Dysplazja szyjki macicy – realne ryzyko, niepotrzebny strach

Dysplazja szyjki macicy – realne ryzyko, niepotrzebny strach

Cisza w gabinecie. Ginekolog spuszcza wzrok na wyniki cytologii, a ty nawet nie wiesz, że w tej chwili decyduje się twoja przyszłość. Czy dysplazja szyjki macicy to wyrok? Czy to tylko kolejne medyczne hasło, które ma cię przestraszyć? W świecie, gdzie temat zdrowia intymnego otacza wstyd, tabu i dezinformacja, trudno o rzetelną wiedzę. A jednak liczby są nieubłagane: szacuje się, że nawet 80% kobiet przynajmniej raz w życiu zetknie się z wirusem HPV – głównym sprawcą dysplazji (dane: Narodowy Instytut Zdrowia Publicznego, 2024). Ten artykuł to przewodnik po ciemnych uliczkach medycyny, w których często gubią się pacjentki, a czasem nawet lekarze. Dowiesz się, czym naprawdę jest dysplazja szyjki macicy, poznasz realne zagrożenia, obalisz mity i zrozumiesz, jak nie dać się zastraszyć ani zlekceważyć tej diagnozy. Będzie bez kompromisów, bez cenzury i bez ściemy. Zaczynajmy.

Co to jest dysplazja szyjki macicy? Anatomia problemu

Definicja i klasyfikacje dysplazji

Dysplazja szyjki macicy to nie jest po prostu „dziwna zmiana” – to wyraźny sygnał, że twoje komórki nabłonka nie grają już według reguł. Według Intima Clinic, 2024, chodzi o nieprawidłowe zmiany w komórkach pokrywających szyjkę macicy, najczęściej wywołane przez przewlekłą infekcję wirusem brodawczaka ludzkiego (HPV), zwłaszcza typami 16 i 18. To właśnie one otwierają drzwi do potencjalnie groźnych transformacji – od niewinnej zmiany do raka. Klasyfikacja dysplazji opiera się na stopniu zaawansowania zmian:

Terminy:

  • CIN I (dysplazja małego stopnia): Zmiany ograniczone do dolnej 1/3 nabłonka. Często ustępują samoistnie.
  • CIN II (dysplazja średniego stopnia): Zmiany obejmują do 2/3 grubości nabłonka. Ryzyko progresji rośnie.
  • CIN III (dysplazja dużego stopnia): Zmiany dotyczą ponad 2/3, nawet całej grubości nabłonka. Tu proces może przejść w raka.

Te klasyfikacje stanowią kompas dla lekarza – wskazują, czy można jeszcze obserwować, czy czas bić na alarm i interweniować.

Zdjęcie kobiety rozmawiającej z lekarką podczas konsultacji ginekologicznej, temat: dysplazja szyjki macicy

