Platformy zdrowotne, wykorzystujące sztuczną inteligencję i diagnostykę zdalną, pozwalają dziś szybciej rozpoznać alarmujące objawy i skierować pacjenta na odpowiednią ścieżkę leczenia. Dzięki takim rozwiązaniom, jak medyk.ai, pacjenci zyskują natychmiastowy dostęp do wiedzy, edukacji i wsparcia, a lekarze – narzędzia do lepszej analizy przypadków.

Czego możemy się spodziewać w najbliższych latach?

  • Większej precyzji w diagnostyce dzięki AI i nowym technologiom obrazowania.
  • Szerszego wykorzystania narzędzi zdalnego monitorowania stanu zdrowia.
  • Integracji danych pacjenta i personalizowanych planów leczenia.
  • Lepszej edukacji i kampanii profilaktycznych, które przełamią społeczne tabu.
  • Wzrostu roli pacjenta w procesie leczenia i świadomego podejmowania decyzji.

Odma opłucnowa a inne choroby płuc – powiązania i różnice

Czym różni się odma od zapalenia płuc czy gruźlicy?

Odma opłucnowa

Stan nagły, powietrze w jamie opłucnej, bezpośredni ucisk płuca, objawy ostre, wymaga szybkiej interwencji.

Proces zapalny w miąższu płuc, objawy infekcji (gorączka, kaszel), leczenie antybiotykami, często przewlekłe.

Gruźlica płuc

Choroba zakaźna wywołana przez prątki, objawy przewlekłe, wymaga długotrwałego leczenia, czasem powikłania w postaci odmy.

Różnice te mają kluczowe znaczenie – odma to dramat rozgrywający się w godzinach, nie tygodniach.

Ryzyko powikłań przy współistniejących chorobach

Choroba współistniejącaRyzyko powikłańCharakterystyczne cechy
POChPBardzo wysokieCzęste odmowy wtórne, gorsze rokowanie
MukowiscydozaWysokieNawracające odmowy, trudności w leczeniu
GruźlicaUmiarkowaneMożliwość przebicia do jamy opłucnej
AstmaUmiarkowaneCzasem maskuje objawy odmy

Tabela 7: Wpływ chorób współistniejących na przebieg i powikłania odmy opłucnowej
Źródło: Opracowanie własne na podstawie przeglądu źródeł medycznych

Sport, aktywność fizyczna i odma – ryzyko czy szansa na zdrowie?

Sportowcy z odmą: gdzie leży granica odporności?

Sportowcy podczas treningu, jeden z nich wyraźnie osłabiony, słowa kluczowe: odma opłucnowa, sport, wysiłek fizyczny

Sportowcy są szczególnie narażeni na odmę samoistną i urazową. Skrajne wysiłki, zmiany ciśnienia, kontuzje – każdy z tych czynników może wywołać dramatyczny epizod odmy. Mimo to, z odpowiednią profilaktyką, powrót do uprawiania sportu jest możliwy i bezpieczny.

Jak wrócić do aktywności po odmie?

  1. Skonsultuj się z lekarzem pulmonologiem i uzyskaj zgodę na powrót do treningów.
  2. Stopniowo zwiększaj intensywność ćwiczeń – nigdy nie wracaj do pełnego wysiłku „z dnia na dzień”.
  3. Obserwuj organizm – każdy ból, duszność czy nietypowe objawy zgłaszaj natychmiast.
  4. Stosuj się do zaleceń rehabilitanta – ćwiczenia oddechowe i wzmacniające są konieczne.
  5. Nie rezygnuj z aktywności na zawsze, ale poznaj swoje ograniczenia i kontroluj ryzyko.

Odma opłucnowa w erze zanieczyszczeń – nowe wyzwania

Czy smog i toksyny zwiększają ryzyko odmy?

Czynnik środowiskowyWpływ na ryzyko odmyMechanizm działania
Smog (pyły PM 2.5 i PM10)WysokiUszkodzenie pęcherzyków płucnych
Metale ciężkieUmiarkowanyZwiększona podatność płuc
Zanieczyszczenia chemiczneUmiarkowanyDrażnienie dróg oddechowych
Długotrwały stresPośredniOsłabienie odporności, nawyki (palenie)

Tabela 8: Wpływ czynników środowiskowych na ryzyko odmy opłucnowej
Źródło: Opracowanie własne na podstawie badań środowiskowych i pulmonologicznych

Mieszkanie w mieście vs. na wsi – jakie są różnice?