Jak rozwija się dysplazja: od zdrowych komórek do zmian

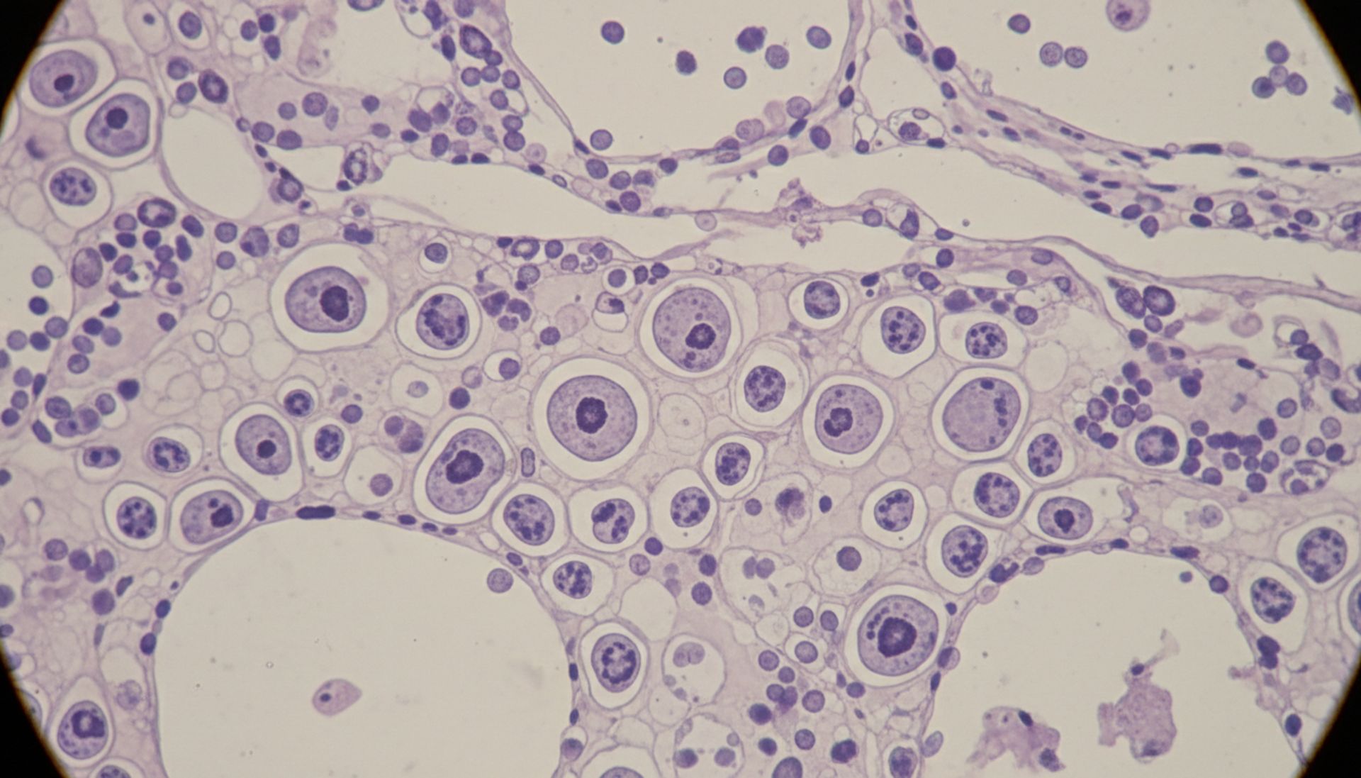
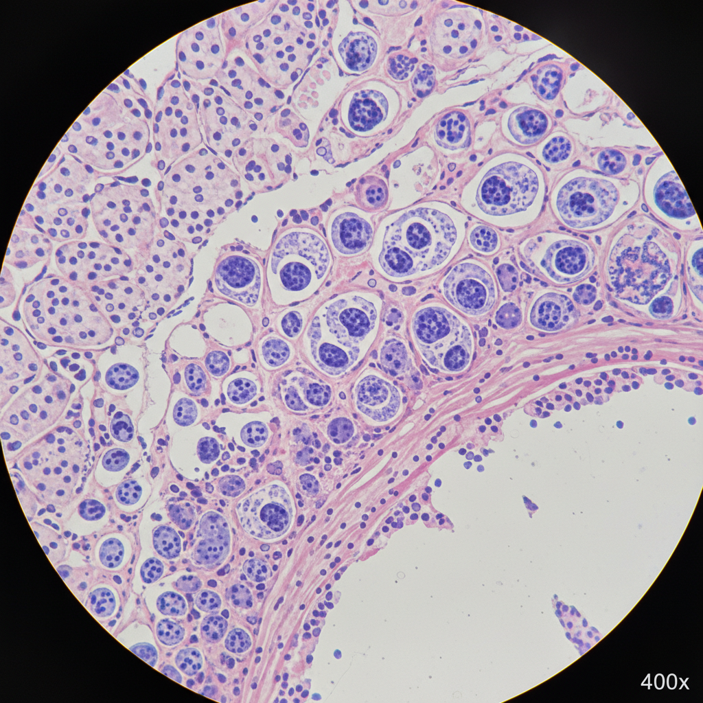
Dysplazja nie pojawia się znikąd. To efekt długotrwałej walki twojego układu odpornościowego z HPV. Według Medonet, 2024, zdrowy organizm często sam pozbywa się wirusa w ciągu 6–24 miesięcy. Jednak w niektórych przypadkach infekcja przekształca się w przewlekłą i wtedy zaczyna się kaskada zmian: od minimalnych nieprawidłowości (CIN I), przez stopnie średnie (CIN II), aż po krańcowe zmiany (CIN III).

Proces ten może trwać latami i przez większość czasu jest kompletnie niewidoczny dla pacjentki. Dopiero rozwinięta, uporczywa dysplazja daje szansę na wykrycie w cytologii. Co istotne, zmiany obejmują wyłącznie powierzchniową warstwę nabłonka – to nie jest jeszcze rak, choć ryzyko rośnie wraz z każdym stopniem.

Zdjęcie mikroskopowe komórek nabłonkowych szyjki macicy z widocznymi nieprawidłowościami

Stopień dysplazjiZakres zmian w nabłonkuRyzyko progresji do raka (% w ciągu 10 lat)
CIN Ido 1/31–2%
CIN IIdo 2/35–15%
CIN III>2/3 lub całość20–30%

Tabela 1: Progresja dysplazji szyjki macicy i ryzyko rozwoju raka
Źródło: Opracowanie własne na podstawie Medonet, 2024, Intima Clinic, 2024

Fakty i liczby: aktualne dane o występowaniu w Polsce

Według aktualnych statystyk, corocznie w Polsce rozpoznaje się około 3500 nowych przypadków raka szyjki macicy, a liczba kobiet z dysplazją jest kilkukrotnie wyższa (szacunkowo 20–30 tys. rocznie). Dane publikowane przez Narodowy Instytut Onkologii, 2024 pokazują, że większość przypadków wykrywanych jest w ramach badań przesiewowych, głównie cytologii.

RokLiczba przypadków dysplazjiLiczba przypadków raka szyjki macicy
202127 4003 540
202228 1003 580
202329 3003 630

Tabela 2: Częstość występowania dysplazji i raka szyjki macicy w Polsce
Źródło: Narodowy Instytut Onkologii, 2024

Objawy i wczesne sygnały: czego nie wolno ignorować

Najczęstsze objawy – kiedy zapalić czerwone światło

Dysplazja szyjki macicy to mistrzyni kamuflażu – w większości przypadków nie daje żadnych objawów. Ale kiedy już coś się dzieje, są to znaki, których nie wolno lekceważyć.

  • Nietypowe upławy: Zielone, żółte lub o nieprzyjemnym zapachu mogą sygnalizować obecność infekcji i współistniejących zmian.
  • Krwawienia międzymiesiączkowe: Nawet jednorazowy epizod powinien zapalić czerwoną lampkę.
  • Krwawienia po stosunku: To jeden z najczęstszych alarmów, ignorowany przez pacjentki.
  • Świąd, pieczenie, ból podbrzusza: Choć niespecyficzne, w połączeniu z innymi objawami wymagają konsultacji.

Według Onkolmed, 2024, pojawienie się choćby jednego z tych objawów to powód, by natychmiast zgłosić się do lekarza.

Zdjęcie kobiety zaniepokojonej bólem podbrzusza w domowej scenerii

Niewidzialny wróg: dysplazja bez objawów

To, że nic nie czujesz, nie znaczy, że nic się nie dzieje. Według Doctorpro.pl, 2024, nawet 80% przypadków dysplazji wykrywanych jest przypadkowo – podczas rutynowych badań cytologicznych.

"Najniebezpieczniejsze są te zmiany, których nie widać i nie czuć. Regularne badania to jedyny sposób, by je wyłapać, zanim staną się nieodwracalne." — Dr n. med. Małgorzata S., ginekolog-onkolog, Doctorpro.pl, 2024

Kiedy zgłosić się do lekarza? Praktyczny poradnik

Pamiętaj: ignorancja nie chroni przed chorobą, a wczesna interwencja może ją zatrzymać. Oto kluczowe momenty, kiedy nie wolno zwlekać:

  1. Wystąpienie nietypowych upławów, zwłaszcza o nieprzyjemnym zapachu.
  2. Każde krwawienie poza miesiączką, niezależnie od ilości.
  3. Krwawienie po stosunku seksualnym.
  4. Ból podbrzusza powtarzający się lub narastający.
  5. Wynik cytologii "nieprawidłowy" lub "nieokreślony" (ASCUS, LSIL, HSIL).

Zdjęcie kobiety dzwoniącej do przychodni w celu umówienia wizyty ginekologicznej

Badania diagnostyczne w Polsce: od cytologii do kolposkopii

Cytologia: złoty standard czy relikt przeszłości?

Cytologia to pierwszy front walki z dysplazją. Przez dekady uznawana za złoty standard, dziś coraz częściej poddawana rewizji. Według DOZ.pl, 2024, czułość klasycznej cytologii wynosi ok. 50–75%, co oznacza, że nawet co czwarta zmiana może umknąć diagnostyce. Kluczowa jest regularność badań – pojedynczy negatywny wynik nie daje gwarancji bezpieczeństwa.