Panorama miasta pokryta smogiem, w tle wiejska łąka, słowa kluczowe: odma opłucnowa, smog, różnice miasto wieś

Mieszkańcy wielkich miast są bardziej narażeni na działanie smogu, co zwiększa ryzyko nie tylko odmy, ale i innych schorzeń płuc. Z kolei życie na wsi nie jest wolne od zagrożeń – kontakt z pyłami, alergenami i pestycydami także obciąża układ oddechowy. Ostatecznie to jakość powietrza, styl życia i dostęp do opieki medycznej decydują o rzeczywistym ryzyku.

Podsumowanie

Odma opłucnowa to nie jest medyczny margines – to brutalna rzeczywistość, która potrafi rozegrać się na oczach każdego z nas. Wysoka śmiertelność przy opóźnionej interwencji, dramatyczne powikłania i psychologiczne reperkusje sprawiają, że nie można jej lekceważyć. Statystyki są nieubłagane: ryzyko zachorowania rośnie po COVID-19, u palaczy, w zanieczyszczonych miastach. Jednocześnie, dzięki błyskawicznej diagnostyce i nowoczesnym metodom leczenia, większość pacjentów ma szansę wrócić do pełni sił. Kluczowe znaczenie ma edukacja – od obalania mitów, przez znajomość objawów, po świadome decyzje dotyczące stylu życia. Współczesne narzędzia, takie jak platformy zdrowotne medyk.ai, pomagają upowszechniać rzetelną wiedzę i skracają dystans do eksperckiej pomocy. Konfrontacja z odmienną opłucnową to nie tylko walka o tlen, ale też o świadomość, kontrolę i odwagę, by nie dać się zaskoczyć własnemu ciału. Czy dziś doceniasz każdy oddech bardziej, wiedząc, jak łatwo można go stracić?

Czy ten artykuł był pomocny?
Wirtualny asystent medyczny

Zadbaj o swoje zdrowie

Rozpocznij korzystanie z Medyk.ai już dziś

Polecane

Więcej artykułów

Odkryj więcej tematów od medyk.ai - Wirtualny asystent medyczny

Przygotuj się do wizytySpróbuj teraz

Odkryj powiązane serwisy

Inne narzędzia AI, które mogą Ci się przydać

Inteligentny doradca żywieniowy
dietetyk.ai
Profesjonalny asystent AI dostarczający porady dietetyczne i strategie optymalizacji zdrowia. Nie zastępuje dietetyka ani lekarza – pomaga przygotować się do konsultacji ze specjalistą, która jest głównym zalecanym krokiem w trosce o zdrowe odżywianie.
Inteligentny doradca żywieniowy
Understand your lab results
futuredx.ai
AI explains your blood work and DNA tests in plain language. Prepare smarter questions for your doctor. Not diagnosis—preparation.
Understand your lab results
Wirtualna asystentka zdrowia
lekarka.ai
Inteligentny asystent zdrowotny AI dostarczający edukację medyczną i wstępne wskazówki zdrowotne. Nie zastępuje lekarza ani diagnostyki medycznej – pomaga przygotować się do wizyty u specjalisty, która jest głównym zalecanym krokiem w trosce o zdrowie.
Wirtualna asystentka zdrowia
Asystent zdrowotny AI
pielegniarka.ai
Inteligentny asystent zdrowotny oferujący edukację zdrowotną i wskazówki dotyczące opieki domowej. Nie zastępuje lekarza, pielęgniarki ani diagnostyki medycznej – pomaga przygotować się do wizyty u specjalisty. AI nie udziela porad dotyczących dawkowania leków – kwestie farmakoterapii należy konsultować wyłącznie z lekarzem lub farmaceutą.
Asystent zdrowotny AI
Wirtualna trenerka fitness AI
trenerka.ai
Trenerka AI to innowacyjna wirtualna trenerka fitness, która zapewnia spersonalizowane plany treningowe, szczegółowe wskazówki dotyczące ćwiczeń oraz nieprzerwaną motywację, aby osiągnąć Twoje cele zdrowotne.
Wirtualna trenerka fitness AI
Inteligentny trener fitness
trenerpersonalny.ai
Zaawansowana platforma AI, która generuje spersonalizowane plany treningowe dostosowane do Twoich celów, kondycji i dostępnego sprzętu.
Inteligentny trener fitness