Rodzaj badaniaCzułość (%)Zalecana częstotliwośćDostępność w Polsce
Cytologia klasyczna50–75co 3 latapowszechna
Cytologia płynna80–90co 3–5 latrosnąca
Test HPV DNA>90co 5 latograniczona

Tabela 3: Skuteczność i dostępność badań przesiewowych
Źródło: DOZ.pl, 2024

"Cytologia pozostaje kluczowym narzędziem, ale jej skuteczność zależy od powtarzalności i jakości pobrania materiału." — Prof. dr hab. n. med. Andrzej B., ginekolog, DOZ.pl, 2024

Kolposkopia i inne badania – co naprawdę wykrywają

Kolposkopia to precyzyjne „oko” lekarza. Za pomocą specjalnego mikroskopu ocenia się powierzchnię szyjki macicy, wybarwiając podejrzane miejsca roztworami chemicznymi. Pozwala wykryć nawet mikroskopijne zmiany niewidoczne w cytologii. W razie wątpliwości pobierana jest biopsja – fragment tkanki do badania histopatologicznego.

Definicje:

Badanie mikroskopowe komórek pobranych z szyjki macicy, pozwalające na ocenę obecności nieprawidłowości.

Wizualna ocena powierzchni szyjki macicy pod powiększeniem, wykrywająca zmiany przedrakowe i raka.

Biopsja szyjki macicy

Pobranie fragmentu tkanki z podejrzanego obszaru do badania mikroskopowego.

Interpretacja wyników: co oznacza LSIL, HSIL, ASCUS?

Wyniki badań cytologicznych często brzmią jak szyfr. Oto ich rozszyfrowanie:

  • ASCUS (Atypowe komórki nabłonka): Nieokreślona nieprawidłowość, wymaga powtórzenia badania lub testu HPV.

  • LSIL (Niskiego stopnia zmiany śródnabłonkowe): Odpowiada zwykle CIN I, często regresuje samoistnie.

  • HSIL (Wysokiego stopnia zmiany śródnabłonkowe): Odpowiada CIN II i III, wymaga szybkiej diagnostyki.

  • NILM: Brak zmian.

  • AGC: Zmiany w komórkach gruczołowych, rzadziej spotykane, wymagają dalszej diagnostyki.

Najczęstsze błędy i pułapki diagnostyczne

Nawet najlepszy system ma słabe punkty. Najczęstsze pułapki:

  • Zbyt rzadkie wykonywanie cytologii – brak wykrycia zmian w odpowiednim czasie.
  • Nieprawidłowe pobranie materiału.
  • Błędna interpretacja wyników.
  • Ograniczony dostęp do kolposkopii w mniejszych miejscowościach.
  • Przekonanie, że „negatywny wynik = bezpieczeństwo”.

Zdjęcie gabinetu ginekologicznego z nowoczesnym sprzętem diagnostycznym

Leczenie dysplazji: możliwości, skutki, kontrowersje

Metody leczenia – od obserwacji po interwencję chirurgiczną

Leczenie dysplazji zależy od stopnia zmian i wieku pacjentki. Według DOZ.pl, 2024:

MetodaWskazaniaSkuteczność (%)Główne skutki uboczne
ObserwacjaCIN I, młode kobiety60–80Brak
Leczenie farmakologiczneNiewielkie zmiany, infekcje50–70Niewielkie, odwracalne
KrioterapiaCIN I/II80–90Niewielkie blizny
ElektrokonizacjaCIN II/III90–95Ryzyko skrócenia szyjki
Wycięcie chirurgiczneZmiany rozległe, nawracające95–99Możliwa utrata płodności

Tabela 4: Przegląd metod leczenia dysplazji szyjki macicy
Źródło: DOZ.pl, 2024

Zdjęcie lekarza przygotowującego narzędzia do zabiegu ginekologicznego

Skutki uboczne i długofalowe konsekwencje terapii

Każda interwencja niesie ryzyko. Główne skutki leczenia dysplazji:

  • Możliwość powstawania blizn na szyjce macicy, prowadzących do problemów z donoszeniem ciąży.

  • Skrócenie szyjki po zabiegu elektrokonizacji zwiększa ryzyko przedwczesnego porodu.

  • Rzadko – zaburzenia miesiączkowania, ból, suchość pochwy.

  • Psychologiczne konsekwencje: lęk przed nawrotem, obniżone poczucie kobiecości.

  • Konieczność regularnych kontroli nawet po skutecznym leczeniu.

Nadmiarowa interwencja – czy leczymy za dużo?

W dobie coraz lepszej diagnostyki rośnie pokusa „na wszelki wypadek” leczenia zmian, które mogłyby zniknąć samoistnie.

"W Europie Zachodniej coraz częściej rezygnuje się z agresywnej terapii u młodych kobiet z CIN I i II, stawiając na ścisłą obserwację." — Dr Katarzyna K., specjalistka ginekologii, cyt. za Onkolmed, 2024

Leczenie a płodność: fakty kontra lęki

Strach przed utratą płodności paraliżuje wiele pacjentek. Fakty są jednak bardziej zniuansowane:

  • Po leczeniu CIN I/II płodność zwykle nie ulega pogorszeniu.

  • Przy CIN III i wycięciu fragmentu szyjki ryzyko powikłań w ciąży rośnie, ale większość kobiet rodzi zdrowe dzieci.

  • Współczesna medycyna pozwala minimalizować skutki uboczne, pod warunkiem indywidualnego doboru metody.

  • Regularne kontrole po leczeniu są obowiązkowe.

  • Warto omówić plany macierzyństwa z lekarzem przed wyborem metody.

  • Możliwość skierowania do specjalistycznych ośrodków zajmujących się płodnością.

Zdjęcie szczęśliwych młodych rodziców z niemowlęciem, temat: płodność po leczeniu dysplazji

Czy dysplazja to rak? Rozprawiamy się z mitami

Granica między dysplazją a rakiem – wyjaśniamy

Nie, dysplazja to nie rak. To zmiana przedrakowa, czyli taka, która zawiera w sobie potencjał złośliwości, ale go jeszcze nie realizuje. Rak szyjki macicy powstaje dopiero, gdy nieprawidłowe komórki naciekają głębsze warstwy tkanki.

Dysplazja

Nieprawidłowe zmiany komórek nabłonka, ograniczone do powierzchownej warstwy. Odwracalne, lecz wymagające monitorowania.

Nowotwór złośliwy wywodzący się z komórek szyjki macicy, przekraczający błonę podstawną i naciekający głębsze tkanki.

Zdjęcie mikroskopowe tkanki rakowej szyjki macicy

Najpopularniejsze mity: co słyszysz, a co jest prawdą

  • Dysplazja to wyrok śmierci – FAŁSZ. Większość zmian jest odwracalna, jeśli wcześnie wykryta.

  • Leczenie zawsze oznacza utratę płodności – FAŁSZ. Większość przypadków nie wpływa na płodność.

  • Jeśli nie mam objawów, jestem zdrowa – FAŁSZ. Zmiany mogą być bezobjawowe przez lata.

  • Tylko kobiety rozwiązłe chorują na dysplazję – FAŁSZ. Wystarczy jeden kontakt z osobą zakażoną HPV.

  • HPV można zarazić się tylko przez seks – FAŁSZ. Możliwa jest także transmisja przez kontakt skórny.

  • Cytologia negatywna = brak ryzyka – FAŁSZ. Badanie nie gwarantuje 100% wykrycia zmian.

Statystyki progresji – co naprawdę grozi?

Według Narodowy Instytut Onkologii, 2024, tylko 1–2% dysplazji małego stopnia przechodzi w raka, pod warunkiem regularnej kontroli.

Stopień zmianRegresja samoistna (%)Progresja do wyższego stopnia (%)Progresja do raka (%)
CIN I60–8010–201–2
CIN II40–5020–305–10
CIN III<1030–4020–30

Tabela 5: Szanse na regresję i progresję dysplazji szyjki macicy
Źródło: Narodowy Instytut Onkologii, 2024

Życie po diagnozie: historie, wyzwania, wsparcie

Codzienne życie z diagnozą: trzy autentyczne opowieści

Diagnoza dysplazji zmienia codzienność. Oto trzy autentyczne głosy:

"Usłyszałam CIN II. Strach, wstyd, poczucie winy. Dopiero rozmowa z innymi kobietami uświadomiła mi, że nie jestem sama – i że to nie wyrok." — Anna, 29 lat

"Nie miałam żadnych objawów. Cytologia pokazała HSIL. Długo walczyłam z lękiem, ale dziś czuję się silniejsza niż kiedykolwiek." — Marta, 35 lat

"Najtrudniejsze było powiedzieć mężowi. Bałam się oceny, a dostałam wsparcie, o jakim nie śniłam." — Paulina, 41 lat

Zdjęcie młodej kobiety zamyślonej przy oknie, temat: życie po diagnozie dysplazji

Wsparcie psychologiczne – gdzie szukać pomocy?

  • Grupy wsparcia online i stacjonarne dla kobiet po diagnozie (np. fundacje onkologiczne).
  • Konsultacje z psychologiem lub psychoonkologiem, szczególnie w ośrodkach leczenia raka szyjki macicy.
  • Fora internetowe moderowane przez specjalistów, np. na stronach medyk.ai.
  • Programy edukacyjne prowadzone przez towarzystwa ginekologiczne.
  • Wsparcie bliskich – otwarta rozmowa o emocjach i obawach.

Rola rodziny i otoczenia w powrocie do równowagi

  • Wspólne uczestnictwo w wizytach lekarskich.
  • Pomoc w zorganizowaniu badań kontrolnych.
  • Wysłuchanie bez oceniania i doradzania.
  • Zachęcanie do dbania o siebie (sen, dieta, aktywność).
  • Przypominanie o regularnych kontrolach.

Polska a świat: jak wypada nasz system?

Porównanie systemów diagnostyki i leczenia

KrajDostępność cytologiiRefundacja testów HPVKolejki do kolposkopiiOpieka psychologiczna
PolskaPowszechnaOgraniczonaŚrednieNiska
NiemcyPowszechnaTakKrótkieWysoka
SzwecjaBardzo wysokaTak (programy narodowe)MinimalneBardzo wysoka

Tabela 6: Systemy diagnostyki i leczenia dysplazji szyjki macicy w wybranych krajach Europy
Źródło: Opracowanie własne na podstawie WHO Europe, 2024

Wyzwania systemowe: kolejki, dostępność, koszty

  • Długie oczekiwanie na kolposkopię w publicznej służbie zdrowia.
  • Ograniczona liczba refundowanych testów HPV.
  • Brak powszechnego programu szczepień dla nastolatków.
  • Słabe wsparcie psychologiczne dla pacjentek.
  • Nierówności regionalne – w małych miejscowościach trudniej o szybkie badania i leczenie.

Co możemy poprawić? Głosy ekspertów

"Polska nie odstaje w cytologii, ale kuleje w dostępności zaawansowanych testów i wsparcia psychologicznego. Potrzebujemy systemowego podejścia do zdrowia intymnego kobiet." — Prof. Monika B., ginekolog, WHO Europe, 2024

Sfera emocji i tabu: dlaczego o tym nie mówimy?

Stygmatyzacja i wstyd w polskim społeczeństwie

Wciąż panuje przekonanie, że choroby szyjki macicy to temat „wstydliwy”. Kobiety obawiają się stygmatyzacji, winy czy odrzucenia. Według badań Fundacji Onkologicznnej Razem, 2024, aż 46% kobiet nie mówi o swojej diagnozie nawet bliskim, przez co zamyka się w samotności.

Zdjęcie młodej kobiety siedzącej w pustej poczekalni, wyraźny niepokój na twarzy

Rozmowy z partnerem i bliskimi – jak zacząć?

  1. Wybierz spokojny moment i miejsce, gdzie czujesz się bezpiecznie.
  2. Mów wprost o diagnozie, nie unikając trudnych słów.
  3. Podziel się swoimi emocjami – lękiem, wstydem, obawami.
  4. Pozwól bliskim zadawać pytania i wyrażać uczucia.
  5. Zaznacz, że dysplazja to problem zdrowotny, nie moralny.

Przełamywanie tabu: przykłady z życia

"Publicznie opowiedziałam o swojej walce z dysplazją na forum fundacji. Otrzymałam setki wiadomości od kobiet, które poczuły się mniej samotne. To dało mi siłę." — Ilona, 33 lata, Fundacja Onkologiczna Razem, 2024

Nowe technologie i przyszłość walki z dysplazją

AI, telemedycyna i cyfrowi asystenci: czy zmienią reguły gry?

Nowoczesne narzędzia, takie jak cyfrowi asystenci zdrowotni czy aplikacje do analizy objawów, stają się coraz bardziej obecne w profilaktyce. Medyk.ai zapewnia szybki dostęp do wiedzy medycznej, edukuje i pozwala na monitorowanie zdrowia – bez konieczności wychodzenia z domu. Sztuczna inteligencja umożliwia analizę tysięcy przypadków w sekundę, wyłapując niuanse, które łatwo przeoczyć ludzkim okiem.

Zdjęcie młodej kobiety korzystającej z aplikacji zdrowotnej na smartfonie, temat: AI i zdrowie

medyk.ai jako przykład wsparcia edukacyjnego

Wirtualny asystent zdrowotny, taki jak medyk.ai, nie zastąpi lekarza, ale może zwiększyć twoją świadomość, ułatwić interpretację wyników badań i skrócić drogę do trafnej decyzji o konsultacji. To szczególnie ważne w tematach stygmatyzowanych, jak dysplazja szyjki macicy, gdzie dostęp do wiarygodnych informacji jest kluczowy.

Przyszłość profilaktyki – szczepienia, badania, edukacja

  • Powszechne szczepienia przeciwko HPV dla dziewcząt i chłopców.
  • Rozszerzanie dostępu do testów HPV DNA.
  • Edukacja seksualna pozbawiona tabu.
  • Programy profilaktyczne już dla nastolatków.
  • Współpraca lekarzy, nauczycieli i cyfrowych asystentów zdrowotnych.

Profilaktyka: co możesz zrobić dziś

Najważniejsze zasady ochrony przed dysplazją

  1. Regularnie wykonuj cytologię – co najmniej raz na trzy lata.
  2. Rozważ szczepienie przeciwko HPV – zarówno kobiety, jak i mężczyźni.
  3. Stosuj prezerwatywy – zmniejszają ryzyko zakażenia, choć nie eliminują go całkowicie.
  4. Unikaj palenia tytoniu – zwiększa ryzyko zmian przedrakowych.
  5. Dbaj o odporność i zdrową dietę.

Czynniki ryzyka – na co masz wpływ?

  • Wczesne rozpoczęcie współżycia i liczni partnerzy seksualni.
  • Palenie papierosów – toksyny osłabiają odporność nabłonka.
  • Przewlekłe infekcje intymne, nieleczone stany zapalne.
  • Niska świadomość zdrowotna i nieregularne badania.

Zdjęcie młodej kobiety wybierającej warzywa na targu, temat: zdrowa profilaktyka

Checklist: Twoja osobista strategia zapobiegania

  • Regularne badania cytologiczne i ginekologiczne.
  • Szczepienie przeciwko HPV po konsultacji z lekarzem.
  • Stosowanie barierowych metod antykoncepcji.
  • Eliminacja czynników ryzyka (palenie, brak higieny).
  • Otwarta rozmowa z partnerem na temat zdrowia seksualnego.

Tematy pokrewne i pytania, które warto zadać

HPV – szczepionka, kontrowersje i fakty

HPV (Human Papillomavirus)

Najczęstszy wirus przenoszony drogą płciową. Odpowiada za ponad 90% przypadków dysplazji i raka szyjki macicy.

Szczepionka HPV

Skutecznie chroni przed najgroźniejszymi typami wirusa (16, 18). Zalecana przed inicjacją seksualną, ale skuteczna także u dorosłych.

Kontrowersje

Dotyczą głównie bezpieczeństwa szczepionki, jednak badania Światowej Organizacji Zdrowia, 2024 potwierdzają jej wysoką skuteczność i minimalne ryzyko powikłań.

Zdjęcie szczepionki na HPV na tle przychodni zdrowia

Płodność i ciąża po dysplazji: co mówią badania?

Metoda leczeniaWpływ na płodnośćRyzyko powikłań w ciąży (%)
ObserwacjaBrak1–2
KrioterapiaMinimalny3–5
ElektrokonizacjaUmiarkowany7–15
Wycięcie chirurgiczneMożliwy15–25

Tabela 7: Wpływ leczenia dysplazji na płodność i przebieg ciąży
Źródło: Opracowanie własne na podstawie Onkolmed, 2024

Najczęstsze pytania pacjentek – szybkie odpowiedzi

  • Czy dysplazja to rak? – Nie, ale wymaga kontroli.
  • Jak często robić cytologię? – Co 3 lata, po 25. roku życia.
  • Czy tylko kobiety chorują na HPV? – Nie, wirusem zarażają się też mężczyźni.
  • Czy szczepionka jest bezpieczna? – Tak, potwierdzają to światowe badania.
  • Czy mogę uprawiać sport po leczeniu? – Tak, po zagojeniu szyjki.

Podsumowanie

Dysplazja szyjki macicy to temat, którego nie można traktować powierzchownie – ani z bagatelizującą pobłażliwością, ani z histerycznym strachem. To sygnał alarmowy, ale nie wyrok. Jeśli doceniasz wiedzę opartą na faktach, a nie na strachu i plotkach, wiesz już, że najważniejsze są regularne badania, rzetelna informacja i zdrowy dystans do mitów. Badania pokazują, że ponad 80% zmian można wykryć i wyleczyć, zanim stanie się coś nieodwracalnego (Narodowy Instytut Onkologii, 2024). Zadbaj o siebie – nie dla innych, ale dla własnego poczucia bezpieczeństwa i spokoju. A gdy potrzebujesz wsparcia lub wiedzy – korzystaj z narzędzi takich jak medyk.ai, które pomagają przełamać tabu i znaleźć rzetelne odpowiedzi. Brutalna prawda? Tylko świadomość i działanie chronią przed najgorszym. Wszystko inne to już kwestia wyboru – i odwagi, by go podjąć.

Czy ten artykuł był pomocny?

Źródła

Źródła cytowane w tym artykule

  1. Pacjent.gov.pl – Rak szyjki macicy: prawda czy mit(pacjent.gov.pl)
  2. Nowa Farmacja – Fakty o dysplazji(nowafarmacja.pl)
  3. Intima Clinic(intimaclinic.pl)
  4. DOZ.pl(doz.pl)
  5. Medonet(medonet.pl)
  6. Doctorpro.pl(doctorpro.pl)
  7. Onkolmed(onkolmed.pl)
  8. Medibas(medibas.pl)
  9. MP.pl – Konizacja szyjki macicy(mp.pl)
  10. Gabinety Krasińskiego(gabinetykrasinskiego.pl)
  11. Klinika Invicta(klinikainvicta.pl)
  12. Centrum Medyczne Białe Błota(cm-bb.pl)
  13. Medonet(medonet.pl)
  14. BadaniaKliniczne.pl(badaniakliniczne.pl)
  15. abczdrowie(pytania.abczdrowie.pl)
  16. Szpital na Klinach(szpitalnaklinach.pl)
  17. Adamed Expert(adamed.expert)
  18. ISB Zdrowie – Statystyki 2024(isbzdrowie.pl)
Wirtualny asystent medyczny

Zadbaj o swoje zdrowie

Rozpocznij korzystanie z Medyk.ai już dziś

Polecane

Więcej artykułów

Odkryj więcej tematów od medyk.ai - Wirtualny asystent medyczny

Przygotuj się do wizytySpróbuj teraz

Odkryj powiązane serwisy

Inne narzędzia AI, które mogą Ci się przydać

Inteligentny doradca żywieniowy
dietetyk.ai
Profesjonalny asystent AI dostarczający porady dietetyczne i strategie optymalizacji zdrowia. Nie zastępuje dietetyka ani lekarza – pomaga przygotować się do konsultacji ze specjalistą, która jest głównym zalecanym krokiem w trosce o zdrowe odżywianie.
Inteligentny doradca żywieniowy
Understand your lab results
futuredx.ai
AI explains your blood work and DNA tests in plain language. Prepare smarter questions for your doctor. Not diagnosis—preparation.
Understand your lab results
Wirtualna asystentka zdrowia
lekarka.ai
Inteligentny asystent zdrowotny AI dostarczający edukację medyczną i wstępne wskazówki zdrowotne. Nie zastępuje lekarza ani diagnostyki medycznej – pomaga przygotować się do wizyty u specjalisty, która jest głównym zalecanym krokiem w trosce o zdrowie.
Wirtualna asystentka zdrowia
Asystent zdrowotny AI
pielegniarka.ai
Inteligentny asystent zdrowotny oferujący edukację zdrowotną i wskazówki dotyczące opieki domowej. Nie zastępuje lekarza, pielęgniarki ani diagnostyki medycznej – pomaga przygotować się do wizyty u specjalisty. AI nie udziela porad dotyczących dawkowania leków – kwestie farmakoterapii należy konsultować wyłącznie z lekarzem lub farmaceutą.
Asystent zdrowotny AI
Wirtualna trenerka fitness AI
trenerka.ai
Trenerka AI to innowacyjna wirtualna trenerka fitness, która zapewnia spersonalizowane plany treningowe, szczegółowe wskazówki dotyczące ćwiczeń oraz nieprzerwaną motywację, aby osiągnąć Twoje cele zdrowotne.
Wirtualna trenerka fitness AI
Inteligentny trener fitness
trenerpersonalny.ai
Zaawansowana platforma AI, która generuje spersonalizowane plany treningowe dostosowane do Twoich celów, kondycji i dostępnego sprzętu.
Inteligentny trener fitness